Vorstellung…Ich bin Ich :-)

Hier kann sich jeder, der möchte, kurz vorstellen und was über sich, seine Diagnose und/oder Therapie schreiben.
NUR VORSTELLUNG- KEINE FRAGEN!
Antworten
Lin
Newbie
Newbie
Beiträge: 10
Registriert: Fr, 01.10.2021 - 10:28
Geschlecht: weiblich
Diagnose: Thorakolumbalskoliose - Cobb-Winkel 60 und 80
Therapie: Alles, nur keine OP

Vorstellung…Ich bin Ich :-)

Beitrag von Lin »

Halli Hallo,
ich bin Lin, neu hier und wollte mich mal vorstellen. :)
Weiblich, 37 Jahre, aus Bayern, glücklich verheiratet, 2 Kinder (2 und 6 Jahre :lach: :lach: ),
Thorakolumbalskoliose mit aktuellen COBB-Winkeln von 80 und 60 Grad...wenig Schmerzen und daher meistens glücklich :D .

Mit der Diagnose Skoliose lebe ich seit 2003, ich war 19 Jahre und das Wachstum war schon beendet. Damals hatte ich COBB-Winkel von 38 und 28 Grad.
Ihr seht es also schon, meine Skoliose verschlechtert sich leider… :flop:
Aber von vorne…damals habe ich mich gegen die empfohlene Versteifungsoperation entschieden und stattdessen eine konservative Sporttherapie angefangen. Physiotherapie 1 bis 2 mal die Woche (2 Jahre lang, anfangs auch nach Schroth, aber dann wechselte die Therapeutin und die Nächste konnte das leider nicht) mit Übungen Zuhause.
Dann habe ich raus gefunden, dass wenn ich 1-2 mal die Woche Schwimmen gehe und Wassergymnastik mache und mich regelmäßig dehne, ich schmerzfrei bin und hab die Physio aufgegeben und mich auf mein Leben/Karriere konzentriert.
2008 war ich dann nochmal bei einem Orthopäden, weil ich ausstrahlende Schmerzen ins Bein hatte, dass hat sich aber durch intensives Training gelegt und dann ging ich nicht mehr zum Orthopäden, bis letzten Monat.
Zwischenzeitlich habe ich Karriere gemacht, die Welt bereist :cool: , geheiratet und 2 wundervolle Kinder bekommen :lach: ;D . Die Skoliose stand, solang ich regelmäßig Schwimmen ging und gut gedehnt war, nicht im Zentrum meines Lebens :top: .
Die zweite Schwangerschaft mit Kleinkind (das auch mal getragen werden wollte) war sehr anstrengend für meinen Rücken und mein Rippenbuckel wurde viel größer und am Schluss taub :( . Nach der Geburt hatte ich ne tolle Physiotherapeutin auf dem Zimmer, welche mir ein paar Übungen zeigte und schon wurde es besser…trotzdem wusste ich, oh oh, ich sollte mal wieder ein Röntgenbild machen lassen…Tja, aber als Mama hat man einen anderen Fokus und Corona mit den Kindergarten und Schwimmbad-Schließungen hat sein Übriges getan und so ist meine Tochter mittlerweile 2,5 Jahre und ich hatte letzten Monat 2 Arzttermine, welche die Skoliose leider wieder sehr stark in den Mittelpunkt meines Lebens haben rücken lassen.
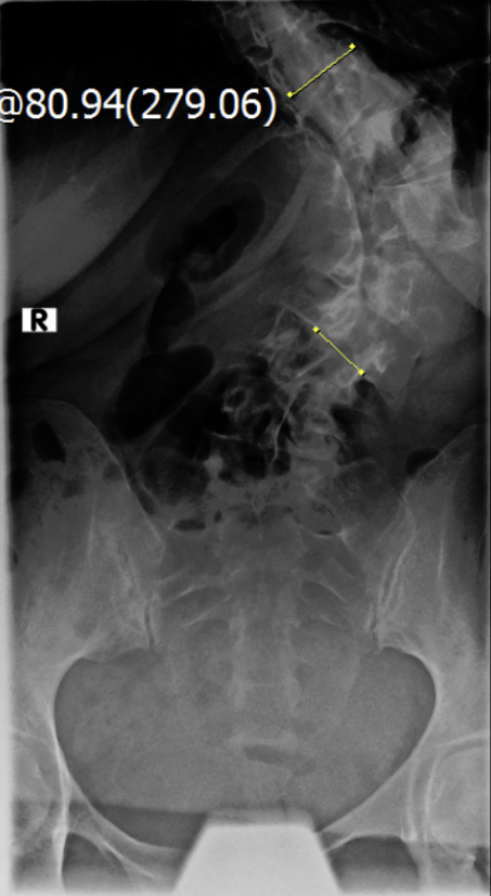
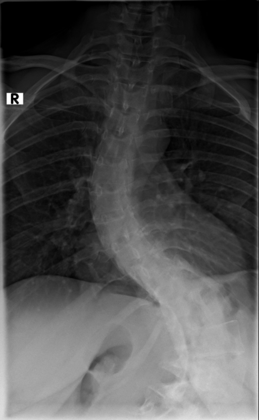
Viele kennen sich aus, daher möchte ich euch meine aktuellen Röntgenbilder nicht vorenthalten und hänge sie unten an.

