Was habe ich? (mit Röntgenbilder)
Was habe ich? (mit Röntgenbilder)
Hallo!
Kann mir mal jemand die Röntgenbilder interpretieren?
Mein Orthopäde hat nichts gesagt und mich zum CT und zum MRT geschickt.
Habe starke Schmerzen beim Heben von Lasten und bei langen gebückten Arbeiten. Ich hoffe Ihr könnt mir helfen! MfG Daniel
Kann mir mal jemand die Röntgenbilder interpretieren?
Mein Orthopäde hat nichts gesagt und mich zum CT und zum MRT geschickt.
Habe starke Schmerzen beim Heben von Lasten und bei langen gebückten Arbeiten. Ich hoffe Ihr könnt mir helfen! MfG Daniel
- Dateianhänge
-
- forum_photo1.jpg (7.78 KiB) 9693 mal betrachtet
-
- forum_photo.jpg (8.93 KiB) 9693 mal betrachtet
-
matsch70
-
christinzenker
- Newbie

- Beiträge: 19
- Registriert: Mo, 22.06.2009 - 18:31
- Wohnort: augsburg stadt
Lieber Daniel,
auch ich kann dir leider fachmännisch nicht weiter helfen, aber ich hoffe, du nimmst es dir nicht zu schwer, dass der Orthopäde dazu nichts gesagt hat.
Eigentlich verstehe ich nicht, wieso man den Menschen, der hinter diesen Aufnahmen steckt, dann nicht wenigstens im Rahmen der Möglichkeiten in Kenntnis setzt
Liebe Grüße
auch ich kann dir leider fachmännisch nicht weiter helfen, aber ich hoffe, du nimmst es dir nicht zu schwer, dass der Orthopäde dazu nichts gesagt hat.
Eigentlich verstehe ich nicht, wieso man den Menschen, der hinter diesen Aufnahmen steckt, dann nicht wenigstens im Rahmen der Möglichkeiten in Kenntnis setzt
Liebe Grüße
- Klaus
- Moderator/in

- Beiträge: 15237
- Registriert: Mi, 23.06.2004 - 18:36
- Geschlecht: männlich
- Wohnort: Hannover
Auch wenn man noch weitere Untersuchungen vor hat, informiert ein vernünftiger Orthopäde über den Zwischenstand!zanderfan hat geschrieben:Mein Orthopäde hat nichts gesagt und mich zum CT und zum MRT geschickt.
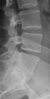
Grundsätzlich können wir hier keine Diagnose abgeben, das folgende sind nur Einschätzungen, um den Weg zu einer wirklich kompetenten ärztlichen Diagnose aufzuzeigen !!Titel: Was habe ich? (mit Röntgenbilder)
Offenbar handelt es sich bei der ersten Aufnahme um eine frontale Aufnahme, die eine Skoliose zeigt.
Die zweite Aufnahme ist wohl eine seitliche Aufnahme, leider in einem sehr begrenzten Bereich, und zeigt eine Hyperkyphose (Rundrücken).
Hast Du denn selbst den Eindruck, dass ein Rundrücken und möglicherweise auch ein Hohlkreuz vorhanden ist?
Dazu gibt es dann häufig in Kombination diese begleitende Skoliose.
Das ganze kann allein schon zu Beschwerden führen. Gleichzeitig ist natürlich zu klären, ob es Einengungen oder Bandscheibenvorfälle gibt, die zu Nervenreizungen führen. Allerdings frage ich mich, warum CT und MRT?
Viel sinnvoller wären Röntgen-Ganz-Aufnahmen Deiner Wirbelsäule, insbesondere seitliche Aufnahmen, um die Situation der gesamten Wirbelsäule zu erfassen.
Leider wird immer wieder der Fehler gemacht, Wirbelsäulen-Abschnitte isoliert zu betrachten.
Gruss
Klaus
Klaus hat geschrieben:
Hast Du denn selbst den Eindruck, dass ein Rundrücken und möglicherweise auch ein Hohlkreuz vorhanden ist?
Dazu gibt es dann häufig in Kombination diese begleitende Skoliose.
Hallo Klaus!
Nein, den Eindruck habe ich nicht.
Ich arbeite auf dem Bau, muss täglich schwere Sachen schleppen.
