Könnt ihr ca den Kyhosen Grad sagen
- HolzkreuzFrank
- aktives Mitglied

- Beiträge: 145
- Registriert: Sa, 03.09.2016 - 10:43
- Geschlecht: männlich
- Diagnose: Kyphose 68 Grad und im Korsett 41 Grad
- Therapie: Rahmouni Korsett seid dem 3.11.2016
- Wohnort: Essen
Re: Könnt ihr ca den Kyhosen Grad sagen
Habe jetzt die Kostenübernahme unterschrieben damit ich nicht noch mal eine Strecke von 410KM fahren muss
Hoffe das die Übernahme aber durch geht ich bin bei der Techniker
Hoffe das die Übernahme aber durch geht ich bin bei der Techniker
- Schokononne
- treues Mitglied

- Beiträge: 268
- Registriert: Fr, 08.07.2011 - 16:51
- Geschlecht: weiblich
- Diagnose: M.Scheuermann
Hyperlordose
Kyphose v. 74° n. Stagnara
Hüftdysplasie
Hüftkopfarthrose
CMD & DV - Therapie: 1.Rahmouni-Korsett seit 09/11
5.Rahmouni-Korsett 10/16
Schroth-KG
MT - Wohnort: Hildesheim
Re: Könnt ihr ca den Kyhosen Grad sagen
Frank, bei einer Korsettversorgung wirst du dich drauf einstellen müssen, regelmäßig alle paar Monate diese Strecke auf dich nehmen zu müssen.HolzkreuzFrank hat geschrieben:Habe jetzt die Kostenübernahme unterschrieben damit ich nicht noch mal eine Strecke von 410KM fahren muss
Ich selber trage seit 5 Jahren Korsett und nehme jedes Mal rund 600 km (eine Strecke) auf mich. Das Korsett muss ja auch immer mal wieder geändert werden, du musst zu Röntgenkontrollen, du brauchst mitunter ein neues Korsett, wenn sich dein Körper verändert hat.
Mit Gipsen, Korsett abholen und vielleicht einer Kontrolle ist es nicht getan. Dessen sollte man sich bewusst sein.
Mein Korsett-Tagebuch: Schokos Tagebuch: Vom 1.Termin zum 1.Korsett (Kyphose 74°)
Mein neues, korsettfreies Tagebuch: Schokos 2.Tagebuch: Und plötzlich ohne Korsett!
Mein aktuelles Tagebuch: Schokos 3. Tagebuch: Im 5. Jahr das 5. Korsett
Ganz liebe Grüße, Schoko
Mein neues, korsettfreies Tagebuch: Schokos 2.Tagebuch: Und plötzlich ohne Korsett!
Mein aktuelles Tagebuch: Schokos 3. Tagebuch: Im 5. Jahr das 5. Korsett
Ganz liebe Grüße, Schoko
- HolzkreuzFrank
- aktives Mitglied

- Beiträge: 145
- Registriert: Sa, 03.09.2016 - 10:43
- Geschlecht: männlich
- Diagnose: Kyphose 68 Grad und im Korsett 41 Grad
- Therapie: Rahmouni Korsett seid dem 3.11.2016
- Wohnort: Essen
Re: Könnt ihr ca den Kyhosen Grad sagen
Hallo
600km ist schon auch ne Nummer. ...Respekt
Ja das dachte ich mir aber wenn hilft .......
Will ja nicht später rumm laufen wie der Glöckner von Nordedam hieß doch so oder ......
Da ich noch als Maler ein paar Jahre vor mir habe muss ich da wohl durch .....
600km ist schon auch ne Nummer. ...Respekt
Ja das dachte ich mir aber wenn hilft .......
Will ja nicht später rumm laufen wie der Glöckner von Nordedam hieß doch so oder ......
Da ich noch als Maler ein paar Jahre vor mir habe muss ich da wohl durch .....
- Schokononne
- treues Mitglied

