Skoliose? Blinde Ärzte und verschenkte Jahre? Hilfe

Skoliosen, die als Folge anderer Erkrankungen entstehen (Nerven- und Muskelerkrankungen, Wirbelfehlbildungen usw.)
neXus
Newbie
Newbie
Beiträge: 17
Registriert: Fr, 03.02.2017 - 09:10
Geschlecht: männlich
Diagnose: Bandscheiben Vorfall L5/S1. Noch nicht genau definierte Skoliose und O Beine
Therapie: Konservative Therapien, Bandscheiben OP 4/17, Schuheinlagen.
Wohnort: Berlin

Skoliose? Blinde Ärzte und verschenkte Jahre? Hilfe

Beitrag von neXus »

Hallo zusammen. ´
Habe mich heute mal Registriert, nachdem ich schon recht viel im Forum gelesen und gestöbert habe.

Also ich bin 1983 geboren, verheiratet und habe einen Sohn 5Jahre und eine Tochter 1 Jahr alt.
Ausserdem arbeite ich seit 10 Jahren als Paketzustellen in meiner Heimatstadt ganz im Osten von Berlin.
Bin sehr schlank...bei 186cm bin ich nie über 60 Kg gekommen ;(

Ich hole mal etwas weiter aus wenn das ok ist :D

Ich habe seit 2013 massive Schmerzen in der LWS und wurzelreizsyndrom, die sich im rechten Bein und Po bemerkbar machen mit starken brennen und stechen.
Leider ist es ein absoluter Horror in Berlin zeitnah einen Termin bei einem Orthopäden zu bekommen....Naja, am Ende ging es zu einem Herr Dr. Roth nach Berlin Mahlsdorf.
Er hatte dann die LWS röntgen lassen und dabei nicht viel festgestellt. Also auf Deutsch....ich bilde mir das doch nur ein....aber eine MRT angeordnet.
Da kam eine Chondrosis Intervertebralis L5/S1 mit Protrusion der Bandscheibe nach rechts.
Also Schmerzmittel, ne Tensbandage für den Rücken und Physio.
Geholfen hatte alles nur bedingt und sehr kurz. Das war dann auch das letzte mal das ich bei Ihm war. Extrem kurz angebunden und ich habe auch bei dem Herr Dr. Roth vermisst einfach mal meinen gesamten Körper zu betrachten. DAS HAT NOCH KEIN ARZT GEMACHT!
Zwischendurch dann bei einer Frau Dr. Fleischer in Berlin Hellersdorf die mir noch Akupunktur verschrieben hatte...aber ohne merklichen Erfolg.

Ein Jahr später ( Sommer 2014) ging dann nichts mehr. Konnte zeitweise weder sitzen noch lange stehen und wurde stellenweise Nachts von den Schmerzen im Bein aus dem Schlaf gerissen.
Meine Frau holte mir einen Termin im Sporthopaedicum in Berlin Charlottenburg.
Um es aber etwas abzukürzen...nach neuem MRT und diesem Nervenmessen im Bein gab es neue stärkere Tabletten, Physio und Computer gestützte Spritzen in die Bandscheibe.
Aber auch diesmal wurde ich insgesamt nicht im ganzen Betrachtet!

Warum ich gerade hier bin??
Ich habe schon immer ein asymmetrische Brust. Meine Schultern sind doch schon recht unterschiedlich hoch und auch das Becken etwas schräg. Alle Physiotherapeuten, die alle den gesamten Körper/Haltung untersucht haben, sagten das es eine leichte Skoliose ist! Doch Neurochirurgen und Orthopäden haben das nie gesehen, oder wollten es nicht.
Es ist für mich aber auch sehr schwer mal einem Arzt gegenüber grossartig etwas zu sagen. Es gilt eh nur Ihre Meinung und die steht. Das war immer mein Gefühl!

Ich hatte mich 2014 also mit Diclofenac abgefunden. Aber nur weil mir die Ärzte auf den Zeiger gingen und ich mich nicht verstanden und ernst gemommen gefühlt habe. Ich gab also auf und arbeitete bis jetzt weiter mit dem Wissen das mein Job das alles nur verschlimmert.
Jetzt bin ich wieder an dem Punkt, an dem meine Kraft nicht mehr reicht die Schmerzen zu überstehen. Weder kann ich lange sitzen, mich beugen, oder lange meine zwei Kinder tragen...was das schlimmste für mich ist.
Habe jetzt wieder ein aktuelles MRT, auf dem für mich sofort ersichtlich ist das ein (fast/bald) Bandscheibenvorfall ist und auch das die Wirbelsäule nach rechts läuft. Aber wirklich sieht man das nicht, da nur der LWS Bereicht untersucht wurde. Das Ergebnis steht noch aus und wird zum. 9.2.17 Erwartet und geht an das MVZ Wirbelsäule nach Berlin Hellersdorf.

Meine Fragen...
bin ich da überhaupt richtig? Ich möchte auf gar keinen Fall eine OP...nicht ohne vorher alles andere versucht zu haben....aber da bleibt nicht mehr sehr viel.
Ich bin auch mitlerweile an dem Punkt, wo ich sage...ich würde zu gerne ein Korsett tragen um die ständigen Schmerzen zu lindern, oder gar los zu werden.
Ich habe grossartig nicht viel zu verlieren. Aber auch das anzusprechen fällt mir sehr schwer.
Ich weiß nicht wie ich mich der Neurochirurgin zum Termin am 16.2 verhalten soll, da ich einfach wieder davon ausgehe das endet wie es immer geendet ist.
Ich glaube das die vermutete Skoliose der Hauptgrund ist. Niemand sieht aber die Zusammenhänge, oder hat gar mal ein Röntgen der gesamten Wirbelsäule veranlasst.
Aber ich bin kein Arzt und was ich sage, oder erzähle interessiert niemanden :(

Kann mir jemand einen Kompetenten Orthopäden in Berlin empfehlen der darauf vielleicht spezialisiert ist?

