Hyperkyphose - Leidensdruck
-
Jessi9824
- Newbie

- Beiträge: 14
- Registriert: Di, 02.05.2023 - 22:17
- Geschlecht: weiblich
- Diagnose: Hyperkyphose
Hyperkyphose - Leidensdruck
Hallo Zusammen,
die letzten drei Wochen, waren sehr nervenaufreibend. Nachdem ich mich bestimmt Tag und Nacht mit dem Thema Hyperkyphose und allem was dazu gehört beschäftigt habe, mir hier bestimmt alle Beiträge dazu durchgelesen habe, kann ich nicht anders, als nun selbst meinen Beitrag zu verfassen.
Es gibt für mich leider nichts belastenderes als mein Rücken im Moment und ich fühle mich so durcheinander in der Sache und demnach schon fast verzweifelt. Klaus, Toni und alle die hier mit im Boot sitzen machen das wirklich toll mit der Hilfe die man hier bekommt! Und doch stellt es mich vor immer mehr Fragezeichen. Zu mir, ich bin 24, weiblich, 1,65 cm groß und wiege ca. 55kg. Es hört sich doof an und hängt sicherlich mit meinem Selbstvertrauen aus der Kindheit zusammen, aber mein Aussehen und Körper ist mir sehr wichtig. Ich mag es einfach mich schön zu machen, mich gut zu fühlen und auch an mir zu arbeiten. Natürlich auch charakterlich. Und ich mag mich auch, das ist es gar nicht, aber dann kommt die Sache mit dem Rücken.
Ich habe mich leider sehr in die Sache reingesteigert und leide jetzt sowohl körperlich als Psychisch wahnsinnig darunter. Seit nun bald drei Wochen bin ich deswegen krank geschrieben und habe mich leider komplett darauf versteift.
Mein Rücken macht mir Probleme seit Kindheit an. Schon beim Kindersport wurde mir gesagt, dass ich im oberen Rücken schon recht steif sei und trotz Sport, ich die meiste Zeit in einer absoluten Fehlhaltung herum gelaufen bin. Immer die Schultern hochgezogen und den Kopf eingezogen. Ein paar mal war ich deswegen beim Orthopäden und auch mal bei der physio, aber das Thema wurde meist als nicht gravierend abgehakt. Eben solange , bis ich dann ausgewachsen war und jetzt das Problem habe. Ich kann meinen Rücken nicht mehr begradigen. Die letzten Jahre habe ich immer versucht das Thema etwas nach hinten zu schieben, weil es mich unterbewusst ständig belastet hat, aber ich niemand von meinen jungen Freunden mit dem gleichen Problem kannte. Also habe ich es eben versucht hinzunehmen und immer gehofft mit Sport kann ich das wieder ausgleichen.
Vor drei Wochen war ich dann auf einer Japan Reise und da ist mir endlich auch bewusst geworden, wie schlimm das Ganze ist. Denn unabhängig davon, dass ich mich in meinen Kleidern und engen Sachen immer mehr unwohl fühle, hatte ich auch spätestens nach einer Stunde auf den Beinen schmerzen, die bis in die Magengrube gehen. Egal wie ich mich gestreckt und gedehnt habe, der dumpfe schmerz war da. Wenn ich mich auf den Boden gelegt habe, hat mein ganzer Rücken geknackt, als wäre alles am falschen Platz. Nach diesem Erlebnis, bin ich dann direkt zum Orthopäden. Davor hatte ich mich schon mit dem Thema morbus Scheuermann beschäftigt, ganz mit dem Gedanken , dass es daher sicher kommt.
Der Orthopäde hat dann ein Röntgenbild von vorne und eines von der Seite im stehen gemacht. Das Ergebnis lautet: kein morbus Scheuermann, keine schmorlknötchen, keine veränderten Wirbel. Leichte Skolliose, 9 Grad also nicht weiter schlimm. Der Kyphose Winkel hingegen liegt bei 42 grad und damit für mein Alter natürlich deutlich über dem Wert von 20-25. Dann meinte er 6x Krankengymnastik und pilatis ist das richtige damit der Wert nicht schlechter wird und das ich mich ansonsten damit abfinden muss, weil die Wirbelsäule sich nicht mehr ändern wird. Von der lordose hat er nichts gesagt.
Und seither geht es mir wahnsinnig schlecht. Ich würde so gerne was ändern an der Situation. Jedes Mal wenn ich mich seitlich im Spiegel betrachte weine ich. Es macht mich so traurig als Kind nicht konsequenter in der Sache gewesen zu sein. Damals kein Korsett gehabt zu haben oder mehr Übungen gemacht zu haben. Ich weiß, dass natürlich auch viel fehlhaltung und nicht nur Fehlstellung dabei ist, aber ich stehe schon so aufrecht wie es geht und weiter lassen es meine Schultern, die ich ehrlich gesagt am schlimmsten finde nicht zu. Diese stehen einfach viel zu weit vorne und ermöglichen keine Aufrichtung mehr. Zusätzlich. Ich fühle mich immer wenn ich stehe, sitze oder laufe total wackelig und instabil und ich bin stets so konzentriert auf meine Haltung, dass macht mich wahnsinnig. Solche Dinge sollten in meinen Alter doch was völlig automatisches sein und mir nicht solche Sorgen bereiten. Und jetzt weiß ich gar nicht mehr was ich machen soll, weil wie ich hier schon gelesen habe, Krafttraining ist nicht das richtige, was mich noch mehr frustriert, da ich als junges Mädel gerne natürlich auch im Fitness bin. Ich mache derzeit täglich Yoga, dehne Schultern, Brust und Hüfte, Beinrückseiten. Mache Atemübungen und Übungen für die Rückenmuskulatur. Gerade dadurch, dass der Winkel bei mir mit 42 grad noch knapp über der Grenze ist , kämpft meine Muskulatur ständig an, das auszugleichen, was mich sehr ermüdet. Mein Brustkorb steht vorne auch weiter raus und insgesamt fühlt sich mein Körper einfach komplett verstellt an. Ich würde alles machen, um das zu ändern, auch ein Korsett tragen, in eine Reha gehen. Nichts wäre mir zu schade in der sache. Aber in Moment habe ich einfach Sorge, dass ich nichts mehr ändern kann.
Am 16.05. habe ich noch einen Termin in Leonberg bei Fr. Dr. Richthofen ausgemacht, um auch von ihr nochmal alle Werte und Angaben auf Richtigkeit bestätigen zu lassen. Eine schroth Therapeutin in der Nähe habe ich mir bereits gesucht, wobei ich da noch etwas an der Kompetenz zweifle.
Ich entschuldige mich für den langen Text voller Selbstmitleid, aber im Moment geht mir das sehr nahe, insbesondere Weil ich noch so jung bin, irgendwie allein in der Situation bin und es so viel Platz einnimmt , den ich für andere Dinge bräuchte.
Ich wollte das nun einfach mal von der Seele schreiben und vielleicht habt ihr noch einen guten Rat für mich. Ich freue mich über jede Antwort
Liebe Grüße
die letzten drei Wochen, waren sehr nervenaufreibend. Nachdem ich mich bestimmt Tag und Nacht mit dem Thema Hyperkyphose und allem was dazu gehört beschäftigt habe, mir hier bestimmt alle Beiträge dazu durchgelesen habe, kann ich nicht anders, als nun selbst meinen Beitrag zu verfassen.
Es gibt für mich leider nichts belastenderes als mein Rücken im Moment und ich fühle mich so durcheinander in der Sache und demnach schon fast verzweifelt. Klaus, Toni und alle die hier mit im Boot sitzen machen das wirklich toll mit der Hilfe die man hier bekommt! Und doch stellt es mich vor immer mehr Fragezeichen. Zu mir, ich bin 24, weiblich, 1,65 cm groß und wiege ca. 55kg. Es hört sich doof an und hängt sicherlich mit meinem Selbstvertrauen aus der Kindheit zusammen, aber mein Aussehen und Körper ist mir sehr wichtig. Ich mag es einfach mich schön zu machen, mich gut zu fühlen und auch an mir zu arbeiten. Natürlich auch charakterlich. Und ich mag mich auch, das ist es gar nicht, aber dann kommt die Sache mit dem Rücken.
Ich habe mich leider sehr in die Sache reingesteigert und leide jetzt sowohl körperlich als Psychisch wahnsinnig darunter. Seit nun bald drei Wochen bin ich deswegen krank geschrieben und habe mich leider komplett darauf versteift.
Mein Rücken macht mir Probleme seit Kindheit an. Schon beim Kindersport wurde mir gesagt, dass ich im oberen Rücken schon recht steif sei und trotz Sport, ich die meiste Zeit in einer absoluten Fehlhaltung herum gelaufen bin. Immer die Schultern hochgezogen und den Kopf eingezogen. Ein paar mal war ich deswegen beim Orthopäden und auch mal bei der physio, aber das Thema wurde meist als nicht gravierend abgehakt. Eben solange , bis ich dann ausgewachsen war und jetzt das Problem habe. Ich kann meinen Rücken nicht mehr begradigen. Die letzten Jahre habe ich immer versucht das Thema etwas nach hinten zu schieben, weil es mich unterbewusst ständig belastet hat, aber ich niemand von meinen jungen Freunden mit dem gleichen Problem kannte. Also habe ich es eben versucht hinzunehmen und immer gehofft mit Sport kann ich das wieder ausgleichen.
Vor drei Wochen war ich dann auf einer Japan Reise und da ist mir endlich auch bewusst geworden, wie schlimm das Ganze ist. Denn unabhängig davon, dass ich mich in meinen Kleidern und engen Sachen immer mehr unwohl fühle, hatte ich auch spätestens nach einer Stunde auf den Beinen schmerzen, die bis in die Magengrube gehen. Egal wie ich mich gestreckt und gedehnt habe, der dumpfe schmerz war da. Wenn ich mich auf den Boden gelegt habe, hat mein ganzer Rücken geknackt, als wäre alles am falschen Platz. Nach diesem Erlebnis, bin ich dann direkt zum Orthopäden. Davor hatte ich mich schon mit dem Thema morbus Scheuermann beschäftigt, ganz mit dem Gedanken , dass es daher sicher kommt.
Der Orthopäde hat dann ein Röntgenbild von vorne und eines von der Seite im stehen gemacht. Das Ergebnis lautet: kein morbus Scheuermann, keine schmorlknötchen, keine veränderten Wirbel. Leichte Skolliose, 9 Grad also nicht weiter schlimm. Der Kyphose Winkel hingegen liegt bei 42 grad und damit für mein Alter natürlich deutlich über dem Wert von 20-25. Dann meinte er 6x Krankengymnastik und pilatis ist das richtige damit der Wert nicht schlechter wird und das ich mich ansonsten damit abfinden muss, weil die Wirbelsäule sich nicht mehr ändern wird. Von der lordose hat er nichts gesagt.
Und seither geht es mir wahnsinnig schlecht. Ich würde so gerne was ändern an der Situation. Jedes Mal wenn ich mich seitlich im Spiegel betrachte weine ich. Es macht mich so traurig als Kind nicht konsequenter in der Sache gewesen zu sein. Damals kein Korsett gehabt zu haben oder mehr Übungen gemacht zu haben. Ich weiß, dass natürlich auch viel fehlhaltung und nicht nur Fehlstellung dabei ist, aber ich stehe schon so aufrecht wie es geht und weiter lassen es meine Schultern, die ich ehrlich gesagt am schlimmsten finde nicht zu. Diese stehen einfach viel zu weit vorne und ermöglichen keine Aufrichtung mehr. Zusätzlich. Ich fühle mich immer wenn ich stehe, sitze oder laufe total wackelig und instabil und ich bin stets so konzentriert auf meine Haltung, dass macht mich wahnsinnig. Solche Dinge sollten in meinen Alter doch was völlig automatisches sein und mir nicht solche Sorgen bereiten. Und jetzt weiß ich gar nicht mehr was ich machen soll, weil wie ich hier schon gelesen habe, Krafttraining ist nicht das richtige, was mich noch mehr frustriert, da ich als junges Mädel gerne natürlich auch im Fitness bin. Ich mache derzeit täglich Yoga, dehne Schultern, Brust und Hüfte, Beinrückseiten. Mache Atemübungen und Übungen für die Rückenmuskulatur. Gerade dadurch, dass der Winkel bei mir mit 42 grad noch knapp über der Grenze ist , kämpft meine Muskulatur ständig an, das auszugleichen, was mich sehr ermüdet. Mein Brustkorb steht vorne auch weiter raus und insgesamt fühlt sich mein Körper einfach komplett verstellt an. Ich würde alles machen, um das zu ändern, auch ein Korsett tragen, in eine Reha gehen. Nichts wäre mir zu schade in der sache. Aber in Moment habe ich einfach Sorge, dass ich nichts mehr ändern kann.
Am 16.05. habe ich noch einen Termin in Leonberg bei Fr. Dr. Richthofen ausgemacht, um auch von ihr nochmal alle Werte und Angaben auf Richtigkeit bestätigen zu lassen. Eine schroth Therapeutin in der Nähe habe ich mir bereits gesucht, wobei ich da noch etwas an der Kompetenz zweifle.
Ich entschuldige mich für den langen Text voller Selbstmitleid, aber im Moment geht mir das sehr nahe, insbesondere Weil ich noch so jung bin, irgendwie allein in der Situation bin und es so viel Platz einnimmt , den ich für andere Dinge bräuchte.
Ich wollte das nun einfach mal von der Seele schreiben und vielleicht habt ihr noch einen guten Rat für mich. Ich freue mich über jede Antwort
Liebe Grüße
-
Blocks
- aktives Mitglied

