Skoliose in zwei Abschnitten (S-Form) Verlauf
-
silverbell
- Newbie

- Beiträge: 10
- Registriert: Di, 01.09.2015 - 22:03
- Geschlecht: weiblich
- Diagnose: 2-fache Skoliose (S-Form)
Skoliose in zwei Abschnitten (S-Form) Verlauf
Bei mir (41) wurde im Alter von 14 Jahren eine Skoliose (2-fach) festgestellt. Damals habe ich Krankengymnastik gemacht aber irgendwann nicht mehr durchgezogen. Zum Korsett ist es nie gekommen. Später nach der Schule habe ich in einem Fitnessstudio viel Sport betrieben, auch Work-Outs mit Kurzhanteln und es ging mir sehr gut damit. Damals erinnere ich mich dunkel an die Zahlen 30 und 50 Grad, wobei 50 im unteren Abschnitt der Wirbelsäule wohl gemeint war. Diese Zahlen irritieren mich doch, da ich nun vor ein paar Monaten neue Röntgenaufnahme machen lassen habe und der Orthopäde mit bloßem Auge jeweils eine Beule nach rechts und nach links von je ca. 25 ° geschätzt hat. Frage mich natürlich, ob sich das damals im Laufe der Jahre evtl. durch den Sport positiv verändert hat.
Feststeht aber, dass ich im Gegensatz zu früher extreme Beschwerden habe und sehr unter der Fehlstellung leide. Inzwischen ist meine rechte Schulter total verschlissen (könnte aber operiert werden) und dauernd habe ich Schmerzen in der rechten Hüfte bzw. im rechten bis mittleren Gesäßabschnitt. Auch im Sitzen merke ich dauernd, wie ich durchhänge, was mich sehr belastet. Auf dem Boden sitzen geht gar nicht, absolut nicht und ich habe immer das Gefühl, ich brauche entweder ein festes Kissen im Rücken oder eine feste gerade Rückenlehne. Dauernd muss ich mich einrenken (habe inzwischen so meine Methoden und weiß wie ich es machen kann) und die Fehlhaltung und die Schmerzen bzw. Versteifungen sind meine täglichen Begleiter.
Nachdem heute Rheuma ausgeschlossen wurde (durch einen Rheumatologen) wurde mir aber auch heute nochmal die extreme Fehlhaltung bestätigt und mir auch erklärt, dass die Verschleißungen auf die Fehlhaltung zurückzuführen sind. Heute habe ich auch Schuheinlagen verschrieben bekommen, die auch schon in der Fertigung sind. Ob es was hilft, weiß ich natürlich noch nicht. Habe ihn gefragt, ob er wüsste wieviel Grad die Verkrümmungen jeweils ausmachen würden (man kann ja mal fragen, hatte gehofft vielleicht doch eine genaue Zahl zu hören), doch er sagte mir, dass es bei meiner extremen Fehlhaltung unerheblich wäre, weil die Verbiegung nach zwei Seiten bestehen würde und eine Vermessung nur interessant wäre, wenn man nur eine Verbiegung hätte so wie die meisten Skoliosepatienten haben. Verstanden habe ich nicht, was er mir damit sagen will. Wollte aber nicht noch weiter bohren. Schließlich war ich ja wegen Ausschluss Rheuma bei ihm...
Ich habe nun wieder mit Kurzhanteltraining begonnen und muss ehrlich sagen, dass es mir gut tut. Empfehlen würde ich es aber nicht unbedingt weiter, weil man dabei extrem auf die Körperhaltung achten muss und die Übungen sehr sauber ausführen muss.
Insgesamt bin ich aber an einem Punkt des Sattseins angekommen. Mein Rücken kotzt mich an. Selbst wegen dem Karpaltunnelsnydrom wurde ich schon sehr früh an beiden Händen operiert. Stelle mir gerade die Frage, ob es einen Zusammenhang zwischen diesem Syndrom und der Skoliose gibt. Ende 2005 wurde ich mit 32 Jahren rechts und in 2007 links operiert. Wobei ich das als alleinerziehend Mama eines Kleinkindes verschleppt habe, so dass die Muskeln in der rechten Hand schon gedroht haben abzusterben - wie mir der Handchirurg gesagt hat. Die Beschwerden fangen jetzt wieder (nach 10 Jahren beschwerdefrei) an....