Sorry das es sooo viel geworden ist.
Benutzeravatar
Klaus
Moderator/in
Moderator/in
Beiträge: 15237
Registriert: Mi, 23.06.2004 - 18:36
Geschlecht: männlich
Wohnort: Hannover

Re: Skoliose? Blinde Ärzte und verschenkte Jahre? Hilfe

Beitrag von Klaus »

Hallo neXus,
Habe mich heute mal Registriert, nachdem ich schon recht viel im Forum gelesen und gestöbert habe.......Kann mir jemand einen Kompetenten Orthopäden in Berlin empfehlen der darauf vielleicht spezialisiert ist?
Kann ich kaum glauben, dass Du die Möglichkeit mit Dr. Wilke nicht kennst. Ich wüsste auch gar nicht, wie man das für Leser noch weiter hervorheben könnte. ;)
Auf jeden Fall gibt es neben den zahlreichen Berichten/Diskussionen zu Dr. Wilke auch eine Liste mit Spezialisten, in der auch Dr. Wilke mit Details aufgeführt ist.
viewtopic.php?f=25&t=6472
Leider tauchen immer wieder Irritationen auf, weil Usern dort angeblich gesagt wird, das Dr. Wilke nur Kinder und Jugendliche behandelt. Man sollte als Erwachsener wirklich nur die Praxis in Köpenick 030/64328030 Di und Do zwischen 14-18 Uhr anrufen. (Habe das nachträglich aufgrund vom Tammis Aussage geändert - Gruß Klaus)

Grundsätzlich braucht man ein Röntgenbild der gesamten Wirbelsäule von vorn und von der Seite. Bei einem Mann mit Skoliose muss immer auch einen möglichen zusätzlichen Rundrücken/Hohlkreuz gedacht werden. So eine Aufnahme bekommst Du aber bei Dr. Wilke, auch wenn das mit ein bischen Lauferei verbunden ist.

Gruß
Klaus
neXus
Newbie
Newbie
Beiträge: 17
Registriert: Fr, 03.02.2017 - 09:10
Geschlecht: männlich
Diagnose: Bandscheiben Vorfall L5/S1. Noch nicht genau definierte Skoliose und O Beine
Therapie: Konservative Therapien, Bandscheiben OP 4/17, Schuheinlagen.
Wohnort: Berlin

Re: Skoliose? Blinde Ärzte und verschenkte Jahre? Hilfe

Beitrag von neXus »

Vielen Dank für die schnelle Antwort.

Es gibt hier einfach zu viele Berichte und Unterforen das man am Ende nur noch überfliegt und ich es einfach übersehen habe, sorry ;)

Sehe ja gerade das der Herr Dr. Roth auch mit da drin sitzt....muss wohl verzogen sein :D

Dann werde ich das nächsten Dienstag mal machen.
Ist es schlimm parallel trotzdem zum Termin der Neurochirurgin zu gehen?
Benutzeravatar
Tammi
Profi
Profi
Beiträge: 1336
Registriert: Fr, 01.02.2008 - 16:57
Geschlecht: weiblich
Diagnose: juvenile idiopathische Skoliose
01/08: lumbal 34°, thorakal 17°
02/15: lumbal 32° mit 12° Rotation, thorakal 28°
01/17: lumbal 32° mit 6-7° Rotation, thorakal 28°
11/18: Rotation lumbal 5°
Therapie: Korsett 2/08-5/16:
2/08-2/15 Rahmouni
03/15-5/16 CCtec
KG
8 Schroth-Rehas (Bad Salzungen)
Barfußschuhe
Wohnort: Südthüringen

Re: Skoliose? Blinde Ärzte und verschenkte Jahre? Hilfe

Beitrag von Tammi »

Hallo neXus,

natürlich kannst du parallel auch den Termin beim Neurchirurgen wahrnehmen.
Als ich im Dezember das letzte Mal bei Dr. Wilke angerufen habe, hieß es zu den Zeiten wo man einen Termin ausmachen kann, zwischen 14-18 Uhr, Wochentage unverändert.

Liebe Grüße
Tammi
"Auch aus Steinen, die einem in den Weg gelegt werden, kann man Schönes bauen." - Johann Wolfgang von Goethe

Verlauf: viewtopic.php?f=27&t=31324
Rehatagebuch 2015: http://skoliose-info-forum.de/viewtopic.php?f=9&t=30726
Lady S
Profi
Profi
Beiträge: 1590
Registriert: Mo, 10.06.2002 - 00:00
Geschlecht: weiblich
Diagnose: idiopathische Adoleszenzskoliose
2013: lumbal 64°, thorakal 56°, inzwischen vermutlich deutlich mehr.
Therapie: Seit 2003 Schroth-KG, 3 Rehas in Bad Salzungen.
Wohnort: Nähe Stuttgart