- Beiträge: 268
- Registriert: Fr, 08.07.2011 - 16:51
- Geschlecht: weiblich
- Diagnose: M.Scheuermann
Hyperlordose
Kyphose v. 74° n. Stagnara
Hüftdysplasie
Hüftkopfarthrose
CMD & DV - Therapie: 1.Rahmouni-Korsett seit 09/11
5.Rahmouni-Korsett 10/16
Schroth-KG
MT - Wohnort: Hildesheim
Re: Könnt ihr ca den Kyhosen Grad sagen
Ich wollte es nur erwähnt haben, damit du dir dessen bewusst bist.
Es gibt auch immer wieder Korsettträger, die auf das Korsett schimpfen, weil es nicht richtig sitzt. In solchen Fällen ist dann eben der Weg nach Stuttgart nötig, um es ändern zu lassen. Dann sitzt es auch wieder und man kann seine anvisierten Tragezeiten erreichen.
Gerade zu Anfang meiner Korsettversorgung war ich im ersten Jahr alle 2 bis spätestens 3 Monate in Stuttgart zu Änderungen und Kontrollen. Immer verbunden mit Hotelübernachtung, weil 1200 km an einem Tag mit meinem Rücken nicht machbar sind.
Stell dich vorsorglich darauf ein, wenn du mit weniger Terminen hinkommst, dann umso besser.
Ich selber bin auch in zwei Wochen wieder bei Rahmouni, um mein mittlerweile 5. Korsett abzuholen.
LG Schoko
Es gibt auch immer wieder Korsettträger, die auf das Korsett schimpfen, weil es nicht richtig sitzt. In solchen Fällen ist dann eben der Weg nach Stuttgart nötig, um es ändern zu lassen. Dann sitzt es auch wieder und man kann seine anvisierten Tragezeiten erreichen.
Gerade zu Anfang meiner Korsettversorgung war ich im ersten Jahr alle 2 bis spätestens 3 Monate in Stuttgart zu Änderungen und Kontrollen. Immer verbunden mit Hotelübernachtung, weil 1200 km an einem Tag mit meinem Rücken nicht machbar sind.
Stell dich vorsorglich darauf ein, wenn du mit weniger Terminen hinkommst, dann umso besser.
Ich selber bin auch in zwei Wochen wieder bei Rahmouni, um mein mittlerweile 5. Korsett abzuholen.
LG Schoko
Mein Korsett-Tagebuch: Schokos Tagebuch: Vom 1.Termin zum 1.Korsett (Kyphose 74°)
Mein neues, korsettfreies Tagebuch: Schokos 2.Tagebuch: Und plötzlich ohne Korsett!
Mein aktuelles Tagebuch: Schokos 3. Tagebuch: Im 5. Jahr das 5. Korsett
Ganz liebe Grüße, Schoko
Mein neues, korsettfreies Tagebuch: Schokos 2.Tagebuch: Und plötzlich ohne Korsett!
Mein aktuelles Tagebuch: Schokos 3. Tagebuch: Im 5. Jahr das 5. Korsett
Ganz liebe Grüße, Schoko
- HolzkreuzFrank
- aktives Mitglied

- Beiträge: 145
- Registriert: Sa, 03.09.2016 - 10:43
- Geschlecht: männlich
- Diagnose: Kyphose 68 Grad und im Korsett 41 Grad
- Therapie: Rahmouni Korsett seid dem 3.11.2016
- Wohnort: Essen
Re: Könnt ihr ca den Kyhosen Grad sagen
Ja bei der Entfernung würde ich auch eine Übernachtung vorziehen.
5tes Respekt bei wieviel Grad bist du denn jetzt und wie schaut es bei dir Schmerz technisch aus?
Ja ich bin am 3.11. da.
5tes Respekt bei wieviel Grad bist du denn jetzt und wie schaut es bei dir Schmerz technisch aus?
Ja ich bin am 3.11. da.
- Schokononne
- treues Mitglied

- Beiträge: 268
- Registriert: Fr, 08.07.2011 - 16:51
- Geschlecht: weiblich
- Diagnose: M.Scheuermann
Hyperlordose
Kyphose v. 74° n. Stagnara
Hüftdysplasie
Hüftkopfarthrose
CMD & DV - Therapie: 1.Rahmouni-Korsett seit 09/11
5.Rahmouni-Korsett 10/16
Schroth-KG
MT - Wohnort: Hildesheim
Re: Könnt ihr ca den Kyhosen Grad sagen
Ich komme von 74 °, stehe derzeit ohne Korsett bei ca. 47°.
Da mein Korsett durch große Abnahme nicht mehr passte und ich auch monatelang keine KG bekam habe ich derzeit massive Rückenprobleme und relativ starke Schmerzen. Mit Korsett bin ich sofort nach dem Anziehen schmerzfrei. Daher ist es für mich echt unverzichtbar.
Da mein Korsett durch große Abnahme nicht mehr passte und ich auch monatelang keine KG bekam habe ich derzeit massive Rückenprobleme und relativ starke Schmerzen. Mit Korsett bin ich sofort nach dem Anziehen schmerzfrei. Daher ist es für mich echt unverzichtbar.
Mein Korsett-Tagebuch: Schokos Tagebuch: Vom 1.Termin zum 1.Korsett (Kyphose 74°)
Mein neues, korsettfreies Tagebuch: Schokos 2.Tagebuch: Und plötzlich ohne Korsett!
Mein aktuelles Tagebuch: Schokos 3. Tagebuch: Im 5. Jahr das 5. Korsett
Ganz liebe Grüße, Schoko
Mein neues, korsettfreies Tagebuch: Schokos 2.Tagebuch: Und plötzlich ohne Korsett!
Mein aktuelles Tagebuch: Schokos 3. Tagebuch: Im 5. Jahr das 5. Korsett
Ganz liebe Grüße, Schoko
- HolzkreuzFrank
- aktives Mitglied