Ich habe einen Antrag beim Versorgungsamt gestellt. Einmal wegen meiner Psyche und auch wegen meinem Rücken. Ich fühle mich krank und nicht leistungsfähig. Wäre schön, wenn ich Erfahrungsberichte von anderen Betroffenen lesen darf, vielleicht auch von Menschen, die eine ähnlich Diagnose habe. Ich würde mich freuen.
Feststeht aber, dass ich im Gegensatz zu früher extreme Beschwerden habe und sehr unter der Fehlstellung leide. Inzwischen ist meine rechte Schulter total verschlissen (könnte aber operiert werden) und dauernd habe ich Schmerzen in der rechten Hüfte bzw. im rechten bis mittleren Gesäßabschnitt. Auch im Sitzen merke ich dauernd, wie ich durchhänge, was mich sehr belastet. Auf dem Boden sitzen geht gar nicht, absolut nicht und ich habe immer das Gefühl, ich brauche entweder ein festes Kissen im Rücken oder eine feste gerade Rückenlehne. Dauernd muss ich mich einrenken (habe inzwischen so meine Methoden und weiß wie ich es machen kann) und die Fehlhaltung und die Schmerzen bzw. Versteifungen sind meine täglichen Begleiter.
Nachdem heute Rheuma ausgeschlossen wurde (durch einen Rheumatologen) wurde mir aber auch heute nochmal die extreme Fehlhaltung bestätigt und mir auch erklärt, dass die Verschleißungen auf die Fehlhaltung zurückzuführen sind. Heute habe ich auch Schuheinlagen verschrieben bekommen, die auch schon in der Fertigung sind. Ob es was hilft, weiß ich natürlich noch nicht. Habe ihn gefragt, ob er wüsste wieviel Grad die Verkrümmungen jeweils ausmachen würden (man kann ja mal fragen, hatte gehofft vielleicht doch eine genaue Zahl zu hören), doch er sagte mir, dass es bei meiner extremen Fehlhaltung unerheblich wäre, weil die Verbiegung nach zwei Seiten bestehen würde und eine Vermessung nur interessant wäre, wenn man nur eine Verbiegung hätte so wie die meisten Skoliosepatienten haben. Verstanden habe ich nicht, was er mir damit sagen will. Wollte aber nicht noch weiter bohren. Schließlich war ich ja wegen Ausschluss Rheuma bei ihm...
Ich habe nun wieder mit Kurzhanteltraining begonnen und muss ehrlich sagen, dass es mir gut tut. Empfehlen würde ich es aber nicht unbedingt weiter, weil man dabei extrem auf die Körperhaltung achten muss und die Übungen sehr sauber ausführen muss.
Insgesamt bin ich aber an einem Punkt des Sattseins angekommen. Mein Rücken kotzt mich an. Selbst wegen dem Karpaltunnelsnydrom wurde ich schon sehr früh an beiden Händen operiert. Stelle mir gerade die Frage, ob es einen Zusammenhang zwischen diesem Syndrom und der Skoliose gibt. Ende 2005 wurde ich mit 32 Jahren rechts und in 2007 links operiert. Wobei ich das als alleinerziehend Mama eines Kleinkindes verschleppt habe, so dass die Muskeln in der rechten Hand schon gedroht haben abzusterben - wie mir der Handchirurg gesagt hat. Die Beschwerden fangen jetzt wieder (nach 10 Jahren beschwerdefrei) an....
Ich habe einen Antrag beim Versorgungsamt gestellt. Einmal wegen meiner Psyche und auch wegen meinem Rücken. Ich fühle mich krank und nicht leistungsfähig. Wäre schön, wenn ich Erfahrungsberichte von anderen Betroffenen lesen darf, vielleicht auch von Menschen, die eine ähnlich Diagnose habe. Ich würde mich freuen.