- Beiträge: 173
- Registriert: So, 03.12.2017 - 17:43
- Geschlecht: weiblich
- Diagnose: BSV c5/6; c6/7 th 9/10 Hws Steilstellung/Kyphosierung
Vorwölbungen komplett bunt verteilt, Osteochondrose
Kyphose 76Grad
Lordose 73Grad, Th links grossbogig 29 Grad - Therapie: Normale KG, ambulante Reha klassische WS-Gym, Schroth, Kypho-Skoliose-Korsett von Rahmouni seit 1.12.2017
Re: Hyperkyphose - Leidensdruck
Hallo,
42 Grad? Dafür nach Leonberg? Ich bin langsam irritiert muss ich sagen. Der normale Wert von Kyphosen liegt bei 20-40 Grad… ähm… ehrlicherweise erkenne ich da nicht wirklich ein Problem was eine grundlegende Wirbelsäulendeformität angeht.
Mit großen ????, Dir alles Gute
42 Grad? Dafür nach Leonberg? Ich bin langsam irritiert muss ich sagen. Der normale Wert von Kyphosen liegt bei 20-40 Grad… ähm… ehrlicherweise erkenne ich da nicht wirklich ein Problem was eine grundlegende Wirbelsäulendeformität angeht.
Mit großen ????, Dir alles Gute
-
Jessi9824
- Newbie

- Beiträge: 14
- Registriert: Di, 02.05.2023 - 22:17
- Geschlecht: weiblich
- Diagnose: Hyperkyphose
Re: Hyperkyphose - Leidensdruck
Hallo,
zunächst danke für die Antwort
Ich weiß das insgesamt 42 grad nicht unbedingt die stärkste Form einer Wirbelsäulenverkrümmung darstellt. Aber zum einen kann ich nicht sagen, ob mein Orthopäde, der jetzt nicht zu den hier schon im Formular genannten Spezialisten gehört auch genau den Wert richtig gestellt hat und zum anderen macht es mir doch auch bei 42 grad Probleme. Ich bin nicht sicher ob es optisch stärker ist, als es meine Röntgenaufnahme vermuten lässt, denn ich merke schon einfach den Unterschied wenn ich mir die Rücken meiner Freundinnen ansehe. Es ist auch so, dass mir schon öfter gesagt wurde, dass ich zu einem Buckel neige und meine Schultern irgendwie weiter nach innen stehen als normal. Von 20-30 Jahren haben die meisten einen Kyphosewinkel von höchstens 25, so zumindest mein Orthopäde. Das finde ich mehr als 40 Grad schon nicht ganz normal. Zumal und das habe ich ja erwähnt ich täglich Schmerzen beim laufen und stehen habe und sich der Rundrücken zusammen mit der Lordose einfach instabil für mich anfühlt. Auch wenn es vielleicht nicht im Verhältnis so schlimm ist von der Gradzahl, so belastet es mich trotzdem. Ich möchte aber hier in dem Forum auch niemanden mit der „kleinen“ Sache nerven, aber ich dachte der Austausch hilft mir vielleicht dennoch.
Ich komme aus dem Kreis Calw, daher ist Leonberg für mich kein großer Akt von der Fahrt her.
ich hoffe einfach dort vielleicht noch genauere Infos zu erhalten und Angaben, weil ich bei allen bisherigen Orthpäden bisher nicht so wirklich weiter gekommen bin.
zunächst danke für die Antwort
Ich weiß das insgesamt 42 grad nicht unbedingt die stärkste Form einer Wirbelsäulenverkrümmung darstellt. Aber zum einen kann ich nicht sagen, ob mein Orthopäde, der jetzt nicht zu den hier schon im Formular genannten Spezialisten gehört auch genau den Wert richtig gestellt hat und zum anderen macht es mir doch auch bei 42 grad Probleme. Ich bin nicht sicher ob es optisch stärker ist, als es meine Röntgenaufnahme vermuten lässt, denn ich merke schon einfach den Unterschied wenn ich mir die Rücken meiner Freundinnen ansehe. Es ist auch so, dass mir schon öfter gesagt wurde, dass ich zu einem Buckel neige und meine Schultern irgendwie weiter nach innen stehen als normal. Von 20-30 Jahren haben die meisten einen Kyphosewinkel von höchstens 25, so zumindest mein Orthopäde. Das finde ich mehr als 40 Grad schon nicht ganz normal. Zumal und das habe ich ja erwähnt ich täglich Schmerzen beim laufen und stehen habe und sich der Rundrücken zusammen mit der Lordose einfach instabil für mich anfühlt. Auch wenn es vielleicht nicht im Verhältnis so schlimm ist von der Gradzahl, so belastet es mich trotzdem. Ich möchte aber hier in dem Forum auch niemanden mit der „kleinen“ Sache nerven, aber ich dachte der Austausch hilft mir vielleicht dennoch.
Ich komme aus dem Kreis Calw, daher ist Leonberg für mich kein großer Akt von der Fahrt her.
- eric
- Vielschreiber

- Beiträge: 537
- Registriert: Di, 08.11.2005 - 19:40
- Geschlecht: männlich
- Diagnose: Zustand nach Scheuermann
Kyphose
Versteifung L5-S1
Bandscheiben-OP in HWS - Therapie: Korsett mit Halsteil von Rahmouni
Vorab schon einige andere Korsetts
-zur Schmerzreduktion - Wohnort: Baumholder
Re: Hyperkyphose - Leidensdruck
Hi,
in Leonberg bist du richtig!
Lass Frau Dr. Richthofen schauen und dann von ihr Therapievorschläge machen.
Evtl. liegt auch ein Messfehler vor.
Gruß Eric
in Leonberg bist du richtig!
Lass Frau Dr. Richthofen schauen und dann von ihr Therapievorschläge machen.
Evtl. liegt auch ein Messfehler vor.
Gruß Eric
-
Jessi9824
- Newbie

