Ich bin 35 Jahre alt, wohne in der Nähe von Kiel und habe mir durch meinen Scheuermann in der Jungend eine stattliche 70° Hyperkyphose zugelegt. Richtig diagnostiziert wurde meine Kyphose erst bei der Musterung als ich 17 Jahre alt war. Meine Eltern haben schon vorher gemerkt, dass mit meinem Rücken etwas nicht in Ordnung ist und haben mich mit 15 Jahren auf Rat eines Arztes im Fitnesscenter angemeldet, sodass ich mir bis zum 17 Lebensjahr eine ordentliche Muskulatur angelegt habe und man von außen als Laie kaum etwas gesehen hat, außer beim Runterbücken, wo die BWS eigentlich in die volle Extension gehen sollte.
Mit 17 Jahren sah ich so aus: Bis ich 24 Jahre alt war, hatte ich keine großen Beschwerden bis auf hin und wieder Verspannungen im unteren Rücken durch meine kompensatorischen Hyperlordose, aber das war für mich schon Normalität und nicht weiter schlimm.
Dann ging mein Studium los und durch die wenige Bewegung und das ständige Sitzen in Verbindung mit meiner Wirbelsäule kamen die Probleme. Ab dem Zeitpunkt bin ich von Orthopäde zu Orthopäde gelaufen (ca. 10 Verschiedene werden es gewesen sein).
Verschrieben wurde meistens Folgendes:
-manuelle Therapie
-Osteopathie
-Massagen
-Schmerzmittel wie Ibuprofen, Diclofenac und Tramadol
-Ortoton
Zudem habe ich versucht mich selbst zu informieren und Bücher gelesen wie "werde ein geschmeidiger Leopard", in dem es um Mobilisierung, Dehnung und Krafttraining geht. Mit 27 Jahren ,Ende 2017 wurde mein erstes Kind geboren und ich entschied mich zu einem Besuch in Neustadt bei Dr. Pecsi.
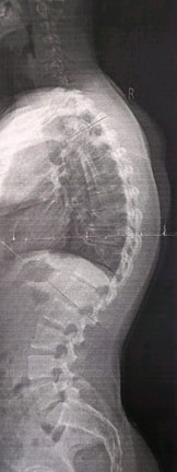
Dort wurde das erste Mal wirklich alles richtig Vermessen und es kam heraus, dass ich thorakale Hyperkyphose von 70° habe und einen kleinen Bandscheibenvorfall auf der Höhe Th4/5 ohne Rückenmarkkompression.
So sah meine Wirbelsäule Anfang 2018 aus: 2018 habe ich mich hier dann auch angemeldet, ein bisschen gestöbert und mir daraufhin eingeredet, dass es bei mir nicht so schlimm sein wird und leider an meinem bisherigen Konzept festgehalten, dass mir hin und wieder Phasen ermöglicht hat, in denen meine Verspannung nur geringfügig da waren.
2024 kamen neue Symptome dazu und ich entschied mich dazu ein neues MRT von der gesamten Wirbelsäule machen zu lassen.
Im Befund war von insgesamt 7 Bandscheibenvorfällen die Rede. Bei Interesse: Folgende Symptome treten bei mir auf:
fast dauerhaft:
-Verspannung der Nackenmuskulatur linksseitig mit sich instabil anfühlender Schulter links
-Verspannung hinter dem Schulterblatt links
-Verspannung der Hüftbeugemuskulatur rechtsseitig
-das Gefühl nicht mehr richtig entspannen zu können
intermittierend:
-Fremdkörpergefühl im Ohr (HNO ohne Befund)
-Symptome einer Prostatitis, wie häufiger Harndrang, leichtes Brennen in der Dammgegend und Harnröhre(Urologe ohne Befund)
-vegetative Symptome, vor allem bei Verspannungen im Brustkorb wie Schweißausbrüche, innere Unruhe und Konzentrationsstörungen.
-Stechen in der Herzgegen bei Verspannungen in der BWS (bereits einmal den Krankenwagen gerufen, natürlich auch ohne Befund)
Mittlerweile habe ich einsehen müssen, dass sich wohl doch ein Experte das ganze nochmal ansehen sollte und ich mich wohl möglich Konzepten wie Schroth Therapie und Korsetttherapie öffnen muss. Ich habe jetzt im Dezember ein Termin bei Dr. Halm und eine Terminanfrage bei Frau von Richthofen am laufen. Für die Überweisung, die ich benötige habe ich mir einen Orthopäden in meiner Nähe gesucht, der Erfahrung mit Hyperkyphosen hat(Dr. Ketelsen in Dithmarschen)
Folgende Fragen ergeben sich bei mir:
-Hat jemand Erfahrung mit Dr. Halm? Hier im Forum habe ich entnommen, dass er mit Dr. von Richthofen im Austausch ist. Vielleicht kennt auch jemand Dr. Ketelsen in Dithmarschen und kann mir davon berichten.
- Gibt es hier Leute mit einer Hyperkyphose, die ähnliche Symptome haben? Es würde mich vor allem interessieren, ob es viele gibt, die auch diese vegetative Symptomatik haben und ob es vielleicht Hinweise auf einen Zusammenhang mit der Wirbelsäule gibt.
- Was macht ihr noch um eure Verspannungen zu lindern? Hilft euch progressive Muskelentspannung nach Jacobsen? gibt es hier Leute die SSRIs einnehme, wie z.B. Escitalopram und damit positive Effekte auf Verspannungen haben?
Vielen Dank für eure Aufmerksamkeit