Ich war beim MVZ Gersthofen, dort wurden die Röntgenbilder gemacht…die massive Verschlechterung war sehr offensichtlich :( , drum wurde ich gleich an die Experten zur Hessing Klinik überwiesen.
Dort wurden die Winkel gemessen, unten 80 Grad und oben 60 Grad…eine Verschlechterung von über 2 Grad pro Jahr, wenn man es auf die ganze Zeit berechnet :( .
Tja und wie soll es anders sein, der Doktor rät zur OP und zur Versteifung nahezu der kompletten Wirbelsäule (weitere Röntgenbilder der kompletten Wirbelsäule und auch MRT/CTG müssten erstellt werden, wenn ich mich für die OP entscheide).
Der Worst-Case ist also eingetreten…ich könnte heulen… :(

Eine OP kommt für mich persönlich aber aktuell nicht in Frage und seither drehen sich meine Gedanken im Kreis… :juggle: :juggle:
Ich habe natürlich auch viel in eurem Forum gelesen und ich möchte hiermit mal allen Danken, die ihre Erfahrungen und Lebenssituationen teilen :top: !
Und ich dachte mir, jetzt wäre ein guter Zeitpunkt das auch mal zu tun.

Viele Grüße und allen einen schönen Tag
Lin
2021-09-09_Unten_von_Vorne.jpg
(128.2 KiB) Noch nie heruntergeladen
2021-09-09_Unten_von_der_Seite.jpg
(136.54 KiB) Noch nie heruntergeladen
2021-09-09_Oben_von_Vorne.jpg
(108.7 KiB) Noch nie heruntergeladen
2021-09-09_Oben_von_der_Seite.jpg
(132.26 KiB) Noch nie heruntergeladen
Die Winkel hab ich nachgemessen, wie der Arzt der Hessing und hier mal als Screenshot
2021-09-09_messung_winkel_1oben.jpg
(115.98 KiB) Noch nie heruntergeladen
2021-09-09_messung_winkel_2unten.jpg
(124.8 KiB) Noch nie heruntergeladen
2021-09-09_messung_winkel_beide.jpg
(127.19 KiB) Noch nie heruntergeladen
Benutzeravatar
eric
Vielschreiber
Vielschreiber
Beiträge: 532
Registriert: Di, 08.11.2005 - 19:40
Geschlecht: männlich
Diagnose: Zustand nach Scheuermann
Kyphose
Versteifung L5-S1
Bandscheiben-OP in HWS
Therapie: Korsett mit Halsteil von Rahmouni
Vorab schon einige andere Korsetts
-zur Schmerzreduktion
Wohnort: Baumholder

Re: Vorstellung…Ich bin Ich :-)

Beitrag von eric »

Hallo Lin,
ich bin keine Skolio-Patient, finde aber, dass vor einer OP alle konservativen Therapien ausgeschöpft sein sollten!
Eine OP ist unumkehrbar!
Ein Korsett kann ich ausziehen, wenn ich möchte/ muss.
Alles Gute weiterhin.
Sabona
treues Mitglied
treues Mitglied
Beiträge: 363
Registriert: Mo, 23.05.2005 - 20:38
Geschlecht: weiblich
Diagnose: Skoliose, 89 und 87 Grad
Therapie: Schroth
Wohnort: OÖ.

Re: Vorstellung…Ich bin Ich :-)

Beitrag von Sabona »

Hallo Lin,
herzlich willlkommen hier im Forum.
Deine Geschichte ist meiner so ähnlich. Nur bin ich mittlerweile 64 Jahre und mit meiner 90 Grad Skoliose noch immer fit. Operieren wollten mich einige, aber der führende WS-Chirurg Prof.Halm lehnte es ab. Ich war ihm noch zu fit. Auch er sagte mir er müsste mich von oben bis unten versteifen und ich könnte vom Regen in die Traufe kommen. Mit 45 Jahren lernte ich erst Schroth kennen. Dank an Dr. Steffan. Und seit dem schrothe ich fast täglich und bewege mich viel. Bergsteigen, MTB, N-Walking, Schifahren, nur Joggen mußte ich aufgeben. Meine beiden tollen Kinder haben mich mittlerweile zur Omi gemacht und ich kann auch noch meine Enkeln für kurze Zeit tragen und knuddeln. Wenn es mal ganz toll zwickt, trage ich eine Extensionsorthese.
Eine Schrothreha wäre natürlich für dich ideal. Aber deine Kinder sind noch sehr jung und werden dich fürchterlich vermissen. Vielleicht findest du wieder eine fähige Schroththerapeutin.
Wünsche dir einen guten Austausch hier.
LG
ChristineHo
Newbie
Newbie
Beiträge: 16
Registriert: So, 06.06.2021 - 19:20
Geschlecht: weiblich
Diagnose: Skoliose linkskonvex 20 Grad, SW L2, Beckenschiefstand links, Hyperlordose der LWS bei ventraler Beckenkippung
Therapie: Reha in der Schrothklinik 5.Januar 2022