Re: Skoliose? Blinde Ärzte und verschenkte Jahre? Hilfe

Beitrag von Lady S »

neXus hat geschrieben: Ich habe seit 2013 massive Schmerzen in der LWS und wurzelreizsyndrom, die sich im rechten Bein und Po bemerkbar machen mit starken brennen und stechen.
...
Habe jetzt wieder ein aktuelles MRT, auf dem für mich sofort ersichtlich ist das ein (fast/bald) Bandscheibenvorfall ist und auch das die Wirbelsäule nach rechts läuft. Aber wirklich sieht man das nicht, da nur der LWS Bereicht untersucht wurde.
...
Ich möchte auf gar keinen Fall eine OP...nicht ohne vorher alles andere versucht zu haben....aber da bleibt nicht mehr sehr viel.
Wenn in Deinem Fall von OP geredet wird, handelt es sich sicherlich nicht um eine Skoliose-OP (Versteifung), sondern um eine Bandscheiben-OP. Warum käme das denn für Dich nicht in Frage? Schliesslich schleppst Du das Problem jetzt im 4. Jahr herum und auf Dauer Diclophenac o.ä. schlucken ist ja auch nicht unbedingt gesund.

Wenn Du eine Skoliose vermutest, ist es sicherlich richtig, das mal kompetent abklären zu lassen. Es kann aber auch sein, dass das sozusagen ein Nebenbefund ist und für Deine Schmerzen gar nicht von Belang.
Grüsse, Lady S
Bernd
treues Mitglied
treues Mitglied
Beiträge: 276
Registriert: Fr, 27.02.2004 - 18:08
Geschlecht: männlich
Wohnort: Stuttgart

Re: Skoliose? Blinde Ärzte und verschenkte Jahre? Hilfe

Beitrag von Bernd »

Wie ich seit heute weiss sind 2 Bandscheiben bei mir vorgewölbt inkl begleitender Osteochondrose. Ich bin mir recht sicher, meine Lendenstrecksteife inkl. recht massiver Muskelschmerzen kommt von diesen 2 Vorwölbungen. Immerhin, etwas weniger sind die Schmerzen geworden seit dem ich wieder intensiver (Schroth-)KG mache aber weg sind sie deswegen noch lange nicht. Eine Bandscheibenvorwölbung kann man wie einen Bandscheibenvorfall auch minimalinvasiv behandeln. Ich habe dazu demnächst einen Termin bei Dr. Schneiderhan in Taufkirchen bei München. Vielleicht wären solche minimalinvasiven Methoden auch was für Dich, Deinen Schmerzen scheinen ähnlich wie bei mir auch KG-resistent zu sein. Kannst ja Deine Neurochirurgin mal darauf ansprechen. Das Du Deine Skoliose mit spezifischer Gymnastik angehen willst ist sicher richtig. Eine Bandscheibenprotrusion wird zunächst so behandelt. Kann aber gut passieren, dass die Schmerzen wie bei mir (Schroth-)KG-resistent sind da kein muskuläres sondern ein Bandscheibenproblem dahintersteckt. Du hast also 2 Optionen: Problem (minimalinvasiv) verringern/beheben und Schroth-KG
neXus
Newbie
Newbie
Beiträge: 17
Registriert: Fr, 03.02.2017 - 09:10
Geschlecht: männlich
Diagnose: Bandscheiben Vorfall L5/S1. Noch nicht genau definierte Skoliose und O Beine
Therapie: Konservative Therapien, Bandscheiben OP 4/17, Schuheinlagen.
Wohnort: Berlin

Re: Skoliose? Blinde Ärzte und verschenkte Jahre? Hilfe

Beitrag von neXus »

Also die Schmerzen kommen definitiv von der Bandscheibenverwölbung bei L5-S1 und auch die zwei drüber fangen schon an und das merke ich auch. Auch ohne Arzt zu sein erkenne ich das auf den MRT Bildern.
Ich bin nur immer davon ausgegangen das der Hauptgrund die Arbeit und das ständige Tragen von schweren (bis 70KG) Paketen kommt.
Als die Therapeuten immer meinten...Skoliose...erschien und erscheint mir das aber immer plausibler und würde die starke schieflage der Schultern, die unterschiedlich ausgeprägten Brusthälften und auch das Becken erklären und im Gesamtbild das eigentliche Problem der Bandscheiben erklären.
Im Laufe der Jahre habe ich auch schon alles gemacht, aber ohne dabei Erfolg zu haben.
Auf der anderen Seite bin ich berufstätig, habe zwei kleine Kinder die ihren Vater brauchen und auch meine Berufstätige Frau braucht meine Unterstützung. Zeit für grosse lange Übungen fehlt fast immer und auch das Geld ist immer knapp, was für mich auch rein finanziell eine Physio nicht ständig möglich macht und auch die Tabletten schenk uns niemand.
Mir wurde auch noch nie eine Bandscheiben-OP angeboten, oder in Betracht gezogen. Aber selbst wenn....würde es doch an der wahrscheinlichen Ursache nichts ändern...jedenfalls nicht sehr lange.
Aber das alles sind Sachen die mich sehr Unsicher machen und mir keine Ruhe lassen. Und ich frage mich immer ob beim nächsten Mal ein vernünftige Lösung vorgeschlagen wird.
Generell bin ich gegen Op´s. Das wäre das letzte Mittel...egal wegen was. Ich für mich sehe in einem Korsett grosses Potenzial damit eine OP zu umgehen, den Bandscheiben wieder Luft zu lassen, mehr Zeit zu haben sich nach einem anderen Job umzusehen und meine Körperhaltung endlich wieder in die richtigen Bahnen lenkt und das von jetzt auf gleich. Ein Kur, oder grosse KH Aufenthalte kommen nicht in Frage. Meine Frau würde das sehr begrüßen...aber wir sind nur Laien und haben keine Ahnung ;)