Werde ich meine Arbeit auf Dauer weiter ausüben können?
Achso, und wieviel Grad hat meine Skoliose?
Viele Grüße sendet Daniel
-
gauklerdavid
- Vielschreiber

- Beiträge: 513
- Registriert: Di, 18.02.2003 - 09:40
Hallo Klaus,Klaus hat geschrieben:Die zweite Aufnahme ist wohl eine seitliche Aufnahme, leider in einem sehr begrenzten Bereich, und zeigt eine Hyperkyphose (Rundrücken).
Das stimmt nicht.
Die Zweite Aufahme ist eine Teilaufnahme der Lendenwirbelasaule und sagt daher nichts ueber den Gradzahl der Brustwirbelsaeule aus.
Hallo Zanderfan,
Wir sollten warten bis alle Ergebnisse da sind, so dass man erkennen kann wo die Hauptbaustelle sitzt. Es scheint in der Tat so zu dein dass ueber dem Kreuzbein die BWS recht verschlissen ist aber die anderen Untersuchungen koennen da Klarheit bringen. CT und MRT scheint mir zienlich doppelt gemoppelt aber ich bin da kein Experte.
Wo hast du die Schmerzen und und seit wann und wann treten sie auf und wann werden sie besser?
Ob du deinen Beruf weiter ausueben kannst , dies kann ich nicht sagen.
Hallo!
Ich habe die Schmerzen vor allem in der Lendenwirbelsäule ausstrahlend in den Po. Die Schmerzen treten nur bei Körperlicher Belastung (schweres Heben, gebückte Arbeit) auf.
Manchmal habe ich auch ein kribbeln in der Fußsohle des rechten Fußes, das ist ziemlich unangenehm, ich weiß aber nicht ob das was mit den Rückenschmerzen zu tun hat.
Ich habe schon seit etwa 10 Jahren Probleme. Mal mehr mal weniger. Manchmal bin ich 1 Jahr Beschwerdefrei dann gibt es wieder Zeiten wo ich 4 Wochen fast nicht laufen kann.
So akut wie jetzt war es aber noch nie. Bin jetzt schon 6 Wochen krank und das MRT ist erst Ende Juli.
Mit ziemlich viel Überredungskunst habe ich für Montag noch mal einen Termin beim Orthopäden ergattert. Mal sehen was der sagt.
Vielen Dank für Eure Antworten
Daniel
Ich habe die Schmerzen vor allem in der Lendenwirbelsäule ausstrahlend in den Po. Die Schmerzen treten nur bei Körperlicher Belastung (schweres Heben, gebückte Arbeit) auf.
Manchmal habe ich auch ein kribbeln in der Fußsohle des rechten Fußes, das ist ziemlich unangenehm, ich weiß aber nicht ob das was mit den Rückenschmerzen zu tun hat.
Ich habe schon seit etwa 10 Jahren Probleme. Mal mehr mal weniger. Manchmal bin ich 1 Jahr Beschwerdefrei dann gibt es wieder Zeiten wo ich 4 Wochen fast nicht laufen kann.
So akut wie jetzt war es aber noch nie. Bin jetzt schon 6 Wochen krank und das MRT ist erst Ende Juli.
Mit ziemlich viel Überredungskunst habe ich für Montag noch mal einen Termin beim Orthopäden ergattert. Mal sehen was der sagt.
Vielen Dank für Eure Antworten
Daniel
- Klaus
- Moderator/in

- Beiträge: 15237
- Registriert: Mi, 23.06.2004 - 18:36
- Geschlecht: männlich
- Wohnort: Hannover
In der Zeit hättest Du schon längst einen Termin bei Dr. Hoffmann in Stuttgart und eine wirklich kompetente Diagnose zumindest bezüglich der Fehlformen Deines Rückens. Wir bräuchten dann nicht mehr darüber spekulieren und ich würde mich nicht vertun bei der Einschätzung einer Röntgenaufnahme, Sorry.zanderfan hat geschrieben:Bin jetzt schon 6 Wochen krank und das MRT ist erst Ende Juli.
Gruss
Klaus
Hallo!
War heut wieder beim Orthopäden.