- Beiträge: 14
- Registriert: Di, 02.05.2023 - 22:17
- Geschlecht: weiblich
- Diagnose: Hyperkyphose
Re: Hyperkyphose - Leidensdruck
Hey Eric,
bin sehr gespannt was das Ergebnis bei Frau Dr. Richthofen ergibt. Ich hoffe es wird nicht so ein stark abweichendes Ergebnis, aber ich stelle mich auf alles ein.
Mal eine allgemeine Frage zu dem Thema, wenn die Wirbelsäule keine keilwirbel oder knöcherne Veränderungen aufzeigt, ist es dann dennoch nicht möglich diese wieder aufzurichten? Also außer der Teil, welcher eben die fehlhaltung durch Verkürzungen der Faszien Muskel ausmacht. Ist die Wirbelsäule auch ohne Veränderung sozusagen im Winkel nach Cobb fixiert?
Und falls ja , würde bei niedrigen Gradzahlen sagen wir 40-45 durch ein Korsett und Therapie (also stärkeres Einwirkung) noch irgendwie etwas an der Gradzahl ändern? Natürlich keine 20-25, dass ist klar, aber ein wenig? Ich beziehe mich auf die ausgewachsene Wirbelsäule.
Vielen Dank euch vorab für den Austausch, ich weiß es wirkt bei mir etwas unbeholfen meine Fragen, aber mich beschäftigt das Thema schon sehr.
bin sehr gespannt was das Ergebnis bei Frau Dr. Richthofen ergibt. Ich hoffe es wird nicht so ein stark abweichendes Ergebnis, aber ich stelle mich auf alles ein.
Mal eine allgemeine Frage zu dem Thema, wenn die Wirbelsäule keine keilwirbel oder knöcherne Veränderungen aufzeigt, ist es dann dennoch nicht möglich diese wieder aufzurichten? Also außer der Teil, welcher eben die fehlhaltung durch Verkürzungen der Faszien Muskel ausmacht. Ist die Wirbelsäule auch ohne Veränderung sozusagen im Winkel nach Cobb fixiert?
Und falls ja , würde bei niedrigen Gradzahlen sagen wir 40-45 durch ein Korsett und Therapie (also stärkeres Einwirkung) noch irgendwie etwas an der Gradzahl ändern? Natürlich keine 20-25, dass ist klar, aber ein wenig? Ich beziehe mich auf die ausgewachsene Wirbelsäule.
Vielen Dank euch vorab für den Austausch, ich weiß es wirkt bei mir etwas unbeholfen meine Fragen, aber mich beschäftigt das Thema schon sehr.
- Klaus
- Moderator/in

- Beiträge: 15262
- Registriert: Mi, 23.06.2004 - 18:36
- Geschlecht: männlich
- Wohnort: Hannover
Re: Hyperkyphose - Leidensdruck
Hallo Jessie,
Der User Sven23
http://www.skoliose-info-forum.de/viewt ... =5&t=32826
ist ein typisches Beispiel für vielfältige Ursachen und hat gute Erfahrungen mit Dr. von Richthofen gemacht.
Gruß
Klaus
Wie hier schon gesagt, der Normalwert bzw. der Orientierungswert liegt bei 25-40°. Ich habe bislang noch nicht gehört, dass das mit 20-30 Jahren anders sein sollte. Frau Dr. von Richthofen wird Dich darüber aufklären können.Der Kyphose Winkel hingegen liegt bei 42 grad und damit für mein Alter natürlich deutlich über dem Wert von 20-25.......Von 20-30 Jahren haben die meisten einen Kyphosewinkel von höchstens 25, so zumindest mein Orthopäde.
Es ist möglich, dass die optische Struktur aus Muskeln, Bänder und Sehnen schlimmer aussehen kann, als es die (eigentlich noch normale) Wirbelkörperstellung vermuten lässt. Das ist in der Regel eine gute Ausgangslage, bei der unterschiedliche Ursachen verantwortlich sein können. Nicht nur Verkürzungen und muskuläre Dysbalancen, sondern möglicherweise auch schwache Muskulatur.dass ich zu einem Buckel neige und meine Schultern irgendwie weiter nach innen stehen als normal
Der User Sven23
http://www.skoliose-info-forum.de/viewt ... =5&t=32826
ist ein typisches Beispiel für vielfältige Ursachen und hat gute Erfahrungen mit Dr. von Richthofen gemacht.
Gruß
Klaus
-
Jessi9824
- Newbie

- Beiträge: 14
- Registriert: Di, 02.05.2023 - 22:17
- Geschlecht: weiblich
- Diagnose: Hyperkyphose
Re: Hyperkyphose - Leidensdruck
Hallo Klaus,
danke für deine Antwort!
Hatte mich das auch ein wenig an dem Diagramm orientiert, welches du hier in dem Forum mal beigefügt hattest. Dort wurde bei 20-25 Jahren ein ungefährer Richtwert von 25 Grad nach Cobb angegeben und ab ich meine erst 60 von 40 Grad. Aber ich denke auch, dass die Gradzahl nun nicht alles ist.
Insgesamt finde ich, ist mein hohlkreuz rein optisch gesehen nicht so stark. Der Rundrücken ist zwar auf Höhe der Brustwirbelsäule, dennoch habe ich das Gefühl, dass der Buckel eher weiter hochzieht und durch die Schultern verstärkt aussieht. Ich bin echt gespannt, ob das Röntgenbild von Frau Dr. Richthofen etwas anderes sagt, als das von meinem Orthopäden. Dieser hatte ein Bild von vorne und eins von der Seite gemacht und anhand des seitlichen 42 grad ausgerechnet. Ich habe schon etwas Angst, dass die Gesamtaufnahme dann bei dr. Richthofen viel höher liegt oder die optische Vermessung deutlich schlimmer ausfällt. Sven hat ja ein Korsett erhalten, das würde ich gerne auch versuchen, aber ich bin gespannt ob das bei mir überhaupt in Frage kommt. Natürlich muss das auch gut überlegt sein, immerhin würde ich das dann wohl ein paar Jahre recht konsequent durchziehen müssen. Ist in den 20ern natürlich nicht ganz so toll. Aber wenn es helfen würde, dann würde ich es machen.
Bei der Korrektur durch ein Korsett stellt sich mir die Frage, wie das aussehen mag, weil es drückt zwar die Wirbelsäule in eine bessere Position, aber der Schultergürtel bleibt ja nach innen gekehrt und wird nicht auch nach hinten korrigiert. Gibt das dann nicht auch ein gewisses Ungleichgewicht oder wie darf man sich das vorstellen ?
Gruß Jessi
danke für deine Antwort!
Hatte mich das auch ein wenig an dem Diagramm orientiert, welches du hier in dem Forum mal beigefügt hattest. Dort wurde bei 20-25 Jahren ein ungefährer Richtwert von 25 Grad nach Cobb angegeben und ab ich meine erst 60 von 40 Grad. Aber ich denke auch, dass die Gradzahl nun nicht alles ist.
Insgesamt finde ich, ist mein hohlkreuz rein optisch gesehen nicht so stark. Der Rundrücken ist zwar auf Höhe der Brustwirbelsäule, dennoch habe ich das Gefühl, dass der Buckel eher weiter hochzieht und durch die Schultern verstärkt aussieht. Ich bin echt gespannt, ob das Röntgenbild von Frau Dr. Richthofen etwas anderes sagt, als das von meinem Orthopäden. Dieser hatte ein Bild von vorne und eins von der Seite gemacht und anhand des seitlichen 42 grad ausgerechnet. Ich habe schon etwas Angst, dass die Gesamtaufnahme dann bei dr. Richthofen viel höher liegt oder die optische Vermessung deutlich schlimmer ausfällt. Sven hat ja ein Korsett erhalten, das würde ich gerne auch versuchen, aber ich bin gespannt ob das bei mir überhaupt in Frage kommt. Natürlich muss das auch gut überlegt sein, immerhin würde ich das dann wohl ein paar Jahre recht konsequent durchziehen müssen. Ist in den 20ern natürlich nicht ganz so toll. Aber wenn es helfen würde, dann würde ich es machen.
Bei der Korrektur durch ein Korsett stellt sich mir die Frage, wie das aussehen mag, weil es drückt zwar die Wirbelsäule in eine bessere Position, aber der Schultergürtel bleibt ja nach innen gekehrt und wird nicht auch nach hinten korrigiert. Gibt das dann nicht auch ein gewisses Ungleichgewicht oder wie darf man sich das vorstellen ?
Gruß Jessi
- Klaus
- Moderator/in