-
silverbell
- Newbie

- Beiträge: 10
- Registriert: Di, 01.09.2015 - 22:03
- Geschlecht: weiblich
- Diagnose: 2-fache Skoliose (S-Form)
Röntgenbilder
- Dateianhänge
-
- LSPINE
- unbenannt nochmal verkleinert.png (25.52 KiB) 19770 mal betrachtet
-
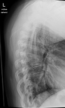
- TSPINE seitlich (oberer Abschnitt)
T bedeutet Top Spine? - TSPINE Bild 2 vk II.png (25.02 KiB) 19770 mal betrachtet
-
- TSPINE
- TSPINE vk II.png (22.24 KiB) 19770 mal betrachtet
-
silverbell
- Newbie

- Beiträge: 10
- Registriert: Di, 01.09.2015 - 22:03
- Geschlecht: weiblich
- Diagnose: 2-fache Skoliose (S-Form)
Korsett und Shroth Therapie
Ich sollte damals ein Korsett bekommen, wenn die Beschwerden durch die Krankengymnastik nicht besser geworden wären, damals umfasste die KG auch Übungen mit dem Thera Band. Da die Rückenschmerzen nachließen bin ich vorerst nicht mehr zum Arzt gegangen und daher gab es auch kein Korsett.
Wäre es möglich und überhaupt sinnvoll jetzt noch mit fast 42 Jahren ein Korsett zu tragen?
Zu der Schroth-Therapie: diese Therapieform habe ich hier zum ersten Mal gelesen und vorher noch nie gehört. Wird diese Therapie von der KK bezahlt, falls nicht, was kostet die Therapie? Habe schon gesehen, dass es hier in der Nähe einen Therapeuten gibt.
Mich interessiert diese Therapie sehr, vor Allem auch wegen den Atemübungen. Je nach Liegeposition kommt es häufiger vor, dass mir die "Luft" quasi weg bleibt und ich mich dann wieder in eine andere Position bringen muss um wieder atmen zu können. Wie es nachts ist, wenn ich schlafe weiß ich natürlich nicht.
Wäre es möglich und überhaupt sinnvoll jetzt noch mit fast 42 Jahren ein Korsett zu tragen?
Zu der Schroth-Therapie: diese Therapieform habe ich hier zum ersten Mal gelesen und vorher noch nie gehört. Wird diese Therapie von der KK bezahlt, falls nicht, was kostet die Therapie? Habe schon gesehen, dass es hier in der Nähe einen Therapeuten gibt.
Mich interessiert diese Therapie sehr, vor Allem auch wegen den Atemübungen. Je nach Liegeposition kommt es häufiger vor, dass mir die "Luft" quasi weg bleibt und ich mich dann wieder in eine andere Position bringen muss um wieder atmen zu können. Wie es nachts ist, wenn ich schlafe weiß ich natürlich nicht.
-
Lady S
- Profi

- Beiträge: 1590
- Registriert: Mo, 10.06.2002 - 00:00
- Geschlecht: weiblich
- Diagnose: idiopathische Adoleszenzskoliose
2013: lumbal 64°, thorakal 56°, inzwischen vermutlich deutlich mehr. - Therapie: Seit 2003 Schroth-KG, 3 Rehas in Bad Salzungen.
- Wohnort: Nähe Stuttgart
Re: Skoliose in zwei Abschnitten (S-Form) Verlauf

Du hast ja auch schon einiges mitgemacht!
Nun ja, das war schliesslich der Rheumatologe, aber trotzdem...silverbell hat geschrieben:Habe ihn gefragt, ob er wüsste wieviel Grad die Verkrümmungen jeweils ausmachen würden (man kann ja mal fragen, hatte gehofft vielleicht doch eine genaue Zahl zu hören), doch er sagte mir, dass es bei meiner extremen Fehlhaltung unerheblich wäre, weil die Verbiegung nach zwei Seiten bestehen würde und eine Vermessung nur interessant wäre, wenn man nur eine Verbiegung hätte so wie die meisten Skoliosepatienten haben.
Ich würde sagen, die meisten Skoliosen sind "nach 2 Seiten" bzw. S-förmig
Du solltest dringend mal einen Spezialisten aufsuchen; schau mal hier:
http://skoliose-info-forum.de/viewtopic.php?f=25&t=6472
Meines Wissens reicht ein ganz normales KG-Rezept.silverbell hat geschrieben:Zu der Schroth-Therapie: diese Therapieform habe ich hier zum ersten Mal gelesen und vorher noch nie gehört. Wird diese Therapie von der KK bezahlt, falls nicht, was kostet die Therapie? Habe schon gesehen, dass es hier in der Nähe einen Therapeuten gibt.