Die mir gezeigte eigentlich natürlich Haltung des Menschens empfand ich schon als extrem ungewohnt und wenig natürlich, bzw. aus eigener Kraft nicht herzustellen. Alleine die Tatsache finde ich schon sehr traurig in meinem Alter ;(
Zuletzt geändert von neXus am Fr, 03.02.2017 - 16:06, insgesamt 1-mal geändert.
Bernd
treues Mitglied
treues Mitglied
Beiträge: 276
Registriert: Fr, 27.02.2004 - 18:08
Geschlecht: männlich
Wohnort: Stuttgart

Re: Skoliose? Blinde Ärzte und verschenkte Jahre? Hilfe

Beitrag von Bernd »

Das Wichtigste bei unserer Krankheit ist, sich selber Knowhow anzueignen.Die Ärzte haben nur wenige Minuten für einen und da kommt halt oft keine gute Behandlungsstrategie dabei raus. Sehr viel meiner Behandlung habe ich meinen Ärzten vorgeschlagen. Mach es genauso und sprich Deine Neurochirurgin auf minimalinvasive Methoden an. Irgendwie musst Du aus den 4 Jahren Schmerzen raus. Wenn Korsett dann würde ich Dir zu einem Kubco raten. Ist viel komfortabler zu tragen wie ein Rahmouni.
neXus
Newbie
Newbie
Beiträge: 17
Registriert: Fr, 03.02.2017 - 09:10
Geschlecht: männlich
Diagnose: Bandscheiben Vorfall L5/S1. Noch nicht genau definierte Skoliose und O Beine
Therapie: Konservative Therapien, Bandscheiben OP 4/17, Schuheinlagen.
Wohnort: Berlin

Re: Skoliose? Blinde Ärzte und verschenkte Jahre? Hilfe

Beitrag von neXus »

Ich bin dabei mir das einzueignen, stehe aber noch ganz am Anfang :P

Ja Danke, das werde ich machen. Aber ich denke das eine Neurochirurgin sowieso nichts mit Korsetts, oder ähnlichen am Hut haben wird und deswegen fragte ich auch wegen einem neuen Orthopäden.
Wegen der minimalinvasive Methoden werde ich mich mal schlau machen, hört sich aber auch nur so an als würde es die Symptome beenden und nicht die Ursache.
Aber mal sehen. Muss sowieso erstmal bis zum 16.2 noch abwarten und wer wiess wann ich bei dem Dr. Wilke einen Termin bekomme. Aber wenigstens ist es nicht sehr weit :D
Bernd
treues Mitglied
treues Mitglied
Beiträge: 276
Registriert: Fr, 27.02.2004 - 18:08
Geschlecht: männlich
Wohnort: Stuttgart

Re: Skoliose? Blinde Ärzte und verschenkte Jahre? Hilfe

Beitrag von Bernd »

Teilweise gehen die minimalinvasiven Methoden auch an die Ursachen. Wenn mit der Lasertherapie Bandscheibenmaterial so viel Material verdampft wird, das nichts mehr auf den Nerv drückt dann ist das aus meiner Sicht schon eine Behandlung der Ursache. Viel Erfolg beim Erarbeiten von eigenem KnowHow. Ich habe die Erfahrung gemacht dass ein Artztermin um so mehr bringt, je mehr man mit genauen Vorstellungen, von dem was man will oder nicht will hingeht. "Blinde Ärzte" hatte ich übrigends auch. Die Vorwölbungen sollen schon auf dem ersten LWS-MRT zu sehen gewesen sein, was im August 2016 erstellt wurde. Im Befundbericht stand aber nichts davon. Noch schlimmer finde ich, dass mir in dem Krankenhaus, in dem das 2. MRT gemacht wurde, mir niemand was gesagt hat, dass ich breitbasige Bandscheibenvorwölbungen habe. Fazit: meine Ärzte waren eine Kombination aus blind, taub und stumm. Weiterhin kenne ich einen Kollegen, der an seinem Bandscheibenvorfall eine große OP gehabt hat. Er arbeitet immer noch. Eine Bandscheiben-OP ist hart aber kein Todesurteil und immer noch deutlich weniger gefährlich als eine Skoliose-OP.
neXus
Newbie
Newbie
Beiträge: 17
Registriert: Fr, 03.02.2017 - 09:10
Geschlecht: männlich
Diagnose: Bandscheiben Vorfall L5/S1. Noch nicht genau definierte Skoliose und O Beine
Therapie: Konservative Therapien, Bandscheiben OP 4/17, Schuheinlagen.
Wohnort: Berlin

Re: Skoliose? Blinde Ärzte und verschenkte Jahre? Hilfe

Beitrag von neXus »

Hallo Bernd.

An die Ursache des Schmerzes geht es, da gebe ich dir recht. Ich meinte aber eher die Ursache warum die Bandscheiben so aussieht wie sie aussieht und auf den Nervenstrang so drückt. Natürlich ist es im Moment das wichtigste die Schmerzen los zu werden. Aber mit der minimalinvasiven Methode würde ich die fehlstellung meines Körpers nicht korrigieren, bzw. halten und am Ende würde ich dann wieder hier sitzen und wegen schmerzen jammern und hätte wohl nicht sehr viel gewonnen ausser das ich älter geworden bin und Zeit verschenkt habe. Also ich versuche auch schon etwas weiter zu denken ;) vielleicht stelle ich mir das auch nur alles leichter vor als es ist, aber rede mir zumindest ein mit einem Korsett mehrere Fliegen mit einmal zu schlagen ohne op oder chirurgischen Eingriff. Die da wären Entlastung der LWS und Bandscheiben und damit Besserung der Schmerzen, korrigieren oder zumindest halten der Fehlhaltungen/Fehlstellung und das ohne gross im KH zu liegen, krank geschrieben zu sein, meine Familie im Stich zu lassen, oder lange auf Resultate zu warten.