- Beiträge: 15262
- Registriert: Mi, 23.06.2004 - 18:36
- Geschlecht: männlich
- Wohnort: Hannover
Re: Hyperkyphose - Leidensdruck
Hallo Jessie,
Und in der Regel (wenn man im Lot steht) ist es so, dass die Wirbelsäule einen Ausgleich mit der LWS Lordose, der BWS Kyphose und der HWS Lordose versucht. Wenn z. Bsp. eine BWS Hyperkyphose nicht im im gleichen Maß mit einer LWS Hyperlordose (Hohlkreuz) ausgeglichen wird, kann das auch in der HWS mit einer Abschwächung der Lordose bzw. Steilstellung passieren. Leider gibt es keine Winkelangabe zu Deiner LWS Lordose.
Gruß
Klaus
Ja bis 2014 hatte ich dieses Diagramm mit der Altersabhängigkeit in entsprechenden Threads eingestellt. Danach kam dann die Orientierungshilfe von Dr. Steffan, die das Alter von 15-75 Jahren (die meisten User) eben mit dem Bereich von 25°- 40° als normale BWS Kyphose abdeckt. Das heißt nach meiner Ansicht auch, dass man erst ausserhalb der 25°-40° in diesem Altersbereich an eine Behandlung bezüglich Fehlstellung denken sollte.Hatte mich das auch ein wenig an dem Diagramm orientiert, welches du hier in dem Forum mal beigefügt hattest. Dort wurde bei 20-25 Jahren ein ungefährer Richtwert von 25 Grad nach Cobb angegeben und ab ich meine erst 60 von 40 Grad.
Da kann ich Dir nur zustimmen, weil es sehr viele unterschiedliche Situationen geben kann.Aber ich denke auch, dass die Gradzahl nun nicht alles ist.
Na ja, es kommt darauf an, wo der Scheitel der Hyperkyphose liegt. Normalerweise ist das die Mitte der BWS, aber mit jedem Wirbel, mit dem der Scheitel höher (oder tiefer) liegt, ändert sich die Situation.Insgesamt finde ich, ist mein hohlkreuz rein optisch gesehen nicht so stark. Der Rundrücken ist zwar auf Höhe der Brustwirbelsäule, dennoch habe ich das Gefühl, dass der Buckel eher weiter hochzieht und durch die Schultern verstärkt aussieht.
Und in der Regel (wenn man im Lot steht) ist es so, dass die Wirbelsäule einen Ausgleich mit der LWS Lordose, der BWS Kyphose und der HWS Lordose versucht. Wenn z. Bsp. eine BWS Hyperkyphose nicht im im gleichen Maß mit einer LWS Hyperlordose (Hohlkreuz) ausgeglichen wird, kann das auch in der HWS mit einer Abschwächung der Lordose bzw. Steilstellung passieren. Leider gibt es keine Winkelangabe zu Deiner LWS Lordose.
Sven habe ich nur wegen der möglichen ganz unterschiedlichen Ursachen im Zusammenhang mit der Behandlung durch Dr. von Richthofen erwähnt !Sven hat ja ein Korsett erhalten, das würde ich gerne auch versuchen, aber ich bin gespannt ob das bei mir überhaupt in Frage kommt.
Also wenn ich mich aufrichte (bessere Position - kann bei mir auch ein Stützkorsett sein), gehen meine Schultern automatisch nach hinten. Wenn das bei Dir nicht geht, kann ich nichts dazu sagen. Dazu gibt es die Spezialistin.Bei der Korrektur durch ein Korsett stellt sich mir die Frage, wie das aussehen mag, weil es drückt zwar die Wirbelsäule in eine bessere Position, aber der Schultergürtel bleibt ja nach innen gekehrt und wird nicht auch nach hinten korrigiert. Gibt das dann nicht auch ein gewisses Ungleichgewicht oder wie darf man sich das vorstellen ?
Gruß
Klaus
- Thomas
- Tech-Admin

- Beiträge: 3585
- Registriert: So, 19.02.2006 - 10:23
- Geschlecht: männlich
- Diagnose: Kyphose anfangs 59 Grad, inzwischen nur noch 49 Grad, Neuroforamen-Stenose (Einengung der Nervenwurzeln) in der HWS.
- Therapie: Rahmouni-Korsett seit Februar 2006, zeitweise mit Halsteil, Schroth-Reha Juni / Juli 2010
- Wohnort: Nähe Stuttgart
Re: Hyperkyphose - Leidensdruck
Hallo Jessi,Jessi9824 hat geschrieben: ↑Do, 04.05.2023 - 16:29 Bei der Korrektur durch ein Korsett stellt sich mir die Frage, wie das aussehen mag, weil es drückt zwar die Wirbelsäule in eine bessere Position, aber der Schultergürtel bleibt ja nach innen gekehrt und wird nicht auch nach hinten korrigiert. Gibt das dann nicht auch ein gewisses Ungleichgewicht oder wie darf man sich das vorstellen ?![]()
Der Schultergürtel wird bei den üblichen Kyphose-Korsetten ja durch die Reklinationspelotten speziell nach hinten und außen korrigiert. Das funktioniert sehr gut!
Gruß Thomas
-
Jessi9824
- Newbie

- Beiträge: 14
- Registriert: Di, 02.05.2023 - 22:17
- Geschlecht: weiblich
- Diagnose: Hyperkyphose
Re: Hyperkyphose - Leidensdruck
Guten Abend,
gerne würde ich auch Bilder einstellen, allerdings sind die Dateien zu groß, wie kann ich das am besten machen?:-)
Danke Klaus, dass du das mit dem Diagramm nochmal erklärt hast. Ich habe mich daran schon sehr aufgehängt. Insbesondere weil ich mir Sorgen mache, dass wenn mein Cobb Winkel jetzt in meinem Alter nach meinen jetzigen Messungen schon leicht über dem Maximalwert liegt, wie das dann erst später sein wird und wo dann der Cobb Wert liegen wird.
Mit den Schultern meine ich vor allem, dass diese oben so leicht rausstehen, weil ich immer dazu neige , die Schultern hochzuziehen. Mein Schultergürtel wirkt insgesamt einfach recht steif und zieht eher zur Brust vor. Wenn ich stehe, fühlt es sich an wie ein Zug meiner Schultern nach vorne und Wirbelsäule, die zu stark nach hinten geht. Leider kann ich mich auch nicht mehr weiter aufrichten, ich hab das Gefühl schon gerade zu stehen, weswegen ich auch grade mir schwer tue zu glauben, dass da noch viel fehlhaltung dabei ist. Sondern es eher um die Fehlstellung geht.
Im stehen und liegen sehe ich auch immer meine Rippen unten herausstehen, ich habe immer das Gefühl, dass mein Brustkorb von der Seite sehr breit aussieht. Ich habe insgesamt eine sehr schmale eher zierliche Figur, weshalb ich anhand dessen schon ziemlich sicher bin, dass es nicht so wirklich der Norm entspricht.
Auf Bildern könnte ich es besser beschreiben, ist schwierig zu erklären
Wenn ich bei Frau Dr. Richthofen war und alle Ergebnisse habe, werde ich diese hier nochmal einstellen, ich bleib gespannt.
Danke Thomas auch für die Anmerkung zum Korsett, kann mir gar nicht so richtig vorstellen, wie darin das Gefühl ist.
Mache mich schon ganz verrückt, weil ich jeden Tag was neues nachlese oder entdecke, was mit meinem Rundrücken Zusammenhängen könnte…
gerne würde ich auch Bilder einstellen, allerdings sind die Dateien zu groß, wie kann ich das am besten machen?:-)
Danke Klaus, dass du das mit dem Diagramm nochmal erklärt hast. Ich habe mich daran schon sehr aufgehängt. Insbesondere weil ich mir Sorgen mache, dass wenn mein Cobb Winkel jetzt in meinem Alter nach meinen jetzigen Messungen schon leicht über dem Maximalwert liegt, wie das dann erst später sein wird und wo dann der Cobb Wert liegen wird.
Mit den Schultern meine ich vor allem, dass diese oben so leicht rausstehen, weil ich immer dazu neige , die Schultern hochzuziehen. Mein Schultergürtel wirkt insgesamt einfach recht steif und zieht eher zur Brust vor. Wenn ich stehe, fühlt es sich an wie ein Zug meiner Schultern nach vorne und Wirbelsäule, die zu stark nach hinten geht. Leider kann ich mich auch nicht mehr weiter aufrichten, ich hab das Gefühl schon gerade zu stehen, weswegen ich auch grade mir schwer tue zu glauben, dass da noch viel fehlhaltung dabei ist. Sondern es eher um die Fehlstellung geht.
Im stehen und liegen sehe ich auch immer meine Rippen unten herausstehen, ich habe immer das Gefühl, dass mein Brustkorb von der Seite sehr breit aussieht. Ich habe insgesamt eine sehr schmale eher zierliche Figur, weshalb ich anhand dessen schon ziemlich sicher bin, dass es nicht so wirklich der Norm entspricht.
Auf Bildern könnte ich es besser beschreiben, ist schwierig zu erklären
Wenn ich bei Frau Dr. Richthofen war und alle Ergebnisse habe, werde ich diese hier nochmal einstellen, ich bleib gespannt.
Danke Thomas auch für die Anmerkung zum Korsett, kann mir gar nicht so richtig vorstellen, wie darin das Gefühl ist.
Mache mich schon ganz verrückt, weil ich jeden Tag was neues nachlese oder entdecke, was mit meinem Rundrücken Zusammenhängen könnte…
- Klaus
- Moderator/in

- Beiträge: 15262
- Registriert: Mi, 23.06.2004 - 18:36
- Geschlecht: männlich
- Wohnort: Hannover
Re: Hyperkyphose - Leidensdruck
Hallo Jessie,
Gruß
Klaus
Deswegen sollen ja gezielte Behandlungsoptionen zumindest eine Verschlechterung aufhalten.dass wenn mein Cobb Winkel jetzt in meinem Alter nach meinen jetzigen Messungen schon leicht über dem Maximalwert liegt, wie das dann erst später sein wird und wo dann der Cobb Wert liegen wird.
Einerseits kann die Beschäftigung mit der eigenen Situation vor einer konkreten Diagnose natürlich belastend sein, andrerseits ist es aber schon wichtig, dass man sich mit grundsätzlichen Zusammenhängen beschäftigt. Das erleichtert auch das Verständnis bei der Sprechstunde, wo viel Neues möglicherweise überfordern kann. Aber es gibt danach auch das ForumMache mich schon ganz verrückt, weil ich jeden Tag was neues nachlese oder entdecke, was mit meinem Rundrücken Zusammenhängen könnte…
Gruß
Klaus
-
Jessi9824
- Newbie