Grüsse, Lady S
- Namor
- treues Mitglied

- Beiträge: 318
- Registriert: Sa, 07.03.2015 - 11:38
- Geschlecht: männlich
- Diagnose: .
• Schmerzen (Steilst. Th7-Th11, HWS unklar)
• Rundrücken
• Depression
• Tinitus u. Trigeminus Neuralgie
• Befund -Ende 04/2015:
Kyph. 48° n. Stagnara
Sko. th 7° , lu 9° n. Cobb
Muskuläre Dysbalance - Therapie: .
• Destruktiven Sport abgebrochen
• Seit 01/2015 strecken und dehnen
• Rahmouni Korsett seit Ende 08/2015,
• Reha nach Schroth sobald KK Prozedere abgeschlossen und Termin gesichert ist.
• Ambulante Schroth KG seit Mitte 10/2015 - Wohnort: Raum Hildesheim
Re: Skoliose in zwei Abschnitten (S-Form) Verlauf
Hallo Silverbell 
Ich weiss nicht, wieviel du von den ärztlichen Aussagen schon selber als Unsinn enttarnen konntest.
Inkompetenz bei Orthopäden, in Bezug auf Wirbelsäulenverformungen, ist leider Standard
Der Übersicht halber, zerflüge ich dafür deinen Beitrag ein wenig:

Wenn du deinen Rücken therapierst, ist es schließlich völlig unwichtig Erfolg oder Misserfolg vermessen zu können...
Zum Vermessen muss auch ein gewaltiger Aufwand betrieben werden !!
Man benötigt dafür einen kleinen Winkelmesser aus Plastik und das knowhow.
... Aber immerhin ging er so weit, eine Gradzahl zu schätzen .. Die meisten (ebenfalls inkompetenten) Schätzungen/Vermessungen lauten: "So etwa im mittleren Bereich"

1) Unerheblich kann die Vermessung nicht sein ! Wie oben bereits erwähnt, muss die Verbesserung oder Verschlechterung gut und objektiv erkennbar bleiben, um die Therapie eventuell anzugleichen. Abgesehen davon, möchtest du deine Krümmung auch irgendwie definiert wissen und dich nicht nur auf deinen eigenen Eindruck verlassen müssen.
Aus eigener Erfahrung weiss ich, wie belastend dies für die Psyche sein kann !
2) ...Die Vermessung wäre nur interessant, wenn du nur eine Biegung hättest ?!?!
Erst einmal, haben die meisten Skoliotiker, meiner persönlichen Beobachtung nach, zwei Bögen.
Die thorakale (oben) und die lumbale (unten) ! Das macht auch, laienhaft überlegt, "Sinn", da die Natur immer einen Ausgleich in der Balance sucht.
Die definierten "Einbögigen" gibt es garantiert ebenfalls, die Mehrheit wird wohl jedoch stolzer Besitzer einer zweifachen sein. (Bitte um Aufschrei, falls ich falsch liege)
Und ausserdem macht es, in diesem Bezug, keinen Unterschied, ob eine oder zwei Biegungen.
Die Bandscheiben leiden, aufgrund der Fehlstellung und Haltung, unter der ernomen Belastung. Ob das nun in einem oder zwei Bögen geschied, ändert daran garnichts.
Trotz deiner inzwischen angeeigneten Sachkenntis und Körpergefühl, solltest du die Absprache mit kompetenten Physioterapeuten nicht versäumen.
Niemand lernt jemals aus !
Einrenken ist "nur" notwendige Symptombekämpfung und verhindert deshalb keine weiteren Schäden/Beschwerden, aber das weisst du wahrscheinlich selber.
Da du nichts darüber schreibst aktuell irgendeine KG zu betreiben, vermute ich, dass du das (noch!?) nicht wieder aufgenommen hast ?
Ich denke allerdings auch, dass du noch wenigstens eine Diagnose von einem kompetenten und spezialisierten Facharzt benötigst, um deine "Baustelle/n" besser zu kennen.