Es war wohl heut nicht sein Tag. Als ich ihm gesagt habe das ich immer noch Schmerzen beim Arbeiten in gebückter Haltung und beim Anheben von Gegenständen habe, hat er nur kurz gesagt das er mir in den nächsten Tagen vier Spritzen geben wird. Danach muß ich 1 Stunde in seiner Praxis liegen bleiben.
Aber wieder keinerlei Erklärungen.
Was sind das für Spritzen, gehen sie direkt in die Bandscheibe?
Hat schon jemand solche Spritzen bekommen und helfen sie?
PS: Auf meinem Krankenschein steht der Diagnoseschlüssel M 51.1 G
Was bedeutet das auf gut deutsch?
Viele Grüße und Danke!
Daniel
War heut wieder beim Orthopäden.
Es war wohl heut nicht sein Tag. Als ich ihm gesagt habe das ich immer noch Schmerzen beim Arbeiten in gebückter Haltung und beim Anheben von Gegenständen habe, hat er nur kurz gesagt das er mir in den nächsten Tagen vier Spritzen geben wird. Danach muß ich 1 Stunde in seiner Praxis liegen bleiben.
Aber wieder keinerlei Erklärungen.
Was sind das für Spritzen, gehen sie direkt in die Bandscheibe?
Hat schon jemand solche Spritzen bekommen und helfen sie?
PS: Auf meinem Krankenschein steht der Diagnoseschlüssel M 51.1 G
Was bedeutet das auf gut deutsch?
Viele Grüße und Danke!
Daniel
-
gauklerdavid
- Vielschreiber

- Beiträge: 513
- Registriert: Di, 18.02.2003 - 09:40
Hallo Zanderfan,
Was du brauchst ist:
Eine Diagnose aus der ersichtlich ist ob:
1)Eine Wirbelsaulenverkruemmung (Skoliose, Kyphose) bei dir vorhanden ist oder nicht. Wenn ja sind wir hier das richtige Forum fuer dich.
2)Eine andere Problematik vorhanden ist (Osteochondrose, Bandscheibenproblem oder so) Dafuer sind wir hier nur teilweise das richtige Forum.
Um Fall 1) rauszufinden solltest du am besten zu einem von uns empfohlenen Artzt gehen, ansonsten dauert das ewig.
Fall 2) sollte auch ein guter standard Orthopaede in der Lage sein zu beurteilen.
Wenn bei dir 1) vorhanden ist dann steht eine Schroth Reha an und in speziellen Faellen ein Korsett, letzteres ist aber ein Kapitel fuer sich. Weiterhin solltest du deinen Alltag Rueckengerecht einrichten.
Wenn bei dir ein Bandscheibenschaden vorhanden ist dann ist folgende Strategie angesagt:
1.Am Anfang (aber nur am Anfang) schonen um den beginnenden Heilungsprozess nicht zu stoeren.
2. Innere Muskulatur kraeftigen und Bandscheibenfreundlichen Sport machen. Langsam damit anfangen! Die Schmerzen zeigen dir was geht und was nicht geht und sind ein wunderbarere Warnmechanismus des Koerpers.
3. Alltags und Berufsleben Rueckengerecht gestalten.
4. Eventuell eine Kubin Orthese tragen. Soll schon "Wunder" gewirkt haben. Kennen leider die wenigsten Aerzte. Macht biomechanisch Sinn.
viewtopic.php?t=9987
http://www.scheunemann.ch/
Weiter Tipps gibts in Bandscheiben Foren und Physiotherapie Foren.
Sowohl im Fall 1) als im Fall 2) kann es sein dass es besser wahre einen Rueckengerechteren Beruf zu waehlen oder deinen jetzigen rueckengerechter umzugestalten, aber selbstverstaendlich kann man das so aus der Ferne nicht beurteilen.
Alles gute und viel Efolg, lasse von dir hoeren.
david
Das ist leider die Standardbehandlung bei vielen deutschen Orthopaeden: Keine Aufklaerung und ein paar Spritzen. So kommst du nicht weiter.War heut wieder beim Orthopäden.
Es war wohl heut nicht sein Tag. Als ich ihm gesagt habe das ich immer noch Schmerzen beim Arbeiten in gebückter Haltung und beim Anheben von Gegenständen habe, hat er nur kurz gesagt das er mir in den nächsten Tagen vier Spritzen geben wird. Danach muß ich 1 Stunde in seiner Praxis liegen bleibe
Was du brauchst ist:
Eine Diagnose aus der ersichtlich ist ob:
1)Eine Wirbelsaulenverkruemmung (Skoliose, Kyphose) bei dir vorhanden ist oder nicht. Wenn ja sind wir hier das richtige Forum fuer dich.
