ich bin ganz neu hier und habe mich nun mal ein wenig umgesehen,ich meine ich bin hier richtig mit meinem Problem.
Kurz zu mir : Ich bin 24 Jahre alt und alleinerziehende Mutter eines wunderschönen fast 3 jährigen Sohnes
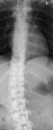
Ich habe eine festgestellte Skoliose, und weiß nun nicht wie es weiter geht, die Diagnose bekam ich bereits mit 14 oder 15 glaube ich,es kam auch zu einem Korsett damals, man wurde in der Schule viel gemobbt deswegen und ich habe die Sache auch damals überhaupt nicht ernst genommen,ich sah auch noch relativ normal am Rücken aus. Jedenfalls flog das Korsett schnell in die Ecke
Ich war dann auch nie wieder bei einem Arzt deswegen
Jetzt 9 Jahre älter und um einiges gescheiter halte ich es nicht mehr aus, ich sehe furchtbar aus denn in den Jahren hat sich ein richtiger Buckel auf der rechten Seite gebildet, Schmerzen haben mich immer begleitet aber ich hab das nicht so ernst gesehen,gesehen haben meinen Buckel sicher auch schon genug aber ich habe immer versucht das irgendwie durch die Kleidung zu verstecken,es ist so deprimierend wenn man sich nicht kleiden kann wie andere in meinem Alter
Ich habe jetzt so damit gelebt,meinen Sohn bekommen und nach der Schwangerschaft ist es irgendwie noch schlimmer alles...
Jetzt so seit 2 Wochen habe ich tierische Schmerzen vom Ncken und den kompletten Rücken runter,ich bin also doch zum Arzt gegangen, da wurde dann alles komplett vom Rücken geröngt,die Bilder hab ich aber noch nicht gesehen. Beim Arzt war ich nur ganz kurz drin, er meinte nur es ist schlimm aber nicht zu spät. Hat mir jetzt Physio - und Ergotherapie verschrieben mit Massage und Reizstrom. Das beginnt nun alles nächste Woche.
Aber was ist mit den Schmerzen und dem Aussehen? Das wird doch nicht davon aufhören oder weggehen?
Ich habe im Netz schon soviel gelesen über Skoliose, aber wie ist es denn mit einer OP? Wäre das in meinem Fall nicht angebracht? Es gibt doch super Kliniken dafür.
Wie geht es jetzt weiter,was müssen meine nächsten Schritte sein?
Ich wäre so dankbar für zahlreiche Antworten,ich muss schnell eine Entscheidung treffen oder wissen wie es weiter geht, denn ich habe ab September eine Ausbildung als Kranken - und Altenpflegerin sicher
( ich ahne schon das ich mich davon verabschieden kann )
Wie gesagt ich würde mich sehr über Antworten freuen.
Bis dahin
Breathe