Lady S gab dir ja bereits den Link für, auf Skoliose spezialisierte und hier im Forum bekannte, Orthopäden.
Meinfernbus ist übrigens eine sehr günstige und genauso unbequeme Art, viele Kilometer zu reisen ^_^
Und falls du mal an einer super präzisen Vermessung deiner Wirbelsäule, mit einer zusätzlichen 3D Darstellung, interessiert sein solltest und dafür auch 140 - 180 Euro zahlen würdest , ließ mal diesen Beitrag hier:

Wenn du Einlagen bekommen sollst, wäre das Röntgen und die Vermessung deines Skelletes im Stand, immerhin nicht uninteressant (event. Beckenschiefstand, verschieden lange Beinknochen ... ).
....
Ich bin kein Mediziner und habe mich diesbezüglich auch nie informiert.
Aber welchen Zusammenhang meinst du zwischen dem Karpaltunnelsyndrom und deiner Skoliose zu sehen ?
Etwa die "ungleiche Belastung" durch das Ausfallen einer Hand mit 32 Jahren ?
Falls ja, dann musst du wissen, das Skoliose im Kindes-und Jugendalter entsteht und sich im erwachsenen Alter, durch Verschleiss und muskulärer Disbalance, verschlechtern kann.
Die Verdrehung der Wirbelform ansich, findet, zusammen mit dem Ende des Wachstums, ebenfalls sein Ende.
Oder welchen Zusammenhang meinst du dort zu sehen ?
Meine Meinung:
Es hilft beim Aufdehnen
Es hilft Muskeln in der richtigen Körperhaltung aufzubauen (Nach dem Training nicht in eine Fehlhaltung zu rutschen)
Es kann eine sehr gute Alternative zu Schmerzmitteln sein (Stichwort: Nebenwirkungen)
Und es entlastet, noch vor dem Aufbau eines eigenen Muskelkorsetts, die Wirbel/Bandscheiben, wodurch (abgesehen von der Schmerzbeseitigung) Schäden vorgebeugt werden kann.
...Aufgrund der Einschränkungen und Beschwerden, durch ein Korsett, sollte man das jedoch sorgsam auswägen.
Dr. Hoffmann in Leonberg unterstützt die Korsetttherapie und weiss anscheinend auch um die richtigen Formulierungen, um eine Reha nach Schroth und/oder Korsett bei der Kasse möglichst bewilligt zu bekommen.
Bislang habe ich hier nur ein wenig Erfahrung mit ihm. Über die anderen Ärzte kann ich, aus eigener Erfahrung, noch nichts sagen.
Ich weiss nicht, wieviel du von den ärztlichen Aussagen schon selber als Unsinn enttarnen konntest.
Inkompetenz bei Orthopäden, in Bezug auf Wirbelsäulenverformungen, ist leider Standard
Der Übersicht halber, zerflüge ich dafür deinen Beitrag ein wenig:
Schätzen ist schonmal ganz sinnvollDiese Zahlen irritieren mich doch, da ich nun vor ein paar Monaten neue Röntgenaufnahme machen lassen habe und der Orthopäde mit bloßem Auge jeweils eine Beule nach rechts und nach links von je ca. 25 ° geschätzt hat.
Wenn du deinen Rücken therapierst, ist es schließlich völlig unwichtig Erfolg oder Misserfolg vermessen zu können...
Zum Vermessen muss auch ein gewaltiger Aufwand betrieben werden !!
Man benötigt dafür einen kleinen Winkelmesser aus Plastik und das knowhow.
... Aber immerhin ging er so weit, eine Gradzahl zu schätzen .. Die meisten (ebenfalls inkompetenten) Schätzungen/Vermessungen lauten: "So etwa im mittleren Bereich"
Zwei unrichtige Aussagen in einem Satz ! Schlimm, auch wenn er Rheumatologe ist. Es geht schließlich um deinen Wissensstand.Habe ihn gefragt, ob er wüsste wieviel Grad die Verkrümmungen jeweils ausmachen würden (man kann ja mal fragen, hatte gehofft vielleicht doch eine genaue Zahl zu hören), doch er sagte mir, dass es bei meiner extremen Fehlhaltung unerheblich wäre, weil die Verbiegung nach zwei Seiten bestehen würde und eine Vermessung nur interessant wäre, wenn man nur eine Verbiegung hätte so wie die meisten Skoliosepatienten haben.