- Beiträge: 145
- Registriert: Sa, 03.09.2016 - 10:43
- Geschlecht: männlich
- Diagnose: Kyphose 68 Grad und im Korsett 41 Grad
- Therapie: Rahmouni Korsett seid dem 3.11.2016
- Wohnort: Essen
Re: Könnt ihr ca den Kyhosen Grad sagen
Oh ok glückwunsch erst mal zu den 48 Grad und der Gewichtsabnahme. .....
Ja das ist natürlich echt Sch****** mit den Schmerzen drück dir die Daumen das es schnell besser wird! !!!
Ja das ist natürlich echt Sch****** mit den Schmerzen drück dir die Daumen das es schnell besser wird! !!!
- Klaus
- Moderator/in

- Beiträge: 15254
- Registriert: Mi, 23.06.2004 - 18:36
- Geschlecht: männlich
- Wohnort: Hannover
Re: Könnt ihr ca den Kyhosen Grad sagen
Hallo Frank,
Es gibt ja auch gezielte KG, wie z. Bsp. Schroth, die man eigentlich immer parallel zu einem Korsett machen sollte. Es sei denn, man muss erst einmal gegen starke Verkürzungen angehen, um dies effizient einsetzen zu können.
Gruß
Klaus
Nach den Berichten zu urteilen, ist die Chance auf eine Bewilligung durch die TKK sehr groß. Ansonsten hilft oft ein Widerspruch.Habe jetzt die Kostenübernahme unterschrieben damit ich nicht noch mal eine Strecke von 410KM fahren muss
Hoffe das die Übernahme aber durch geht ich bin bei der Techniker
Hat er etwas von Hohlkreuz (Hyperlordose) gesagt?...dabei ist eine Kyhose von 68Grad raus gekommen.
Also KG mit extra Muskeln dehnen?Daraufhin er mir sehr nahe gelegt hat ein Korsett und Muskel denen und Lockern aufgeschrieben hat.
Es gibt ja auch gezielte KG, wie z. Bsp. Schroth, die man eigentlich immer parallel zu einem Korsett machen sollte. Es sei denn, man muss erst einmal gegen starke Verkürzungen angehen, um dies effizient einsetzen zu können.
Gruß
Klaus
- HolzkreuzFrank
- aktives Mitglied

- Beiträge: 145
- Registriert: Sa, 03.09.2016 - 10:43
- Geschlecht: männlich
- Diagnose: Kyphose 68 Grad und im Korsett 41 Grad
- Therapie: Rahmouni Korsett seid dem 3.11.2016
- Wohnort: Essen
Re: Könnt ihr ca den Kyhosen Grad sagen
Hallo
Ja ich soll auf jeden Fall erst mal die Muskeln dehnen lassen und locker extra hat er auf dem Rezept geschrieben kein MuskelAufbau!!
Ja ein Holkreuz habe ich auch aber wieviel Grad weiß ich nicht er sagte das wird auch mit dem Korsett begradigt. .....
Ja ich soll auf jeden Fall erst mal die Muskeln dehnen lassen und locker extra hat er auf dem Rezept geschrieben kein MuskelAufbau!!
Ja ein Holkreuz habe ich auch aber wieviel Grad weiß ich nicht er sagte das wird auch mit dem Korsett begradigt. .....
- HolzkreuzFrank
- aktives Mitglied

- Beiträge: 145
- Registriert: Sa, 03.09.2016 - 10:43
- Geschlecht: männlich
- Diagnose: Kyphose 68 Grad und im Korsett 41 Grad
- Therapie: Rahmouni Korsett seid dem 3.11.2016
- Wohnort: Essen
Re: Könnt ihr ca den Kyhosen Grad sagen
Ja aber seid neustem würde wohl die TK Probleme machen ich kann nur die Daumen Drücken
- Klaus
- Moderator/in