- Beiträge: 14
- Registriert: Di, 02.05.2023 - 22:17
- Geschlecht: weiblich
- Diagnose: Hyperkyphose
Re: Hyperkyphose - Leidensdruck
Hallo,
heute war ich nochmal bei meinem Orthopäden und habe die Röntgenbilder abgeholt. Ich wollte wissen, wo und ob ich wirbelveränderungen habe, weil der Orthopäde sich nicht wirklich bei meinem Termin dazu geäußert hat. Leider konnte mir bei der Rezeption niemand helfen und es wurde nur gesagt, wahrscheinlich leicht.
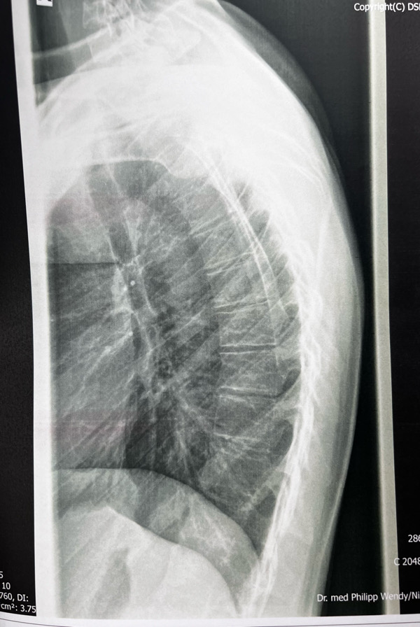
Ich dachte ich stelle hier nun mal die Bilder ein. Einmal von der Seite und von vorne. Der Bericht mit der Diagnose ist auch dabei. Kann jemand anhand der Röntgenbilder offensichtliche Keilwirbel erkennen und vielleicht auch grob was zu dem Kyphosewinkel sagen. Ich selber glaube Ansätze von keilwirlbel zu sehen, aber ich bin mir nicht sicher.
Musste die Aufnahmen von der Qualität etwas verkleinern, da ich sie sonst nicht hätte einfügen können.
Danke euch!
Grüße
heute war ich nochmal bei meinem Orthopäden und habe die Röntgenbilder abgeholt. Ich wollte wissen, wo und ob ich wirbelveränderungen habe, weil der Orthopäde sich nicht wirklich bei meinem Termin dazu geäußert hat. Leider konnte mir bei der Rezeption niemand helfen und es wurde nur gesagt, wahrscheinlich leicht.
Ich dachte ich stelle hier nun mal die Bilder ein. Einmal von der Seite und von vorne. Der Bericht mit der Diagnose ist auch dabei. Kann jemand anhand der Röntgenbilder offensichtliche Keilwirbel erkennen und vielleicht auch grob was zu dem Kyphosewinkel sagen. Ich selber glaube Ansätze von keilwirlbel zu sehen, aber ich bin mir nicht sicher.
Musste die Aufnahmen von der Qualität etwas verkleinern, da ich sie sonst nicht hätte einfügen können.
Danke euch!
Grüße
- Dateianhänge
-
- A016A6EA-EA2D-4024-AE48-A1A98313B03A.jpeg
- Ansicht von der Seite im stehen
- (130.61 KiB) Noch nie heruntergeladen
-
- 73D12E73-435B-4247-83B4-F48B280C0300.jpeg
- Ansicht von vorne im stehen
- (124.62 KiB) Noch nie heruntergeladen
-
- Diagnosebericht
- E7573A9C-64D9-445B-8587-DAF69E90F98B.jpeg (118.12 KiB) 17098 mal betrachtet
- Klaus
- Moderator/in

- Beiträge: 15262
- Registriert: Mi, 23.06.2004 - 18:36
- Geschlecht: männlich
- Wohnort: Hannover
Re: Hyperkyphose - Leidensdruck
Hallo Jessie,
Zu Keilwirbel kann ich nur sagen, dass die in der Regel an der Behandlung nichts ändern. Es kann je nach Anzahl und Lage dieser Wirbel u.U. die Behandlung mehr oder weniger beeinflussen.
Die Messung vom BWS Kyphosewinkel erfolgt mittels der sogenannten Neutralwinkel, das sind die Wirbel am Wendepunkt zur HWS Lordose und der LWS Lordose. Der HWS Übergang ist schwer zu sehen und der LWS Übergang kaum sichtbar, weil es nur eine BWS Aufnahme ist.
Deshalb sollte immer eine Röntgen-Ganz-Aufnahme (LWS, BWS und HWS) gemacht werden. Frau Dr. von Ricthofen kann solche Aufnahmen machen. Grob kann ich nur sagen, dass die in der Diagnose erwähnte "vermehrte Kyphosierung" bzw. später im Text "leicht vermehrte Kyphosierung" nachzuvollziehen ist.
Es sieht für mich aber so aus, als ob der obere Kyphosebogen zu flach ausgeprägt ist.
Was die Skoliose in der Diagnose angeht, die beginnt per Definition erst ab 10° und ist bei Erwachsenen oft bis ca. 20° nicht relevant.
Mir ist noch aufgefallen, dass der Orthopäde vorsichtig versucht hat, die Bewegungseinschränkung zu mobilisieren. Ging es da um die Schultern?
Gruß
Klaus
Also grundsätzlich finde ich die Beantwortung dieser Fragen problematisch, weil das den Ärzten bzw. den Spezialisten vorbehalten ist und Dich aktuell auch gar nicht weiterbringen würde.Kann jemand anhand der Röntgenbilder offensichtliche Keilwirbel erkennen und vielleicht auch grob was zu dem Kyphosewinkel sagen
Zu Keilwirbel kann ich nur sagen, dass die in der Regel an der Behandlung nichts ändern. Es kann je nach Anzahl und Lage dieser Wirbel u.U. die Behandlung mehr oder weniger beeinflussen.
Die Messung vom BWS Kyphosewinkel erfolgt mittels der sogenannten Neutralwinkel, das sind die Wirbel am Wendepunkt zur HWS Lordose und der LWS Lordose. Der HWS Übergang ist schwer zu sehen und der LWS Übergang kaum sichtbar, weil es nur eine BWS Aufnahme ist.
Deshalb sollte immer eine Röntgen-Ganz-Aufnahme (LWS, BWS und HWS) gemacht werden. Frau Dr. von Ricthofen kann solche Aufnahmen machen. Grob kann ich nur sagen, dass die in der Diagnose erwähnte "vermehrte Kyphosierung" bzw. später im Text "leicht vermehrte Kyphosierung" nachzuvollziehen ist.
Es sieht für mich aber so aus, als ob der obere Kyphosebogen zu flach ausgeprägt ist.
Was die Skoliose in der Diagnose angeht, die beginnt per Definition erst ab 10° und ist bei Erwachsenen oft bis ca. 20° nicht relevant.
Mir ist noch aufgefallen, dass der Orthopäde vorsichtig versucht hat, die Bewegungseinschränkung zu mobilisieren. Ging es da um die Schultern?
Gruß
Klaus
-
Jessi9824
- Newbie

- Beiträge: 14
- Registriert: Di, 02.05.2023 - 22:17
- Geschlecht: weiblich
- Diagnose: Hyperkyphose
Re: Hyperkyphose - Leidensdruck
Hallo Klaus,
danke für deine Ansicht. Ja ich denke ich werde wohl auf die Gesamtaufnahme und die Ergebnisse warten müssen.
Ich dachte nur die keilwirbel sind wichtig um zu sehen wo die Wirbelsäule fixiert ist.
Du meintest die Diagnose „vermehrte Kyphose“ ist nachvollziehbar, bedeutet es ist deutlich ersichtlich, dass über den Normalbereich hinaus geht?
Was mich irritiert ist die oben eher flach ausgeprägte Wirbelsäule. Das klingt so, also hätte ich da eine recht außergewöhnliche unspezifische Deformierung. Bin gespannt, was man in so einem Fall überhaupt machen kann, was die Therapievorschläge sein werden und vor allem woher sowas kommt.
Bezüglich der Manipulation meiner Beweglichkeit, bin ich ehrlich gesagt selbst überfragt, was er damit meint. Er hat nur die üblichen Tests gemacht. Vorbeugen und abklopfen. Am Ende hat er noch ein Wirbel wieder eingerenkt. Auf meine Schultern ist er gar nicht mehr eingegangen.
Grüße
Jessi
danke für deine Ansicht. Ja ich denke ich werde wohl auf die Gesamtaufnahme und die Ergebnisse warten müssen.
Ich dachte nur die keilwirbel sind wichtig um zu sehen wo die Wirbelsäule fixiert ist.
Du meintest die Diagnose „vermehrte Kyphose“ ist nachvollziehbar, bedeutet es ist deutlich ersichtlich, dass über den Normalbereich hinaus geht?
Was mich irritiert ist die oben eher flach ausgeprägte Wirbelsäule. Das klingt so, also hätte ich da eine recht außergewöhnliche unspezifische Deformierung. Bin gespannt, was man in so einem Fall überhaupt machen kann, was die Therapievorschläge sein werden und vor allem woher sowas kommt.
Bezüglich der Manipulation meiner Beweglichkeit, bin ich ehrlich gesagt selbst überfragt, was er damit meint. Er hat nur die üblichen Tests gemacht. Vorbeugen und abklopfen. Am Ende hat er noch ein Wirbel wieder eingerenkt. Auf meine Schultern ist er gar nicht mehr eingegangen.
Grüße
Jessi
- Klaus
- Moderator/in