1) Unerheblich kann die Vermessung nicht sein ! Wie oben bereits erwähnt, muss die Verbesserung oder Verschlechterung gut und objektiv erkennbar bleiben, um die Therapie eventuell anzugleichen. Abgesehen davon, möchtest du deine Krümmung auch irgendwie definiert wissen und dich nicht nur auf deinen eigenen Eindruck verlassen müssen.
Aus eigener Erfahrung weiss ich, wie belastend dies für die Psyche sein kann !
2) ...Die Vermessung wäre nur interessant, wenn du nur eine Biegung hättest ?!?!
Erst einmal, haben die meisten Skoliotiker, meiner persönlichen Beobachtung nach, zwei Bögen.
Die thorakale (oben) und die lumbale (unten) ! Das macht auch, laienhaft überlegt, "Sinn", da die Natur immer einen Ausgleich in der Balance sucht.
Die definierten "Einbögigen" gibt es garantiert ebenfalls, die Mehrheit wird wohl jedoch stolzer Besitzer einer zweifachen sein. (Bitte um Aufschrei, falls ich falsch liege)
Und ausserdem macht es, in diesem Bezug, keinen Unterschied, ob eine oder zwei Biegungen.
Die Bandscheiben leiden, aufgrund der Fehlstellung und Haltung, unter der ernomen Belastung. Ob das nun in einem oder zwei Bögen geschied, ändert daran garnichts.
Wenn dein Körper dir sagt, dass es dir gut tut, wird dem vermutlich auch so sein.Ich habe nun wieder mit Kurzhanteltraining begonnen und muss ehrlich sagen, dass es mir gut tut. Empfehlen würde ich es aber nicht unbedingt weiter, weil man dabei extrem auf die Körperhaltung achten muss und die Übungen sehr sauber ausführen muss.
Trotz deiner inzwischen angeeigneten Sachkenntis und Körpergefühl, solltest du die Absprache mit kompetenten Physioterapeuten nicht versäumen.
Niemand lernt jemals aus !
Kleiner Tadel:Feststeht aber, dass ich im Gegensatz zu früher extreme Beschwerden habe und sehr unter der Fehlstellung leide. Inzwischen ist meine rechte Schulter total verschlissen (könnte aber operiert werden) und dauernd habe ich Schmerzen in der rechten Hüfte bzw. im rechten bis mittleren Gesäßabschnitt. Auch im Sitzen merke ich dauernd, wie ich durchhänge, was mich sehr belastet. Auf dem Boden sitzen geht gar nicht, absolut nicht und ich habe immer das Gefühl, ich brauche entweder ein festes Kissen im Rücken oder eine feste gerade Rückenlehne. Dauernd muss ich mich einrenken (habe inzwischen so meine Methoden und weiß wie ich es machen kann) und die Fehlhaltung und die Schmerzen bzw. Versteifungen sind meine täglichen Begleiter.
Einrenken ist "nur" notwendige Symptombekämpfung und verhindert deshalb keine weiteren Schäden/Beschwerden, aber das weisst du wahrscheinlich selber.
Da du nichts darüber schreibst aktuell irgendeine KG zu betreiben, vermute ich, dass du das (noch!?) nicht wieder aufgenommen hast ?
Lady S gab dir ja bereits den Link für, auf Skoliose spezialisierte und hier im Forum bekannte, Orthopäden.
Meinfernbus ist übrigens eine sehr günstige und genauso unbequeme Art, viele Kilometer zu reisen ^_^
Und falls du mal an einer super präzisen Vermessung deiner Wirbelsäule, mit einer zusätzlichen 3D Darstellung, interessiert sein solltest und dafür auch 140 - 180 Euro zahlen würdest , ließ mal diesen Beitrag hier:

Wenn du Einlagen bekommen sollst, wäre das Röntgen und die Vermessung deines Skelletes im Stand, immerhin nicht uninteressant (event. Beckenschiefstand, verschieden lange Beinknochen ... ).
....
Ich bin kein Mediziner und habe mich diesbezüglich auch nie informiert.
