so jetzt war ich bei Dr. Hoffmann.
Ich hatte ein sehr guten Eindruck!! Fachlich, aber auch nett, erklärt usw.
Vielen Dank also nochmal ans Forum!
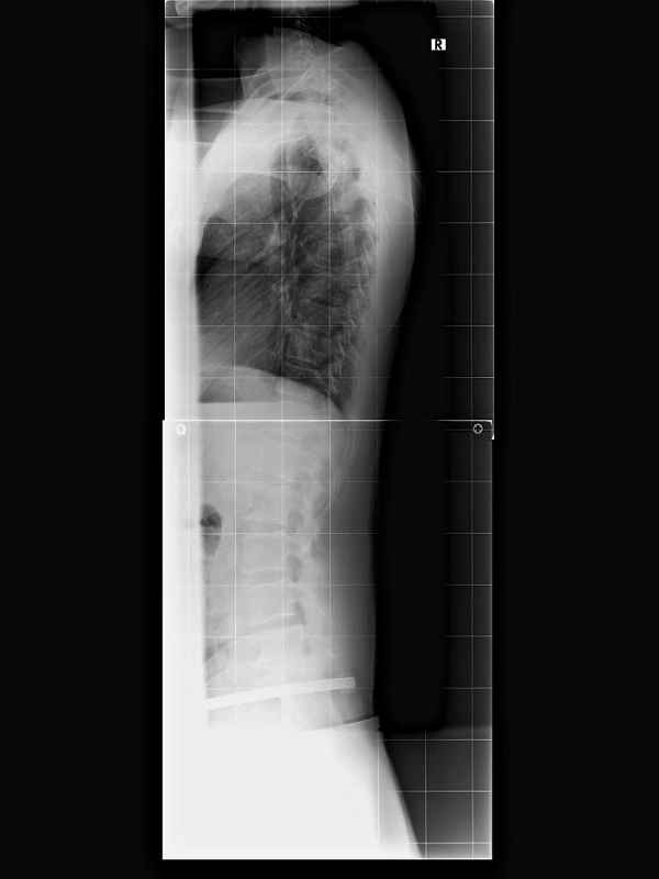
Ich habe mal Röntgenbilder reingestellt.
Aus meiner Sicht würde ich das so beschreiben:
- (doch) kein starkes LWS Kyphose Problem
- die unterste Bandscheibe ist recht stark abgenutzt.
Nach Dr. Hoffmann kommt das durch die verkürzte Rückenmuskulatur
- auch sind bei mir die Achillessehnen verkürzt
Durch die Verkürzungen kommt ein starker Zug auf den Rücken und damit auf die Bandscheibe.
Dr. Hoffmann meinte, dass ich mich über die Zeit ohne OP retten können sollte.
Ich weiß nicht ganz, ob ich so optimistisch bin. Aber das wird die Zeit zeigen.
Jedenfalls bin ich froh gewesen, dass außer der einen Bandscheibe alles soweit im 'Rahmen' ist.
Die Verkürzungen lassen sich mehr oder weniger beheben. Das muss aber die Zeit zeigen. Grundproblematik wird aber bestehen bleiben, aber vielleicht hat eine gewisse Behebung schon einen großen Entlastungseffekt für die Bandscheiben.
Interessant sind die 'Haken' die am ersten Wirbel wachsen. Hier versucht der Körper auszugleichen, was langfristig zu einer Versteifung an dieser Stelle führen könnte.
Ich habe auch einen Beckenschiefstand oder meine Beine sind unterschiedlich lang, in der Aufregung weiß ich es nicht mehr genau. Der Beinlängenausgleich (rechts höher stehen als links) brachte aber keine bessere Stabilität für die Wirbelsäule. Ich sollte nach Dr. Hoffmann also keine unterschiedlich hohen Schuhe tragen.
Interessant war auch, dass meine Hüftgelenke nicht richtig in der Pfanne sitzen. Normal ist 120 Grad, ich habe aber 160 (der rote Pfeil im 1. Bild: ganz verstanden habe ich das nicht, ob von hinten oder von der Seite gesehen? Muss ich nochmal nachlesen bzw. ne Quelle finden). 160 Grad haben Säuglinge. Da habe ich mich also als Kind auch nicht normal entwickelt. Dr. Hoffmann meinte, dass man das auch korrigieren könnte. Im Moment aber nicht notwendig, da ich keine Probleme mit Hüfte oder Leisten habe.
Die letzten 2,5 Jahre mit den Schulterproblemenwaren natürlich Gift für den Rücken, für die Bandscheibe. Ich konnte ja nicht am Schreibtisch sitzen, konnte mich nicht strecken, sondern war in ein einer Schonhaltung.
Dr. Hoffmann zeigte mir zwei Röntgenbilder von Patienten wo eine künstliche Bandscheibe reinkamen. Alles soweit problemlos. Heutzutage scheint ja schon viel möglich. Natürlich ist es aus meiner Sicht besser man kann eine OP vermeiden.
was sollte ich tun?
- Rücken und Beine dehnen, alles was man beim Körper sozusagen von hinten sieht
- aber auch gewisse Muskulatur muss ich haben, damit die Kräfte, Belastungen nicht so stark auf die Wirbelsäule wirken sondern gedämpft werden können
- keine Fehlbelastungen des Rücken insb. der Bandscheiben
- aufrecht (durchs Leben) gehen, strecken (seelische bzw. psychologischer Sicht)
Mir ist vollkommen bewusst, dass ich damit wahrscheinlich kein schwerwiegendes Rückenleiden habe (so wie sich die Sache zumindest heute darstellt).
Ich bin dennoch für jede Anregung oder Hinweis sehr dankbar!
Liebe Grüße
PS: ich hoffe der Beitrag ist in der richtigen Kategorie