Ich kann mir schon denken das es nicht nur mir so geht mit den Ärzten :)
Um so mehr bin ich auf das jetzige Ergebnis gespannt. Werde mir aber diesmal aber Mühe geben meine persönlichen Vorstellungen einer Behandlung klar zu machen und wenns möglich ist darauf zu bestehen. Um so mehr freue ich mich von erfahrenen Usern hier feedback zu bekommen!
Lady S
Profi
Profi
Beiträge: 1590
Registriert: Mo, 10.06.2002 - 00:00
Geschlecht: weiblich
Diagnose: idiopathische Adoleszenzskoliose
2013: lumbal 64°, thorakal 56°, inzwischen vermutlich deutlich mehr.
Therapie: Seit 2003 Schroth-KG, 3 Rehas in Bad Salzungen.
Wohnort: Nähe Stuttgart

Re: Skoliose? Blinde Ärzte und verschenkte Jahre? Hilfe

Beitrag von Lady S »

neXus hat geschrieben:vielleicht stelle ich mir das auch nur alles leichter vor als es ist, aber rede mir zumindest ein mit einem Korsett mehrere Fliegen mit einmal zu schlagen ohne op oder chirurgischen Eingriff.
Ja, Du stellst es Dir leichter vor, als es ist :D
Bis jetzt ist ja noch nicht einmal klar, ob Du überhaupt eine Skoliose hast, wenn ja, wie stark sie ist und ob sie irgendetwas mit den Bandscheibenvorwölbungen zu tun hat. Das muss keineswegs so sein.
Ich habe eine recht starke Skoliose und meine Bandscheiben sind alle da, wo sie hingehören.
Wenn hier davon die Rede ist, dass ein (Erwachsenen-)Korsett die Schmerzen lindert oder wegnimmt, dann spricht man gewöhnlich von Muskelschmerzenund nicht von Nervenschmerzen.
Also versteif Dich mal nicht so auf ein Korsett und warte ab, was der Spezialist dazu sagt.

Grüsse, Lady S
neXus
Newbie
Newbie
Beiträge: 17
Registriert: Fr, 03.02.2017 - 09:10
Geschlecht: männlich
Diagnose: Bandscheiben Vorfall L5/S1. Noch nicht genau definierte Skoliose und O Beine
Therapie: Konservative Therapien, Bandscheiben OP 4/17, Schuheinlagen.
Wohnort: Berlin

Re: Skoliose? Blinde Ärzte und verschenkte Jahre? Hilfe

Beitrag von neXus »

Huhu Lady S

siehst du....Deswegen bin ich hier ;)
Am Ende ist alles spekulativ und ohne sicheren Befund nichts spruchreif oder entschieden.
Ich hatte in den letzten 3 1/2 Jahren aber zu viel Zeit mir darüber Gedanken zu machen.
Und sicherlich trägt meine Arbeit einen großes Stück zu den Beschwerden bei...ohne Frage.
Im Moment scheint die Zeit nicht zu vergehen und ich hänge zwischen den Seilen.
Und selbstverständlich kann ich mir etwas besseres vorstellen als ein Korsett zu tragen um an ein abnehmbares Ziel zu gelangen. Aus mir spricht eher Verzweiflung und Ratlosigkeit. Ich sage es anders....Wenn ich die Wahl habe zwischen Op und Korsett müsste ich nicht lange überlegen ;) wenn es andere, bessere Lösungen gibt, wäre ich darüber sehr erfreut.
Benutzeravatar
Klaus
Moderator/in
Moderator/in
Beiträge: 15237
Registriert: Mi, 23.06.2004 - 18:36
Geschlecht: männlich
Wohnort: Hannover

Re: Skoliose? Blinde Ärzte und verschenkte Jahre? Hilfe

Beitrag von Klaus »

Hallo neXus,
Am Ende ist alles spekulativ und ohne sicheren Befund nichts spruchreif oder entschieden.
Ich denke, das betrifft auch diese aktuelle Diskussion hier.
Ein wichtiger Baustein bei Deiner möglicherweise komplexen Situation ist erst einmal die kompetente Abklärung Deiner fehlgestellten Wirbelsäule. Ich sage das extra so allgemein, weil, wie schon gesagt, auch ein Rundrücken/Hohlkreuz dazu kommen könnte. Oder ist das ausgeschlossen??

