ich bin Lin, neu hier und wollte mich mal vorstellen.
Weiblich, 37 Jahre, aus Bayern, glücklich verheiratet, 2 Kinder (2 und 6 Jahre
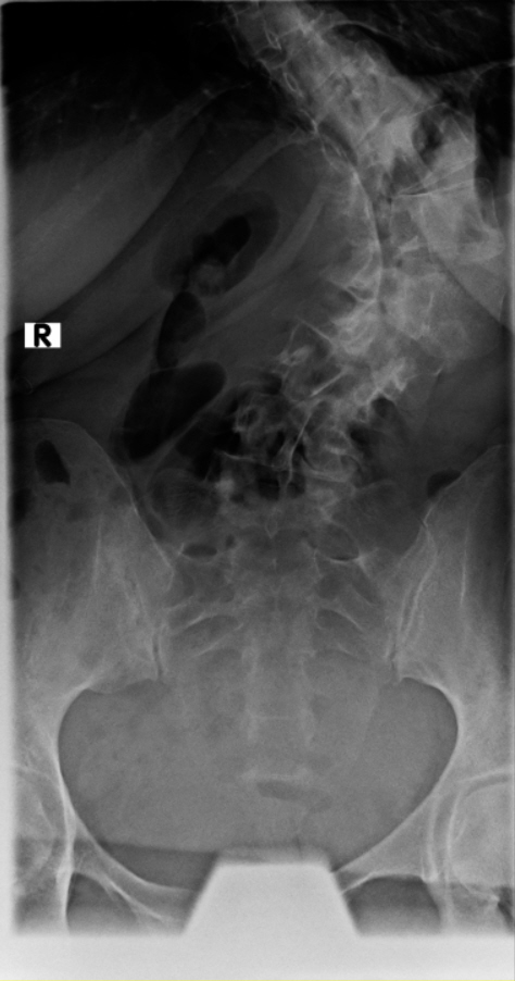
Thorakolumbalskoliose mit aktuellen COBB-Winkeln von 80 und 60 Grad...wenig Schmerzen und daher meistens glücklich
Mit der Diagnose Skoliose lebe ich seit 2003, ich war 19 Jahre und das Wachstum war schon beendet. Damals hatte ich COBB-Winkel von 38 und 28 Grad.
Ihr seht es also schon, meine Skoliose verschlechtert sich leider…
Aber von vorne…damals habe ich mich gegen die empfohlene Versteifungsoperation entschieden und stattdessen eine konservative Sporttherapie angefangen. Physiotherapie 1 bis 2 mal die Woche (2 Jahre lang, anfangs auch nach Schroth, aber dann wechselte die Therapeutin und die Nächste konnte das leider nicht) mit Übungen Zuhause.
Dann habe ich raus gefunden, dass wenn ich 1-2 mal die Woche Schwimmen gehe und Wassergymnastik mache und mich regelmäßig dehne, ich schmerzfrei bin und hab die Physio aufgegeben und mich auf mein Leben/Karriere konzentriert.
2008 war ich dann nochmal bei einem Orthopäden, weil ich ausstrahlende Schmerzen ins Bein hatte, dass hat sich aber durch intensives Training gelegt und dann ging ich nicht mehr zum Orthopäden, bis letzten Monat.
Zwischenzeitlich habe ich Karriere gemacht, die Welt bereist
Die zweite Schwangerschaft mit Kleinkind (das auch mal getragen werden wollte) war sehr anstrengend für meinen Rücken und mein Rippenbuckel wurde viel größer und am Schluss taub
Viele kennen sich aus, daher möchte ich euch meine aktuellen Röntgenbilder nicht vorenthalten und hänge sie unten an.
Ich war beim MVZ Gersthofen, dort wurden die Röntgenbilder gemacht…die massive Verschlechterung war sehr offensichtlich
Dort wurden die Winkel gemessen, unten 80 Grad und oben 60 Grad…eine Verschlechterung von über 2 Grad pro Jahr, wenn man es auf die ganze Zeit berechnet
Tja und wie soll es anders sein, der Doktor rät zur OP und zur Versteifung nahezu der kompletten Wirbelsäule (weitere Röntgenbilder der kompletten Wirbelsäule und auch MRT/CTG müssten erstellt werden, wenn ich mich für die OP entscheide).
Der Worst-Case ist also eingetreten…ich könnte heulen…
Eine OP kommt für mich persönlich aber aktuell nicht in Frage und seither drehen sich meine Gedanken im Kreis…
Ich habe natürlich auch viel in eurem Forum gelesen und ich möchte hiermit mal allen Danken, die ihre Erfahrungen und Lebenssituationen teilen
Und ich dachte mir, jetzt wäre ein guter Zeitpunkt das auch mal zu tun.
Viele Grüße und allen einen schönen Tag
Lin
Die Winkel hab ich nachgemessen, wie der Arzt der Hessing und hier mal als Screenshot