2)Eine andere Problematik vorhanden ist (Osteochondrose, Bandscheibenproblem oder so) Dafuer sind wir hier nur teilweise das richtige Forum.
Um Fall 1) rauszufinden solltest du am besten zu einem von uns empfohlenen Artzt gehen, ansonsten dauert das ewig.
Fall 2) sollte auch ein guter standard Orthopaede in der Lage sein zu beurteilen.
Wenn bei dir 1) vorhanden ist dann steht eine Schroth Reha an und in speziellen Faellen ein Korsett, letzteres ist aber ein Kapitel fuer sich. Weiterhin solltest du deinen Alltag Rueckengerecht einrichten.
Wenn bei dir ein Bandscheibenschaden vorhanden ist dann ist folgende Strategie angesagt:
1.Am Anfang (aber nur am Anfang) schonen um den beginnenden Heilungsprozess nicht zu stoeren.
2. Innere Muskulatur kraeftigen und Bandscheibenfreundlichen Sport machen. Langsam damit anfangen! Die Schmerzen zeigen dir was geht und was nicht geht und sind ein wunderbarere Warnmechanismus des Koerpers.
3. Alltags und Berufsleben Rueckengerecht gestalten.
4. Eventuell eine Kubin Orthese tragen. Soll schon "Wunder" gewirkt haben. Kennen leider die wenigsten Aerzte. Macht biomechanisch Sinn.
viewtopic.php?t=9987
http://www.scheunemann.ch/
Weiter Tipps gibts in Bandscheiben Foren und Physiotherapie Foren.
Sowohl im Fall 1) als im Fall 2) kann es sein dass es besser wahre einen Rueckengerechteren Beruf zu waehlen oder deinen jetzigen rueckengerechter umzugestalten, aber selbstverstaendlich kann man das so aus der Ferne nicht beurteilen.
Woher sollen wir das wissen? Es gibt viele Spritzen. Langfristig helfen Spritzen alleine wenig. Direkt in die Bandscheibe wird eigentlicht nicht gespritzt, glaube gar nicht dass das so einfach geht.Was sind das für Spritzen, gehen sie direkt in die Bandscheibe?
Hat schon jemand solche Spritzen bekommen und helfen sie?
Alles gute und viel Efolg, lasse von dir hoeren.
david
- Dalia
- Co-Admin

- Beiträge: 10332
- Registriert: So, 10.08.2003 - 12:48
- Geschlecht: weiblich
- Diagnose: 107° und 98° (im Jahr 2003 zu Beginn der Korsetttherapie: 98° und 93°), sehr starre Skoliose, kaum Beschwerden
- Therapie: 1983-1994 Korsetts verschiedener OTs, zuletzt bei Rahmouni, dann Korsettabschulung im Jahr 1994, seit 05/2005 bis etwa 2018 Nachtkorsett von Rahmouni, Therapieziel: Halten der Skoliose, seit 2018 keine Therapie mehr
- Wohnort: NRW
Zanderfan, du brauchst ein Röntgenbild der KOMPLETTEN Wirbelsäule und der Orthopäde muss sie ausmessen. Wenn dein orthopäde das nicht kann, suche dir einen anderen, oder fahre zu Dr. Hoffmann in Leonberg bei Stuttgart, bei dem du garantiert eine sichere Diagnose bekommst.
Gegen Beschwerden kann eine Schroth-Reha helfen, aber erst mal brauchst du eine gescheite Diagnose (siehe Postings von Klaus und gauklerdavid).
Gegen Beschwerden kann eine Schroth-Reha helfen, aber erst mal brauchst du eine gescheite Diagnose (siehe Postings von Klaus und gauklerdavid).
Ich kann dem Leben nicht mehr Tage geben, aber dem Tag mehr Leben. (Bertolt Brecht)
meine Geschichte: Dalia wird Königin (Korsett für eine Oldie-Power-Skoliose)
meine Geschichte: Dalia wird Königin (Korsett für eine Oldie-Power-Skoliose)