Zum Korsett:
Normalerweise geht es bei der Diskussion mit Newbies zu diesem Thema darum, dass man bei weiten Wegen zu einem Spezialisten möglichst schon vorher viel darüber weiß und dann im Fall des Falles gleich zum Korsettbauer geht, um sich einen Weg zu sparen. Oder man fragt den Arzt bereits gezielt nach weiteren Details.
Du hast aber den Luxus, einen sehr kurzen Weg zu haben und solche Korsett-Entscheidung (falls sie denn eine Rolle spielen sollte) kannst Dir hinterher ganz in Ruhe überlegen.
Ich sage es anders....Wenn ich die Wahl habe zwischen Op und Korsett müsste ich nicht lange überlegen ;) wenn es andere, bessere Lösungen gibt, wäre ich darüber sehr erfreut.
Du solltest wissen, dass Behandlungsvorschläge immer nur aufgrund einer Einschätzung über den möglichen Erfolg gemacht werden. Diese Einschätzung basiert auf einer langjährigen praktischen Erfahrung mit vielen unterschiedlichen Patienten. Da aber die individuellen Situationen noch wesentlich vielfältiger sein können, ist der tatsächliche Erfolg auch nur durch das konsequente Ausprobieren zu ermitteln.
Insofern müsste man bei entsprechender Wahlmöglichkeit und der aktuell ablehnenden Haltung gegenüber einem Korsett zunächst Schroth KG in einer Schroth REHA (3-4 Wochen) ausprobieren und gucken, wie weit man damit kommt. Das machen hier viele, obwohl es so aussieht, als ob die meisten Erwachsenen ein Korsett tragen würden. Die Diskussionen dazu sind nur intensiver, weil es insbesondere um dringend notwendige Schmerzbekämpfung geht.
Bernd hat geschrieben:Wenn Korsett dann würde ich Dir zu einem Kubco raten. Ist viel komfortabler zu tragen wie ein Rahmouni.
Sorry, hier werden Äpfel mit Birnen verglichen.
Die Wirkungsweise dieser Korsette ist grundsätzlich unterschiedlich und man kann das nicht einfach jemanden raten, bei dem es noch eine konkrete Diagnose gibt!

Gruß
Klaus
neXus
Newbie
Newbie
Beiträge: 17
Registriert: Fr, 03.02.2017 - 09:10
Geschlecht: männlich
Diagnose: Bandscheiben Vorfall L5/S1. Noch nicht genau definierte Skoliose und O Beine
Therapie: Konservative Therapien, Bandscheiben OP 4/17, Schuheinlagen.
Wohnort: Berlin

Re: Skoliose? Blinde Ärzte und verschenkte Jahre? Hilfe

Beitrag von neXus »

Hi Klaus und alle anderen,

eigentlich hätte das schon 2013 alles erledigt sein können bzw. eine vernünftige Diagnose gestellt, aber gut.
am 9.2 bekomme ich erstmal das Ergebnis vom MRT, da es sonst bei Hausärztin landen würde. Von Ihr kam die Überweisung, nicht der Neurochirurgie :rolleyes:
Wenn es Interesse gibt werde ich davon Berichten, werde aber sicher kaum etwas von dem Fachchinesich verstehen und würde um Übersetzung bitten :)
Dann werde ich zum Termin am 16.2 überhaupt mal sehen ob das MRT reicht, oder noch Röntgenbilder hinzugezogen werden. Ich gehe nämlich nicht davon aus das ich bis zu diesem Tag einen Termin bei dem Dr. Wilke bekomme. MRT Bilder sind alle im liegen und sagen im seitlichen Profil leider auch nichts aus...aber wem sage ich das :ja:

Also Rundrücken...nein. Hohlkreuz doch schon deutlicher.

Was den "Luxus" angeht Klaus. Auch in Berlin können die Wege verdammt weit sein, aber ich weiß was du meinst und ja da hast du Recht :P
Aber auch hier sind Termine extrem schwer zu bekommen und Monate im voraus ausgebucht. Als ich 2013 einen Termin für ein MRT wollte musste ich überall 3 Wochen warten und das ist schon sehr traurig. Aber was Sanitätshäuser und die generelle ärztliche Versorgung angeht ist Berlin natürlich ein Schlaraffenland, aber Berlin und Umland sind auch ein paar Leute ;)

Über Korsetts, Orthesen und oder OP´s mache ich mir ja auch nur Gedanken, da nichts anderen Funktionieren wollte. Schrieb ich ja auch alles schon. Die Frage ist natürlich wie es mit den Möglichkeiten aussieht WENN eine Skoliose festgestellt wird. Ich denke das die Orthopäden darauf einfach nie geachtet haben, da ich als Kind auch nie in Behandlung gewesen bin und es für die Ärzte dann schon fast ausgeschlossen ist. Aber ich bilde mich ja jetzt weiter und werdé das auch direkt ansprechen um es zu bestätigen, oder halt auch nicht.
Das machen hier viele, obwohl es so aussieht, als ob die meisten Erwachsenen ein Korsett tragen würden. Die Diskussionen dazu sind nur intensiver, weil es insbesondere um dringend notwendige Schmerzbekämpfung geht.
Ich denke das es einen sehr sehr großen Unterschied macht ob man sich von selbst für ein Korsett entscheidet....in dem Fall wegen akuten Schmerzen und unlängst auch kibbeln im Bein beim stehen...
oder ob wann als Kind oder Jugendlicher mehr oder weniger dazu gezwungen wird....besonders wenn noch keine negativen Auswirkungen einer Skoliose eingetreten sind.
Insofern müsste man bei entsprechender Wahlmöglichkeit und der aktuell ablehnenden Haltung gegenüber einem Korsett zunächst Schroth KG in einer Schroth REHA (3-4 Wochen) ausprobieren und gucken, wie weit man damit kommt. Das machen hier viele, obwohl es so aussieht, als ob die meisten Erwachsenen ein Korsett tragen würden. Die Diskussionen dazu sind nur intensiver, weil es insbesondere um dringend notwendige Schmerzbekämpfung geht.
...keine Ablehnende Haltung :nein: Aber...und das sage ich als Familienmensch und Vater..ich denke nicht das ein Reha für mich in Frage kommt, einfach aus persönlichen Gründen und auch Beruflich wäre es nicht förderlich. Zumal mein Arbeitgeber davon nichts weiß. Wenn es so wäre ist die Frage, ob ich so überhaupt noch eingesetzt werden kann, oder nicht sogar ein Kündigungsgrund wäre. Da bin ich sehr vorsichtig.