Re: Vorstellung…Ich bin Ich :-)

Beitrag von ChristineHo »

Liebe Lin,
herzlich Willkommen im Forum.
Ich wünsche dir einen guten Austausch mit hilfreichen Tipps in diesem Forum.

Liebe Grüße von
Christine
Benutzeravatar
Klaus
Moderator/in
Moderator/in
Beiträge: 15246
Registriert: Mi, 23.06.2004 - 18:36
Geschlecht: männlich
Wohnort: Hannover

Re: Vorstellung…Ich bin Ich :-)

Beitrag von Klaus »

Hallo Lin,

willkommen im Forum.

Deine Vorstellung ist jetzt umfangreich geworden. Eigentlich heisst der Untertitel dieser Rubrik:
Hier kann sich jeder, der möchte, kurz vorstellen und was über sich, seine Diagnose und/oder Therapie schreiben.
damit man dann in entsprechend anderer Rubrik ausführlich diskutieren kann. Deshalb bitte ich Dich, einen neuen Thread in "Skoliose Allgemein" zu eröffnen.

Gruß
Klaus
Lin
Newbie
Newbie
Beiträge: 10
Registriert: Fr, 01.10.2021 - 10:28
Geschlecht: weiblich
Diagnose: Thorakolumbalskoliose - Cobb-Winkel 60 und 80
Therapie: Alles, nur keine OP

Re: Vorstellung…Ich bin Ich :-)

Beitrag von Lin »

Hallo,
sorry das es zu lang geworden ist, habe nun meine Gedanken im Allgemeinen Skoliose-Forum geteilt.
Es freut mich aber schon zu lesen, dass Sabona mit 64 Jahren und 90 Grad Skoliose immer noch fit ist :top: und ich drück die Daumen, dass das am 90. Geburtstag immer noch so ist! :ja:
Viele Grüße
Lin
Wuppertaler
aktives Mitglied
aktives Mitglied
Beiträge: 81
Registriert: Mo, 22.11.2021 - 07:04
Geschlecht: männlich
Diagnose: lumbaler Scheuermann/Rundrücken
Therapie: 02/21-03/24 Korsett
Krankengymnastik
seit 09/2024 erneut Korsett
Wohnort: Wuppertal

Re: Vorstellung…Ich bin Ich :-)

Beitrag von Wuppertaler »

Hallo, ich bin auch neu hier. Trage seit Februar ein Korsett. Komme gut damit zurecht. Ist fast wie eine zweite Haut. Ich kann es ohne Probleme den ganzen Tag tragen. Am Anfang hatte ich echt Angst, habe es mir viel schlimmer vorgestellt.
VG aus Wuppertal
Wuppertaler
aktives Mitglied
aktives Mitglied
Beiträge: 81
Registriert: Mo, 22.11.2021 - 07:04
Geschlecht: männlich
Diagnose: lumbaler Scheuermann/Rundrücken
Therapie: 02/21-03/24 Korsett
Krankengymnastik
seit 09/2024 erneut Korsett
Wohnort: Wuppertal

Re: Vorstellung…Ich bin Ich :-)

Beitrag von Wuppertaler »

Ach so, ganz vergessen, bin schon 44. Sind hier noch mehrere "Spätzünder", die erst als Erwachsene ihr erstes Korsett bekommen haben?
Benutzeravatar
Klaus
Moderator/in
Moderator/in
Beiträge: 15246
Registriert: Mi, 23.06.2004 - 18:36
Geschlecht: männlich
Wohnort: Hannover

Re: Vorstellung…Ich bin Ich :-)

Beitrag von Klaus »

Hallo Wuppertaler,

dies ist hier die Vorstellung von Lin, bei der es um Skoliose geht.
Wenn Du Dich kurz vorstellen möchtest, eröffne bitte dazu hier einen eigenen Thread.
Besser ist es aber, gleich einen eigenen Thread in der Rubrik "Hohlkreuz/Hyperlordose, Rundrücken/Hyperkyphose, Morbus Scheuermann..." aufzumachen, weil es bei einem "lumbalen Scheuermann" vermutlich um eine Hyperkyphose (Rundrücken) geht. Dort können wir dann ausführlich zu Deiner persönlichen Situation Stellung nehmen.

Gruß
Klaus
Antworten