- Beiträge: 15254
- Registriert: Mi, 23.06.2004 - 18:36
- Geschlecht: männlich
- Wohnort: Hannover
Re: Könnt ihr ca den Kyhosen Grad sagen
Ok, das kommt in den Berichten über Dr. Hoffmann häufig vor und ist auch sinnvoll. Allerdings ist Schroth eine Kombination aus Dehnung und gezieltem Muskelaufbau, was später schon eine Rolle spielen sollte.Ja ich soll auf jeden Fall erst mal die Muskeln dehnen lassen und locker extra hat er auf dem Rezept geschrieben kein MuskelAufbau
Ich habe das bei der letzten Beantragung einer Langfristgenehmigung von Heilmitteln (volkstümlich KG Rezept auf DauerJa aber seid neustem würde wohl die TK Probleme machen ich kann nur die Daumen Drücken
Gruß
Klaus
- HolzkreuzFrank
- aktives Mitglied

- Beiträge: 145
- Registriert: Sa, 03.09.2016 - 10:43
- Geschlecht: männlich
- Diagnose: Kyphose 68 Grad und im Korsett 41 Grad
- Therapie: Rahmouni Korsett seid dem 3.11.2016
- Wohnort: Essen
Re: Könnt ihr ca den Kyhosen Grad sagen
Da sagst du was........In Sachen op
Bin mal gespannt was dabei rauskommt
Bin mal gespannt was dabei rauskommt
- HolzkreuzFrank
- aktives Mitglied

- Beiträge: 145
- Registriert: Sa, 03.09.2016 - 10:43
- Geschlecht: männlich
- Diagnose: Kyphose 68 Grad und im Korsett 41 Grad
- Therapie: Rahmouni Korsett seid dem 3.11.2016
- Wohnort: Essen
Re: Könnt ihr ca den Kyhosen Grad sagen
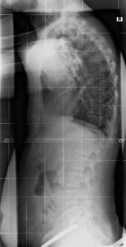
Das ist meine Röntgenaufnahme
68Grad Kyhose. .......
68Grad Kyhose. .......
- Dateianhänge
-
- 2016-10-18 18.43.16.jpg (17.43 KiB) 14662 mal betrachtet
-
Phill
- treues Mitglied

- Beiträge: 323
- Registriert: Mi, 18.11.2015 - 16:38
- Geschlecht: männlich
- Diagnose: Post-Scheuermann-Syndrome, Hyperkypose-/ Hyperlordose,
Cobb zahl noch unbekannt. - Therapie: Spiraldynamik, Faszienarbeit und KG an Geräten
Re: Könnt ihr ca den Kyhosen Grad sagen
Hi,
was für eine Behandlung wurde dir vorgeschlagen?
Grüße Phill
was für eine Behandlung wurde dir vorgeschlagen?
Grüße Phill
- HolzkreuzFrank
- aktives Mitglied

- Beiträge: 145
- Registriert: Sa, 03.09.2016 - 10:43
- Geschlecht: männlich
- Diagnose: Kyphose 68 Grad und im Korsett 41 Grad
- Therapie: Rahmouni Korsett seid dem 3.11.2016
- Wohnort: Essen
Re: Könnt ihr ca den Kyhosen Grad sagen
Hatte ich ja geschrieben bekomme ein Korsett und Muskel denen und Lockern. ......
- Klaus
- Moderator/in

- Beiträge: 15254
- Registriert: Mi, 23.06.2004 - 18:36
- Geschlecht: männlich
- Wohnort: Hannover
Re: Könnt ihr ca den Kyhosen Grad sagen
Hallo Frank,
ich denke, aufgrund des Röntgenbildes solltest mal bei Dr. Hoffmann nachfragen, ob das ein Hohlkreuz (Hyperlordose) ist und wieviel Grad die hat. Auf jeden Fall sollte Rahmouni etwas dazu sagen können, denn er muss ja entsprechend korrigieren.
Bei der häufig vorkommenden Kombination Hyperkyphose/Hyperlordose muss man bei der aktiven Muskelpflege (ohne Korsett), wie z. Bsp. Schroth, schon darauf achten, dass man bei der Korrektur der Hyperkyphose aufgrund der Verkürzungen nicht gleichzeitig eine Hyperlordose verstärkt, ohne es zu bemerken! Deswegen immer meine Nachfrage nach einer vollständigen Diagnose.
Gruß
Klaus
ich denke, aufgrund des Röntgenbildes solltest mal bei Dr. Hoffmann nachfragen, ob das ein Hohlkreuz (Hyperlordose) ist und wieviel Grad die hat. Auf jeden Fall sollte Rahmouni etwas dazu sagen können, denn er muss ja entsprechend korrigieren.
Bei der häufig vorkommenden Kombination Hyperkyphose/Hyperlordose muss man bei der aktiven Muskelpflege (ohne Korsett), wie z. Bsp. Schroth, schon darauf achten, dass man bei der Korrektur der Hyperkyphose aufgrund der Verkürzungen nicht gleichzeitig eine Hyperlordose verstärkt, ohne es zu bemerken! Deswegen immer meine Nachfrage nach einer vollständigen Diagnose.
Gruß
Klaus
- HolzkreuzFrank
- aktives Mitglied