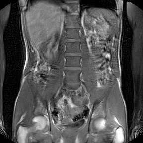
Hab mal 2 Bilder ausgesucht....einmal die Bandscheibe L5/S1. Da sieht man schon das der Kern beschädigt und nicht mehr intakt ist und das Gewebe Richtung Spinalkanal austritt. In dem Bild geht es noch. In anderen Aufnahmen ist es noch deutlicher zu sehen. Ich finde aber auch dass das alles etwas täuscht im liegenden und entspannten Zustand. Und dann das Becken bzw. an den Gelenken finde ich sieht man ganz gut den Unterschied.

Wenn ich so manche MRT Bilder im Netz sehe von betroffenen, sieht es rein optisch eigentlich gar nicht so schlecht aus. Um so unverständlicher das es so extrem schmerzt. Aber ein für mich erklärbaren Grund warum ich irgendwie nie für voll genommen wurde...was aber am Ergebnis nichts ändert!


Vielen Dank für alle Kommentare, Infos und Hilfen.
Sauge alles auf und hoffe auf noch mehr Input ;D
Dateianhänge
H071D9FB00.jpg
H071D9FB00.jpg (20.41 KiB) 26163 mal betrachtet
H071DA0A00.jpg
H071DA0A00.jpg (46.7 KiB) 26163 mal betrachtet
Bernd
treues Mitglied
treues Mitglied
Beiträge: 276
Registriert: Fr, 27.02.2004 - 18:08
Geschlecht: männlich
Wohnort: Stuttgart

Re: Skoliose? Blinde Ärzte und verschenkte Jahre? Hilfe

Beitrag von Bernd »

Zumindestens in der LWS sehe ich bei Dir höchstens eine minimale Skoliose, die wahrscheinlich nicht behandlungsbedürftig ist. Definitiv kann Dir das nur ein auf Skoliose spezialisierter Arzt sagen. Bei Dir geht es bestimmt nicht um eine Skoliose-OP sondern "nur" um die durch den LWS Verschleiss hervorgerufene Probleme. Ein Skoliose-Korsett wirst Du bestimmt nicht brauchen. Wenn Korsett dann wird das ein reines Stützkorsett und das ist viel besser zu tragen. An Deiner Stelle würde ich bei den Ärzten eine minimalinvasive Therapie durchsetzen mit PRT-Spritzen an die schmerzenden Wirbel als Anfang.
neXus
Newbie
Newbie
Beiträge: 17
Registriert: Fr, 03.02.2017 - 09:10
Geschlecht: männlich
Diagnose: Bandscheiben Vorfall L5/S1. Noch nicht genau definierte Skoliose und O Beine
Therapie: Konservative Therapien, Bandscheiben OP 4/17, Schuheinlagen.
Wohnort: Berlin

Re: Skoliose? Blinde Ärzte und verschenkte Jahre? Hilfe

Beitrag von neXus »

Guten morgen Bernd,

Danke für deine Einschätzung.
Ich habe mich da wohl nie richtig ausgedrückt....Mein Fehler sorry. Ich meinte nie eine Skoliose Op oder Korsett. Dafür ist sie wenn wirklich zu gering, ja.
Aber keiner....mich eingeschlossen, weiß wie es Richtung HWS weiter aussieht da in dem Bereich noch nie geschaut wurde. Und irgendwie muss ja auch der ungleiche Brustkorb und Schultern erklärbar sein denke ich.
Und ich denke auch weniger an korrektur als mehr an stützen, helfen und lindern.
Ich hatte mal vor 2 Jahren die Gelegenheit in einem Sanitätshaus (keine Ahnung mehr warum) eine Orthese probieren zu können. Und obwohl nichts angepasst war und auch nur ein paar Minuten tragezeit empfand ich das als extrem angenehm, lindernd und wäre am liebsten so nach hause gegangen :D
Aber ohne Rezept geht natürlich nichts, oder ist nicht bezahlbar. Von allem frei verkäuflichen Hilfsmitteln halte ich mich fern.
Die Spritzen....4 oder 5 in 1 1/2 Wochen Abständen gab es 2014 schon, ohne das ich eine Besserung bemerkte.
Das sagte ich auch damals dem Arzt der etwas verwundert schien. Die spritzen kosten wohl auch richtig Geld der KK.
Danach gab es keine konstruktiven Vorschläge mehr, ich machte noch ein paar mal Physio und ging dann nicht mehr zu dem Neurochirurgen, da ich nicht das Gefühl hatte dort irgendwas zu gewinnen.

