Schraube gelöst + Stabbruch, Arzt hat große Op vor =(

Fragen zum Thema Wirbelsäulen OP's
minimine
Co-Admin
Co-Admin
Beiträge: 6145
Registriert: So, 17.02.2008 - 13:21
Geschlecht: weiblich
Diagnose: Skoliose
Therapie: 3x Reha (2005, 2007, 2009),
Cheneau-Korsett 12/2006-01/2008,
Rahmouni-Korsett 02/2008-10/2015
Kontaktdaten:

Re: Schraube gelöst + Stabbruch, Arzt hat große Op vor =(

Beitrag von minimine »

Hallo Becca,
Wie kann ich die Größe auf 30 KiB maximal reduzieren?? Leider scheint sie zum hier einfügen noch zu groß zu sein..
mit einem Bildverkleinerungsprogramm - das kann man sich kostenlos aus dem Internet runterladen (einfach mal googeln)- oder auch mit dem Programm "Paint", das auf jedem PC installiert sein dürfte.

LG
Minimine
LG
Minimine

Lerne von gestern, lebe und wirke im heute und hoffe für die Zukunft.
Albert Einstein
becca23
Newbie
Newbie
Beiträge: 35
Registriert: Mo, 05.09.2011 - 22:50
Geschlecht: weiblich
Diagnose: -querschnittsgelähmt ab bw 9 nach verkehrsunfall (1998)
- skoliose (seit 2000)
haarrington stäbe op im jahr 2004
Therapie: 3 x wöchentl Kg nach ZNS
Wohnort: nähe Bremen

Re: Schraube gelöst + Stabbruch, Arzt hat große Op vor =(

Beitrag von becca23 »

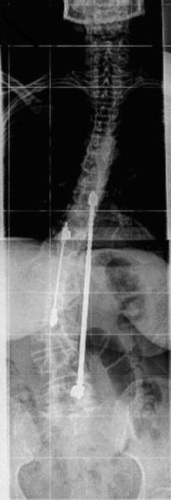
hier die Bilder vom September 2011.

auf dem ersten Bild kann man die gelöste Schraube erkennen, die ich manchmal durch stichige Gefühle spüre.. aber nicht immer..
man kann auch den Stabbruch auf dem zweiten Bild besser erkennen der sich recht mittig befindet, leider musste ich die Bilder verkleinern was die Sicht um einiges erschwert.. ABer danke für dein Rat minime.

Aber jetzt könnt ihr ja besser beurteilen, ob ich nach Harington oder einer anderen Methode operiert worden bin..

Gruss, Becca
Dateianhänge
skoliose1.jpg
skoliose1.jpg (24.12 KiB) 5423 mal betrachtet
skoliose2.jpg
skoliose2.jpg (25.04 KiB) 5423 mal betrachtet
Benutzeravatar
SchwarzeSchnecke
Vielschreiber
Vielschreiber
Beiträge: 736
Registriert: Sa, 20.01.2007 - 22:40
Geschlecht: weiblich
Diagnose: Bindegewebsschwäche, Hypermobilität, Hyperkyphose, leichte sek. Skoliose 3b rechts, kissing spine disease (BWS), Bandscheibenprotrusionen; Depressionen
Therapie: Rahmouni-Korsett 2007-2012, Gymnastik/ KG (diverse), Schwimmen
Wohnort: Württemberg

Re: Schraube gelöst + Stabbruch, Arzt hat große Op vor =(

Beitrag von SchwarzeSchnecke »

Das sind keine Harrington-Stäbe, vgl. den folgenden Anhang.

VG, Anne
Dateianhänge
Harrington, 2 Stäbe.jpg
Harrington, 2 Stäbe.jpg (26.55 KiB) 5417 mal betrachtet
becca23
Newbie
Newbie
Beiträge: 35
Registriert: Mo, 05.09.2011 - 22:50
Geschlecht: weiblich
Diagnose: -querschnittsgelähmt ab bw 9 nach verkehrsunfall (1998)
- skoliose (seit 2000)
haarrington stäbe op im jahr 2004
Therapie: 3 x wöchentl Kg nach ZNS
Wohnort: nähe Bremen

Re: Schraube gelöst + Stabbruch, Arzt hat große Op vor =(

Beitrag von becca23 »

Schon peinlich.... :rolleyes: dass ich das bisher gar nicht wusste... dann lag Silas ja doch nicht verkehrt.
Also hat der Arzt mich doch nach damaliger aktuellen Methode operiert ??

Ich weiß nur, dass es Titanstäbe sind und da sie schon der Harington Methode ähneln, ging ich davon aus dass es dies sei.
Benutzeravatar
SchwarzeSchnecke
Vielschreiber
Vielschreiber
Beiträge: 736
Registriert: Sa, 20.01.2007 - 22:40
Geschlecht: weiblich
Diagnose: Bindegewebsschwäche, Hypermobilität, Hyperkyphose, leichte sek. Skoliose 3b rechts, kissing spine disease (BWS), Bandscheibenprotrusionen; Depressionen
Therapie: Rahmouni-Korsett 2007-2012, Gymnastik/ KG (diverse), Schwimmen
Wohnort: Württemberg

Re: Schraube gelöst + Stabbruch, Arzt hat große Op vor =(

Beitrag von SchwarzeSchnecke »

Nee, da ist eigentlich nicht viel Ähnlichkeit. Ein Harrington-Stab wird mit zwei Haken an den Fortsätzen der Wirbel befestigt, aber die Stangen auf den Röntgenbildern von Dir sind mit Pedikelschrauben fixiert, die direkt in den Wirbelkörpern sind. Das ist ein ganz anderes Prinzip. Der genaue Implantattyp müßte irgendwo in den OP-Unterlagen oder im Arztbericht zu finden sein.

VG, Anne
minimine
Co-Admin
Co-Admin
Beiträge: 6145
Registriert: So, 17.02.2008 - 13:21
Geschlecht: weiblich
Diagnose: Skoliose
Therapie: 3x Reha (2005, 2007, 2009),
Cheneau-Korsett 12/2006-01/2008,
Rahmouni-Korsett 02/2008-10/2015
Kontaktdaten:

Re: Schraube gelöst + Stabbruch, Arzt hat große Op vor =(

Beitrag von minimine »

Hallo Becca,

woher weißt du denn, dass das Harrington-Stäbe sein sollen, steht das bei dir so im Arzt-Bericht?
Wenn nicht, dann solltest du dir den unbedingt besorgen. Es ist immer gut, wenn man selbst eine Kopie von den Arzt-Berichten bei seinen Unterlagen hat.

Ich kann dir nur empfehlen, dir verschiedene Meinungen einzuholen. Da du aus dem Norden kommst, hast du ja gleich verschiedene OP-Kliniken nicht weit von dir.

LG
Minimine
LG
Minimine

Lerne von gestern, lebe und wirke im heute und hoffe für die Zukunft.
Albert Einstein
becca23
Newbie
Newbie
Beiträge: 35
Registriert: Mo, 05.09.2011 - 22:50
Geschlecht: weiblich
Diagnose: -querschnittsgelähmt ab bw 9 nach verkehrsunfall (1998)
- skoliose (seit 2000)
haarrington stäbe op im jahr 2004
Therapie: 3 x wöchentl Kg nach ZNS
Wohnort: nähe Bremen

Re: Schraube gelöst + Stabbruch, Arzt hat große Op vor =(

Beitrag von becca23 »

Im Bericht steht nur der OP-Verlauf drin, nichts aber über welche Methode es nun versteift wurde..., :(
Antworten