- Beiträge: 145
- Registriert: Sa, 03.09.2016 - 10:43
- Geschlecht: männlich
- Diagnose: Kyphose 68 Grad und im Korsett 41 Grad
- Therapie: Rahmouni Korsett seid dem 3.11.2016
- Wohnort: Essen
Re: Könnt ihr ca den Kyhosen Grad sagen
Klau ja da hast du recht ich denke mal das er es berücksichtigt hat da Rahmouni mich schon auf mein Holkreuz angesprochen hat und sagte das wir ja bald auch korrigiert. .......
Habe heute Post von der Techniker erhalten es ist bewilligt das Korsett läuft also.......
Habe heute Post von der Techniker erhalten es ist bewilligt das Korsett läuft also.......
- Dalia
- Co-Admin

- Beiträge: 10332
- Registriert: So, 10.08.2003 - 12:48
- Geschlecht: weiblich
- Diagnose: 107° und 98° (im Jahr 2003 zu Beginn der Korsetttherapie: 98° und 93°), sehr starre Skoliose, kaum Beschwerden
- Therapie: 1983-1994 Korsetts verschiedener OTs, zuletzt bei Rahmouni, dann Korsettabschulung im Jahr 1994, seit 05/2005 bis etwa 2018 Nachtkorsett von Rahmouni, Therapieziel: Halten der Skoliose, seit 2018 keine Therapie mehr
- Wohnort: NRW
Re: Könnt ihr ca den Kyhosen Grad sagen
Toll, dass das Korsett bewilligt wurde.
Ich bin gespannt, wie die Eingewöhnung klappt. 
Ich muss allerdings auch mindestens zweimal im Jahr zu Rahmouni. Ich lege auch immer ca. 420 km mit dem Zug zurück, für einige Jahre waren es sogar 650 km. Zu Zeiten der Arbeitslosigkeit war das schon schwierig, denn das geht ja auch ins Geld, und ES FRISST ZEIT. Bei einem neuen Korsett oder dringender Änderung können vier Besuche im Jahr anfallen. Da ich keine Korrektur anstrebe, sondern die Skoliose nur halten will, setze ich mich aber nicht unter Stress. Ich habe zudem das Glück, dass meine Eltern im Raum München wohnen und ich daher keine Übernachtung finanzieren muss. Was ich mache, wenn sie nicht mehr da sind, weiß ich nicht. Aber ich bin auch schon mal nach Stuttgart geflogen, ist nur doof, weil du den Flug lange vorher buchen musst, damit er bezahlbar ist.
Ich muss allerdings auch mindestens zweimal im Jahr zu Rahmouni. Ich lege auch immer ca. 420 km mit dem Zug zurück, für einige Jahre waren es sogar 650 km. Zu Zeiten der Arbeitslosigkeit war das schon schwierig, denn das geht ja auch ins Geld, und ES FRISST ZEIT. Bei einem neuen Korsett oder dringender Änderung können vier Besuche im Jahr anfallen. Da ich keine Korrektur anstrebe, sondern die Skoliose nur halten will, setze ich mich aber nicht unter Stress. Ich habe zudem das Glück, dass meine Eltern im Raum München wohnen und ich daher keine Übernachtung finanzieren muss. Was ich mache, wenn sie nicht mehr da sind, weiß ich nicht. Aber ich bin auch schon mal nach Stuttgart geflogen, ist nur doof, weil du den Flug lange vorher buchen musst, damit er bezahlbar ist.
Ich kann dem Leben nicht mehr Tage geben, aber dem Tag mehr Leben. (Bertolt Brecht)
meine Geschichte: Dalia wird Königin (Korsett für eine Oldie-Power-Skoliose)
meine Geschichte: Dalia wird Königin (Korsett für eine Oldie-Power-Skoliose)