Liebe Grüße aus Berlin
Bernd
treues Mitglied
treues Mitglied
Beiträge: 276
Registriert: Fr, 27.02.2004 - 18:08
Geschlecht: männlich
Wohnort: Stuttgart

Re: Skoliose? Blinde Ärzte und verschenkte Jahre? Hilfe

Beitrag von Bernd »

Von der BWS gibt es nichts, noch nicht mal ein Röntgenbild ? Dann wäre das für Dich sicher der nächste Schritt. Wenn Dir ein Korsett "von der Stange" so guttut dann wirst Du sicher mit einem Kubin-Korsett gut zurrecht kommen. Das ist von der Tragbarkeit her in etwa mit den Fertigteilen vergleichbar.
neXus
Newbie
Newbie
Beiträge: 17
Registriert: Fr, 03.02.2017 - 09:10
Geschlecht: männlich
Diagnose: Bandscheiben Vorfall L5/S1. Noch nicht genau definierte Skoliose und O Beine
Therapie: Konservative Therapien, Bandscheiben OP 4/17, Schuheinlagen.
Wohnort: Berlin

Re: Skoliose? Blinde Ärzte und verschenkte Jahre? Hilfe

Beitrag von neXus »

Leider nein. So "hoch" hat noch niemand gedacht. Sicher auch mein Fehler da man ja anscheinend dem Arzt sagen muss was er tun soll ;)
Ich habe damals ein wenig fragend die mögliche Therapie einer Orthese, oder stützkorsett angefragt und sofort ein Dämpfer erhalten. Nach dem Motto wie ich auf solch eine Idee käme. Muskelabbau und sinnlos. Das waren immer die Antworten. Vielleicht kann man verstehen warum ich keine Lust mehr auf den ganzen Mist hatte.
Also an meiner Bereitschaft dazu würde es nicht liegen. Eher einen entsprechenden Arzt zu finden und dann natürlich die KK auch dazu zu bringen die Kosten zu übernehmen.

Ich habe mir das Kubin mal angesehen und finde es sehr interessant und gut das noch ein grossteil der Bewegungen möglicrh ist. Kann mir gut vorstellen das es entsprechend helfen kann. Aber selbst wenn, ist es bis dahin noch ein weiter Weg und einiges zu klären.
Etwas "von der Stange"....Würde glaube nichts bringen. Das habe ich an der Bandage von 2013 gemerkt. Habe ja leider nur Haut und Knochen und es drückt extrem auf die Hüftknochen und rutsch durch meine schlanke Taille immer viel zu hoch. Ich erwarte von dem Neurotermin wenn ich ehrlich bin auch nicht sehr viel, aber vielleicht werde ich auch überrascht. Meine Größere Hoffnung lege ich in einen Termin bei Dr. Wilke.
Benutzeravatar
Klaus
Moderator/in
Moderator/in
Beiträge: 15237
Registriert: Mi, 23.06.2004 - 18:36
Geschlecht: männlich
Wohnort: Hannover

Re: Skoliose? Blinde Ärzte und verschenkte Jahre? Hilfe

Beitrag von Klaus »

Hallo NeXus,
Meine Größere Hoffnung lege ich in einen Termin bei Dr. Wilke.
Das solltest Du unbedingt tun, um endlich Klarheit bezüglich Fehlstellungen zu haben.
Ich wundere mich ein bischen, warum Du so zögerlich bei der Terminierung bist.
Ich habe mir das Kubin mal angesehen und finde es sehr interessant und gut das noch ein grossteil der Bewegungen möglicrh ist. Kann mir gut vorstellen das es entsprechend helfen kann.
Noch einmal, es gibt ganz unterschiedliche Wirkungsweisen bei den Korsetten und deshalb muss der Arzt entscheiden, welche Art von Korsett in Frage kommen könnte, sofern das die Diagnose hergibt. Es ist nicht unbedingt ein "Wunschkonzert".
Ich habe damals ein wenig fragend die mögliche Therapie einer Orthese, oder stützkorsett angefragt und sofort ein Dämpfer erhalten. Nach dem Motto wie ich auf solch eine Idee käme. Muskelabbau und sinnlos. Das waren immer die Antworten. Vielleicht kann man verstehen warum ich keine Lust mehr auf den ganzen Mist hatte.
Deshalb macht es schon Sinn, sich mal näher mit den Begriffen zu beschäftigen, weil die Bezeichnung "Orthese" leider viel zu allgemein ist. Auch wenn das hier erst einmal nur eine rein theoretische Diskussion ist!
Das Stützkorsett ist eine ganz passive Maßnahme, hier geht es tatsächlich um Muskelabbau, wenn man die ständig trägt.
Ein korrigierendes Korsett versucht wieder die Situation zu erreichen, bei der es noch keine/wenig Schmerzen gab. Dabei gibt es Ausgleichsbewegungen im Korsett, die muskelauf- bzw. -umbauend wirkt.
Die Kubin Orthese wirkt durch die Streckung (Extension) als reines Schmerzkorsett, ohne die grundsätzliche Situation zu verändern.
Aber...und das sage ich als Familienmensch und Vater..ich denke nicht das ein Reha für mich in Frage kommt, einfach aus persönlichen Gründen und auch Beruflich wäre es nicht förderlich
Selbst wenn ein Korsett in Frage kommen würde, sollte man immer auch in Kombination die gezielte Muskelpflege (z. Bsp. Schroth) zur Stabilisation anstreben! Sonst bringt das auf Dauer nichts.
Wenn Du eine REHA durch ambulante Therapie ersetzen möchtest, wird es sehr schwierig. Du müsstest:
1. eine sehr gute Therapeut/in haben
2. sicherlich viel private Mittel einsetzen --> für Intensiv-Therapie (Grundlage sind ca. 60 Stunden Schroth in der Gruppe + zusätzliche Therapien und Übungen während 3 Wochen)
3. eine Selbsthilfegruppe haben, in der sehr viel über praktische Erfahrungen mit der Schroth REHA gesprochen und diskutiert wird

Gruß
Klaus
Antworten