- Beiträge: 15262
- Registriert: Mi, 23.06.2004 - 18:36
- Geschlecht: männlich
- Wohnort: Hannover
Re: Hyperkyphose - Leidensdruck
Hallo Jessie,
Bei einem eher flachen Verlauf der oberen BWS in Richtung Flachrücken könnte man vermuten, dass der Kyphose-Scheitel nach unten "gewandert" ist. (Bei der Qualität des Bildes möchte ich nicht anfangen WIrbel zu zählen, um die Mitte der BWS festzulegen)
Aber bitte, das sind einfach nur Vermutungen !!
Grundsätzlich muss man sich bildlich vorstellen, was mit der Wirbelsäule mit "Wandern" des Scheitels passieren kann, unter der Vorraussetzung, dass sich die Wirbelsäule ingesamt immer ausgleichen möchte. Das gilt für den Fall, dass man im Lot steht, was bei Dir der Fall ist. Sonst wird es komplizierter.
Ich war bei meiner speziellen Situation anfangs gewissermassen gezwungen, mir das vorzustellen. Du siehst in der Grafik meines avatar Bildes einen Kyphose-Scheitel bei BWS 11/12, also am unteren Ende der BWS.
Das führt zu einer (tiefen) Hyperkyphose, aber nicht zu einem damit verbundenen üblichen Rundrücken, sondern zu einem Flachrücken in der oberen BWS. Um das ingesamt auszugleichen, folgt oben eine Steilstellung der HWS (Abflachung der normalen HWS-Lordose) und unten eine kurze LWS Hyperlordose (Hohlkreuz).
Gruß
Klaus
Genau das habe ich befürchtet. Du möchtest es doch genauer wissen, obwohl es Dich nicht weiterbringt. Du hast in 10 Tagen Deinen Termin in Stuttgart!Du meintest die Diagnose „vermehrte Kyphose“ ist nachvollziehbar, bedeutet es ist deutlich ersichtlich, dass über den Normalbereich hinaus geht?
Ich habe ja versucht, zu erklären, dass sich die Situation mit "Wandern" des BWS Kyphose-Scheitels von der Mitte der BWS nach oben oder nach unten verändern kann. Bei Deinem von Dir beschriebene Buckel hatte ich vermutet, dass der Kyphose-Scheitel evtl. höher liegt und den Buckel erzeugt. Das scheint aber nicht der Fall zu sein.Was mich irritiert ist die oben eher flach ausgeprägte Wirbelsäule.
Bei einem eher flachen Verlauf der oberen BWS in Richtung Flachrücken könnte man vermuten, dass der Kyphose-Scheitel nach unten "gewandert" ist. (Bei der Qualität des Bildes möchte ich nicht anfangen WIrbel zu zählen, um die Mitte der BWS festzulegen)
Aber bitte, das sind einfach nur Vermutungen !!
Grundsätzlich muss man sich bildlich vorstellen, was mit der Wirbelsäule mit "Wandern" des Scheitels passieren kann, unter der Vorraussetzung, dass sich die Wirbelsäule ingesamt immer ausgleichen möchte. Das gilt für den Fall, dass man im Lot steht, was bei Dir der Fall ist. Sonst wird es komplizierter.
Ich war bei meiner speziellen Situation anfangs gewissermassen gezwungen, mir das vorzustellen. Du siehst in der Grafik meines avatar Bildes einen Kyphose-Scheitel bei BWS 11/12, also am unteren Ende der BWS.
Das führt zu einer (tiefen) Hyperkyphose, aber nicht zu einem damit verbundenen üblichen Rundrücken, sondern zu einem Flachrücken in der oberen BWS. Um das ingesamt auszugleichen, folgt oben eine Steilstellung der HWS (Abflachung der normalen HWS-Lordose) und unten eine kurze LWS Hyperlordose (Hohlkreuz).
Gruß
Klaus
-
NicM
- Newbie

- Beiträge: 37
- Registriert: Mi, 12.10.2022 - 22:15
- Geschlecht: männlich
- Diagnose: Morbus Scheuermann
Hyperkyphose (41 Grad nach Stagnara)
Steilhals
Wirbelgleiten von L5 - Therapie: Physiotherapie
Re: Hyperkyphose - Leidensdruck
Hallo Jessie
Ich möchte dir sagen, dass ich dich voll und ganz verstehe. Ich bin in einem ähnlichen Boot wie du. Und ich finde, du stellst die richtigen Fragen.
Ich möchte dir mit meinen Antworten helfen, da ich sehr gut nachvollziehen kann, wie widersprüchliche Aussagen und unklare Faktenlage das Gedankenkarussell nur weiter ankurbeln. Ich nenne das bzw. dein Kind hier gleich beim Namen: Morbus Scheuermann. Für mich ist dein Fall unbestreitbar, und ich möchte dir erklären, weshalb.
DISCLAIMER: Ich denke es ist klar, dass dies keine offizielle Diagnose ist, und dass du absolut das richtige tust, indem du eine Spezialistin aufsuchst und dich von ihr insbesondere bei der Therapie beraten lässt.
Ich habe mir deine Bilder angeschaut. Da ich selber zig Bilder analysiert und mit Software ausgemessen hab, kann ich dir folgendes mitteilen:
Alles Gute, bin gespannt was dir Frau von Richthofen sagen wird!
Ich möchte dir sagen, dass ich dich voll und ganz verstehe. Ich bin in einem ähnlichen Boot wie du. Und ich finde, du stellst die richtigen Fragen.
DISCLAIMER: Ich denke es ist klar, dass dies keine offizielle Diagnose ist, und dass du absolut das richtige tust, indem du eine Spezialistin aufsuchst und dich von ihr insbesondere bei der Therapie beraten lässt.
Ich habe mir deine Bilder angeschaut. Da ich selber zig Bilder analysiert und mit Software ausgemessen hab, kann ich dir folgendes mitteilen:
- Der globale Cobb-Winkel, definiert als der Winkel zwischen dem meist geneigten BWS-Wirbel im unteren Segment (das ist häufig T11 oder T12) und dem meist in-die-andere-Richtung-geneigten BWS-Wirbel im oberen Segment (T1 bis T4 häufig) kommt bei dir auf ca. 55 Grad zu belaufen.
- Manchmal wird auch implizit der Stagnara-Winkel gemessen, und als Cobb-Winkel ausgewiesen. Dieser ist strikte definiert als der Winkel zwischen T4 und T12 und wird häufig angewendet, weil die oberen Wirbel (T1 bis T3) auf dem Bild nicht klar ersichtlich sind. Da ich nicht genau identifizieren kann, welcher Wirbel welcher ist, kann ich es nicht genau sagen, ich schätze aber auch hier, dass 42 Grad zu tief bemessen ist.
- Viele deiner BWS-Wirbel sind milde verkeilt (zwischen 5 und 10 Grad). Man spricht von Keilwirbel ab 5 Grad. Das ist nicht sonderlich viel und wird leider von vielen Docs/Spezialisten komplett übersehen. Wenn mehrere Wirbel betroffen sind, führt das aber sehr schnell zu einer strukturellen Verkrümmung, genau so wie in deinem Fall.
- Die einzige Bedingung, die für eine Diagnose des klassischen Morbus Scheuermann erfüllt sein muss, ist, dass drei oder mehr aufeinander folgende BWS-Wirbel eine Keilform von 5 Grad oder mehr haben. Daneben gibt es eine Reihe von radiologischen Eigenschaften, welche alle auf einen Morbus Scheuermann hinweisen bzw. gehäuft mit diesem in Erscheinung treten, nicht aber notwendig für die Diagnose sind: Schmorl-Knoten, Grund- und Deckplatten-Unregelmässigkeiten, verschmälerte Zwischenwirbelräume, globaler Cobb-Winkel von mehr als 40/50 Grad (je nach Quelle und Messmethode).
- Der Cobb-Winkel ist aus diversen Gründen mit Vorsicht zu interpretieren: Es wird keine Unterscheidung zwischen struktureller Verkeilung von Wirbelkörpern und Bandscheiben (z.B. weil sie asymmetrisch degeneriert sind) und der physiologischen Verkeilung/Verformung von Bandscheiben bei z.B. einer Haltungsschwäche gemacht. Es wird einfach alles addiert. Es versteht sich von selbst dass der Grad der Unsicherheit hier enorm sein kann. Darum ist vor allem der Grad der individuellen Verkeilung der Wirbelkörper entscheidend. Ein MRI gibt zudem Aufschluss über den Zustand der Bandscheiben, und ob es bereits zu einer frühen Degeneration gekommen ist.
- Was ich aus erster Hand weiss: Frau Dr. von Richthofen z.B. verlässt sich bei der Diagnose-Stellung auf Orthopädie-Bücher wie z.B. jenes von Fritz Hefti (Kinderorthopädie in der Praxis), welches ich mir besorgt und zum Thema Scheuermann durchgelesen hab. Dort z.B. gilt ab 50 Grad fixierter Kyphose die Diagnose als gesichert, ungeachtet aller anderen Kriterien. Der Punkt ist, dass bei 50 Grad fixiert mit sehr sehr hoher Wahrscheinlichkeit ohnehin mindestens drei Keilwirbel vorhanden sind.
- Docs/Spezialisten messen nur selten die Winkel einzelner Wirbel, weil sie der Meinung sind, dass es auf den ersten Blick unauffällig aussieht. Und in Fällen, wo sie es tun, kann es sehr gut sein, dass sie es schnell und unsorgfältig tun (selber erlebt) und dabei ein sehr ungenaues Resultat rauskommt. Hier lohnt es sich also, selbst genau hinzuschauen oder nachzuhaken, falls dubiose Aussagen gemacht werden.
Alles Gute, bin gespannt was dir Frau von Richthofen sagen wird!
- Klaus
- Moderator/in

- Beiträge: 15262
- Registriert: Mi, 23.06.2004 - 18:36
- Geschlecht: männlich
- Wohnort: Hannover
Re: Hyperkyphose - Leidensdruck
Hallo NicM,
Abgesehen davon, ich finde es grenzwertig, zu behaupten keine offzielle Diagnose geben zu wollen und gleichzeitig konkrete Gradzahlen zu nennen.
Gruß
Klaus
Sorry, aber Du bist gerade derjenige, der das massiv ankurbelt. Das ist nun wirklich keine Hilfe und überfordert. (Habe eine PN bekommen).Ich möchte dir mit meinen Antworten helfen, da ich sehr gut nachvollziehen kann, wie widersprüchliche Aussagen und unklare Faktenlage das Gedankenkarussell nur weiter ankurbeln
Abgesehen davon, ich finde es grenzwertig, zu behaupten keine offzielle Diagnose geben zu wollen und gleichzeitig konkrete Gradzahlen zu nennen.
Gruß
Klaus
-
Jessi9824
- Newbie

- Beiträge: 14
- Registriert: Di, 02.05.2023 - 22:17
- Geschlecht: weiblich
- Diagnose: Hyperkyphose
Re: Hyperkyphose - Leidensdruck
Guten Abend Zusammen,
heute war mein Termin in Leonberg und so sieht es im Moment aus. Ich hatte meine beiden Röntgenbilder mitgebracht. Da mein Termin erst um 17 Uhr war, hat sie nur die Bilder angeschaut und auf eine Ganzaufnahme verzichtet. Ich hatte sie gefragt bezüglich meiner Halswirbelsäule und auch wegen den Gradzahlen und meiner oben mehr abgeflachten Bws. Sie hat anhand eines kurzen Blicks auf das Röntgenbild gesagt, dass beides vorliegt. Die Wirbelsäule ist oben abgeflacht und die hws steilgestellt. Allerdings meinte sie, ich solle mich nicht so sehr auf diese Aufnahme festmachen. Winkel hat sie keine genannt, wir hatten ja auch keine Aufnahme dafür, aber sie hat es recht schnell abgetan, dass mir das erstmal für die Therapie nicht so viel bringt.
Tatsache ist, dass die typischen Merkmale einer Hyperkyphose vorliegen, aber wohl weit von einer op entfernt.
Ich muss dazu auch sagen, dass ich bei dem Termin recht emotional war, weil die letzten zwei Wochen echt hart waren. Sie hat mich zu Beginn gefragt, ob bei mir morbus scheuermann diagnostiziert wurde, ich konnte das weder bestätigen noch ausschließen. Was sie aber meinte ist, dass meine Beine und generell meine Muskulatur verkürzt ist. Man würde sehen, dass ich Sport mache allerdings eben mit den Verkürzungen. Sie meinte außerdem, da ich sehr blasse Haut habe und eher hauttyp Ginger bin, dass dort genetisch bedingt die Muskulatur oft viel kürzer und einfach steifer ist.
Dann meinte sie, dass ich auf jeden Fall einiges an den Beinen dehnen muss. Ich hab ihr dann mehr oder weniger unter Tränen gesagt, wie sehr mich das belastet und ich weiß nicht, ob sie mich auch etwas aufmuntern wollte, aber sie meinte insgesamt hätte ich keine fixierte kyphose und meine Wirbel wären im Großen und Ganzen nicht so, als das sie die Bandscheiben schon extrem einengen oder sich auf denen abstützen würden. Ich soll zum osteopathen wegen den Verkürzungen. Dann habe ich eine Überweisung fürs MRT bekommen, weil das bei schmerzen dennoch wichtig wäre zu prüfen. Nächste Woche habe ich den Termin gemeinsam mit rahmouni für mein Korsett. Und eine Überweisung für Bad Soberheim gab es auch noch.
Insgesamt meinte sie, damit sollte ich gute Ziele erreichen können auch wenn es um die Aufrichtung geht. Insbesondere weil ich bei meiner Aufrichtung immer die Schulter hochziehe und sie merkt wie verspannt meine Muskulatur wegen der Anstrengung ist.
Das alles war für einen Tag echt viel und ich bin dankbar für die Möglichkeiten, die ich bekomme. Aber dennoch ist es einiges zu verarbeiten und auch zu verstehen was das in Zukunft für mich heißt.
Ich weiß das Thema wurde schon sehr oft genauer beschrieben, aber dennoch habe ich noch fragen an euch und eure Erfahrungen:
- Ich weiß , ich muss von dem jetzigen Stand und Situation ausgehen, aber da ich jetzt mich zum ersten Mal mit dem Thema so richtig außeinandersetze, mache ich mir Gedanken, wie schnell eine Verschlechterung fortschreitet. Kann es sein, dass ich seit 20 bis heute ohne größere Maßnahmen es sich schon sehr innerhalb vier Jahre verschlechtert hat? Ich habe leider kein Vergleich und bin mir nicht sicher. Also klar , die Schmerzen sind so denke ich schlimmer (auch wegen der Psyche im Moment) aber wie ist das vom tatsächlichen grad, gibt es da bei sagen wir kyphoses von 50-60 starke Veränderungen innerhalb ein paar Jahre? (Also ins negative wenn man bis dahin nicht so wirklich was macht)
-Zum andern, bin ich verunsichert bezüglich des Korsetts. Ich weiß, dass bei erwachsenen eher der Schmerz als die Korrektur im Vordergrund steht. Aber ist es auch bei geringeren Gradzahlen noch möglich was an der Optik, Winkel zu ändern. Also außer der Umstrukturierung der Muskulatur, dass sich tatsächlich was an der Wirbelsäulenaufrichtung tut?
Sie meinte zwar , es sei bei Erwachsenen natürlich die eigene Entscheidung wie lange man es trägt, aber es gäbe durchaus auch Fälle, die nach 2-3 Jahren so weit aufgerichtet sind, dass sie es nicht mehr brauchen. Angenommen ich bemühe mich um dich eine lange tägliche tragezeit und das für mal mind. Zwei Jahre in Kombination mit Schroth und Reha, sind dann Ziele möglich ?
Nicht falsch verstehen, ich bin dankbar für das Korsett und die Möglichkeit überhaupt was zu tun, aber es wäre einfach schön zu wissen, es gibt doch auch die Hoffnung ein Ziel zu erreichen für die Schmerzen , aber auch für die Aufrichtung später ohne.
Ich danke euch und entschuldige mich jetzt schon für die wahrscheinlich zum Teil übermotivierten fragen, aber im Moment ist das alles noch viel zu verarbeiten. Morgen gehts erstmal an die Arbeit mit der Krankenkasse, MRT und Osteopath. Da wartet echt einiges auf mich
Viele Grüße
Jessi
heute war mein Termin in Leonberg und so sieht es im Moment aus. Ich hatte meine beiden Röntgenbilder mitgebracht. Da mein Termin erst um 17 Uhr war, hat sie nur die Bilder angeschaut und auf eine Ganzaufnahme verzichtet. Ich hatte sie gefragt bezüglich meiner Halswirbelsäule und auch wegen den Gradzahlen und meiner oben mehr abgeflachten Bws. Sie hat anhand eines kurzen Blicks auf das Röntgenbild gesagt, dass beides vorliegt. Die Wirbelsäule ist oben abgeflacht und die hws steilgestellt. Allerdings meinte sie, ich solle mich nicht so sehr auf diese Aufnahme festmachen. Winkel hat sie keine genannt, wir hatten ja auch keine Aufnahme dafür, aber sie hat es recht schnell abgetan, dass mir das erstmal für die Therapie nicht so viel bringt.
Tatsache ist, dass die typischen Merkmale einer Hyperkyphose vorliegen, aber wohl weit von einer op entfernt.
Ich muss dazu auch sagen, dass ich bei dem Termin recht emotional war, weil die letzten zwei Wochen echt hart waren. Sie hat mich zu Beginn gefragt, ob bei mir morbus scheuermann diagnostiziert wurde, ich konnte das weder bestätigen noch ausschließen. Was sie aber meinte ist, dass meine Beine und generell meine Muskulatur verkürzt ist. Man würde sehen, dass ich Sport mache allerdings eben mit den Verkürzungen. Sie meinte außerdem, da ich sehr blasse Haut habe und eher hauttyp Ginger bin, dass dort genetisch bedingt die Muskulatur oft viel kürzer und einfach steifer ist.
Dann meinte sie, dass ich auf jeden Fall einiges an den Beinen dehnen muss. Ich hab ihr dann mehr oder weniger unter Tränen gesagt, wie sehr mich das belastet und ich weiß nicht, ob sie mich auch etwas aufmuntern wollte, aber sie meinte insgesamt hätte ich keine fixierte kyphose und meine Wirbel wären im Großen und Ganzen nicht so, als das sie die Bandscheiben schon extrem einengen oder sich auf denen abstützen würden. Ich soll zum osteopathen wegen den Verkürzungen. Dann habe ich eine Überweisung fürs MRT bekommen, weil das bei schmerzen dennoch wichtig wäre zu prüfen. Nächste Woche habe ich den Termin gemeinsam mit rahmouni für mein Korsett. Und eine Überweisung für Bad Soberheim gab es auch noch.
Insgesamt meinte sie, damit sollte ich gute Ziele erreichen können auch wenn es um die Aufrichtung geht. Insbesondere weil ich bei meiner Aufrichtung immer die Schulter hochziehe und sie merkt wie verspannt meine Muskulatur wegen der Anstrengung ist.
Das alles war für einen Tag echt viel und ich bin dankbar für die Möglichkeiten, die ich bekomme. Aber dennoch ist es einiges zu verarbeiten und auch zu verstehen was das in Zukunft für mich heißt.
Ich weiß das Thema wurde schon sehr oft genauer beschrieben, aber dennoch habe ich noch fragen an euch und eure Erfahrungen:
- Ich weiß , ich muss von dem jetzigen Stand und Situation ausgehen, aber da ich jetzt mich zum ersten Mal mit dem Thema so richtig außeinandersetze, mache ich mir Gedanken, wie schnell eine Verschlechterung fortschreitet. Kann es sein, dass ich seit 20 bis heute ohne größere Maßnahmen es sich schon sehr innerhalb vier Jahre verschlechtert hat? Ich habe leider kein Vergleich und bin mir nicht sicher. Also klar , die Schmerzen sind so denke ich schlimmer (auch wegen der Psyche im Moment) aber wie ist das vom tatsächlichen grad, gibt es da bei sagen wir kyphoses von 50-60 starke Veränderungen innerhalb ein paar Jahre? (Also ins negative wenn man bis dahin nicht so wirklich was macht)
-Zum andern, bin ich verunsichert bezüglich des Korsetts. Ich weiß, dass bei erwachsenen eher der Schmerz als die Korrektur im Vordergrund steht. Aber ist es auch bei geringeren Gradzahlen noch möglich was an der Optik, Winkel zu ändern. Also außer der Umstrukturierung der Muskulatur, dass sich tatsächlich was an der Wirbelsäulenaufrichtung tut?
Sie meinte zwar , es sei bei Erwachsenen natürlich die eigene Entscheidung wie lange man es trägt, aber es gäbe durchaus auch Fälle, die nach 2-3 Jahren so weit aufgerichtet sind, dass sie es nicht mehr brauchen. Angenommen ich bemühe mich um dich eine lange tägliche tragezeit und das für mal mind. Zwei Jahre in Kombination mit Schroth und Reha, sind dann Ziele möglich ?
Nicht falsch verstehen, ich bin dankbar für das Korsett und die Möglichkeit überhaupt was zu tun, aber es wäre einfach schön zu wissen, es gibt doch auch die Hoffnung ein Ziel zu erreichen für die Schmerzen , aber auch für die Aufrichtung später ohne.
Ich danke euch und entschuldige mich jetzt schon für die wahrscheinlich zum Teil übermotivierten fragen, aber im Moment ist das alles noch viel zu verarbeiten. Morgen gehts erstmal an die Arbeit mit der Krankenkasse, MRT und Osteopath. Da wartet echt einiges auf mich
Viele Grüße
Jessi
- eric
- Vielschreiber

- Beiträge: 537
- Registriert: Di, 08.11.2005 - 19:40
- Geschlecht: männlich
- Diagnose: Zustand nach Scheuermann
Kyphose
Versteifung L5-S1
Bandscheiben-OP in HWS - Therapie: Korsett mit Halsteil von Rahmouni
Vorab schon einige andere Korsetts
-zur Schmerzreduktion - Wohnort: Baumholder
Re: Hyperkyphose - Leidensdruck
Hallo Jessi,
eine Verbesserung der Gradzahlen durch Aufrichtung ist auch noch bei Erwachsenen möglich.
Und wenn "nur" die Schmerzen weniger werden, hat es sich auch schon gelohnt.
Gruß Eric
eine Verbesserung der Gradzahlen durch Aufrichtung ist auch noch bei Erwachsenen möglich.
Und wenn "nur" die Schmerzen weniger werden, hat es sich auch schon gelohnt.
Gruß Eric
- Klaus
- Moderator/in

- Beiträge: 15262
- Registriert: Mi, 23.06.2004 - 18:36
- Geschlecht: männlich
- Wohnort: Hannover
Re: Hyperkyphose - Leidensdruck
Hallo Jessie,
Mit der "Überweisung für Bad Sobernheim" meinst Du sicherlich einen Antrag für die Schroth REHA. Nach einer REHA ist es wichtig, die erlernten Übungen zuhause fortzuführen. Möglicherweise müssen die Übungen der osteopathischen Behandlung zusätzlich integriert werden.
Die REHA ist aus zeitlichen Gründen nicht immer ganzheitlich ausgerichtet, was bei Deiner besonderen Muskelsituation zu beachten ist.
Gruß
Klaus
Also so wie von mir vermutet und auch bei mir so vorliegend.Die Wirbelsäule ist oben abgeflacht und die hws steilgestellt...
Na ja, eine typische Hyperkyphose ist das mit der oberen Abflachung eigentlich nicht. Inwieweit der Kyphose-Scheitel trotzdem in der Mitte der BWS liegt, kann ich nach dem Röntgenbild ja nicht beurteilen.Tatsache ist, dass die typischen Merkmale einer Hyperkyphose vorliegen, aber wohl weit von einer op entfernt.
Damit hat sie allerdings recht, wenn man das nachfolgende betrachtet ! :...aber sie hat es recht schnell abgetan, dass mir das erstmal für die Therapie nicht so viel bringt.
Es ist ganz klar, dass man mit verkürzten Strukturen (können im gesamten Körper auftreten) einfach nicht weiterkommt.Was sie aber meinte ist, dass meine Beine und generell meine Muskulatur verkürzt ist. Man würde sehen, dass ich Sport mache allerdings eben mit den Verkürzungen. Sie meinte außerdem, da ich sehr blasse Haut habe und eher hauttyp Ginger bin, dass dort genetisch bedingt die Muskulatur oft viel kürzer und einfach steifer ist. ....Dann meinte sie, dass ich auf jeden Fall einiges an den Beinen dehnen muss.
Das ist doch gut!insgesamt hätte ich keine fixierte kyphose
Das Korsett soll Dich offenbar zusätzlich bei der Dehnung unterstützen, weil es die stärkste Waffe bei diesem Thema ist.Insgesamt meinte sie, damit sollte ich gute Ziele erreichen können auch wenn es um die Aufrichtung geht. Insbesondere weil ich bei meiner Aufrichtung immer die Schulter hochziehe und sie merkt wie verspannt meine Muskulatur wegen der Anstrengung ist.
Solche Fragen solltest Du Dir nicht stellen, weil es Dich nicht weiterbringt!Kann es sein, dass ich seit 20 bis heute ohne größere Maßnahmen es sich schon sehr innerhalb vier Jahre verschlechtert hat?
Hier ist nur wichtig, dass Du in der Vergangenheit nicht "so richtig was gemacht hast!" Dein Problem sind die verkürzten Strukturen. Jede Alltags-Bewegung, jeder Sport oder Muskelaufbau mit diesen verkürzten Strukturen ändert nichts an dieser Situation. Es kann sich sogar weiter verschlimmern und dann später in eine Fixierung führen. Da bist Du aber gottseidank noch nicht.Also klar , die Schmerzen sind so denke ich schlimmer (auch wegen der Psyche im Moment) aber wie ist das vom tatsächlichen grad, gibt es da bei sagen wir kyphoses von 50-60 starke Veränderungen innerhalb ein paar Jahre? (Also ins negative wenn man bis dahin nicht so wirklich was macht)
Natürlich kann durch eine Korsett-Korrektur und eine Stabilisierung durch Schroth KG bei einer nicht fixierten Kyphose eine Winkelverbesserung und auch eine optische Verbesserung erreicht werden. Zwar hast Du oben eine Abflachung der Kyphose, aber ich denke das Schulterproblem ist wohl optisch auffälliger und eben eine Folge der Verkürzungen.-Zum andern, bin ich verunsichert bezüglich des Korsetts. Ich weiß, dass bei erwachsenen eher der Schmerz als die Korrektur im Vordergrund steht. Aber ist es auch bei geringeren Gradzahlen noch möglich was an der Optik, Winkel zu ändern. Also außer der Umstrukturierung der Muskulatur, dass sich tatsächlich was an der Wirbelsäulenaufrichtung tut?
Mit der "Überweisung für Bad Sobernheim" meinst Du sicherlich einen Antrag für die Schroth REHA. Nach einer REHA ist es wichtig, die erlernten Übungen zuhause fortzuführen. Möglicherweise müssen die Übungen der osteopathischen Behandlung zusätzlich integriert werden.
Die REHA ist aus zeitlichen Gründen nicht immer ganzheitlich ausgerichtet, was bei Deiner besonderen Muskelsituation zu beachten ist.
Diese 2-3 Jahre waren schon beim Vorgänger Dr. Hoffmann ein Thema und zwar dann, wenn es im individuellen Fall auch eine große Wahrscheinlichkeit dafür gab. Insofern ist das bei Dir auch möglich, wenn Du tatsächlich an dieser Kombination incl. Osteopathie so langfristig dran bleibst. Auch wenn eine relativ schnelle Schmerzreduzierung die Motivation bremsen könnte!aber es gäbe durchaus auch Fälle, die nach 2-3 Jahren so weit aufgerichtet sind, dass sie es nicht mehr brauchen. Angenommen ich bemühe mich um dich eine lange tägliche tragezeit und das für mal mind. Zwei Jahre in Kombination mit Schroth und Reha, sind dann Ziele möglich ?
Gruß
Klaus