Aber welchen Zusammenhang meinst du zwischen dem Karpaltunnelsyndrom und deiner Skoliose zu sehen ?
Etwa die "ungleiche Belastung" durch das Ausfallen einer Hand mit 32 Jahren ?
Falls ja, dann musst du wissen, das Skoliose im Kindes-und Jugendalter entsteht und sich im erwachsenen Alter, durch Verschleiss und muskulärer Disbalance, verschlechtern kann.
Die Verdrehung der Wirbelform ansich, findet, zusammen mit dem Ende des Wachstums, ebenfalls sein Ende.
Die Frage (Für Erwachsene) wird oft gestellt, deshalb kannst du darüber hier viele Antworten finden.Wäre es möglich und überhaupt sinnvoll jetzt noch mit fast 42 Jahren ein Korsett zu tragen?
Meine Meinung:
Es hilft beim Aufdehnen
Es hilft Muskeln in der richtigen Körperhaltung aufzubauen (Nach dem Training nicht in eine Fehlhaltung zu rutschen)
Es kann eine sehr gute Alternative zu Schmerzmitteln sein (Stichwort: Nebenwirkungen)
Und es entlastet, noch vor dem Aufbau eines eigenen Muskelkorsetts, die Wirbel/Bandscheiben, wodurch (abgesehen von der Schmerzbeseitigung) Schäden vorgebeugt werden kann.
...Aufgrund der Einschränkungen und Beschwerden, durch ein Korsett, sollte man das jedoch sorgsam auswägen.
Dr. Hoffmann in Leonberg unterstützt die Korsetttherapie und weiss anscheinend auch um die richtigen Formulierungen, um eine Reha nach Schroth und/oder Korsett bei der Kasse möglichst bewilligt zu bekommen.
Bislang habe ich hier nur ein wenig Erfahrung mit ihm. Über die anderen Ärzte kann ich, aus eigener Erfahrung, noch nichts sagen.
Niemand ist unnütz !!!
Man kann immer noch als schlechtes Beispiel dienen.
Man kann immer noch als schlechtes Beispiel dienen.
-
silverbell
- Newbie

- Beiträge: 10
- Registriert: Di, 01.09.2015 - 22:03
- Geschlecht: weiblich
- Diagnose: 2-fache Skoliose (S-Form)
Re: Skoliose in zwei Abschnitten (S-Form) Verlauf
Hallo Lady S, danke für dein Verständnis und ja, ich habe ja auch gedacht, dass eine Skoliose in S-Form sowieso die Regel ist
aber sonst war der super; im Gegensatz zu machen Orthopäden hat er meine Haltung untersucht und schon mit bloßem Auge (also in Unterwäsche) schon die Fehlhaltung gesehen und auch schon ohne Weiteres gefragt, ob ich schon Schuheinlagen tragen würde. Ich hatte auch Glück mit dem Termin, normalerweise dauert es bei diesem Arzt bis zu anderthalb Jahre, bis man einen Termin bekommt. Rheumatologen werden immer weniger.
Ich war sogar schonmal bei einem Orthopäden, der mich lediglich abgeklopft hat und ich mich richtig veräppelt gefühlt hab. Einmal und nie wieder. Hinzu kommt ja auch, dass man ja auch ein paar Monate auf einen Termin beim Orthopäden warten muss. Dann kommt man dahin - in der Hoffnung - man bekäme eine kompetente medizinische Betreuung und da kommt der Arzt nach so einer langen Wartezeit rein und das Ergebnis ist eine wirbelsäulennahe Spritze für 25,- Euro, die überhaupt nichts gebracht hat - ist mir dieses Jahr passiert. Da hilft die Spritze vom Hausarzt für 2,50 Euro viel mehr, das kann doch nicht wahr sein?!?
Schade, dass es in NRW keine Spezialisten gibt...ist ja doch eine Kurzreise...hm.
Ich war sogar schonmal bei einem Orthopäden, der mich lediglich abgeklopft hat und ich mich richtig veräppelt gefühlt hab. Einmal und nie wieder. Hinzu kommt ja auch, dass man ja auch ein paar Monate auf einen Termin beim Orthopäden warten muss. Dann kommt man dahin - in der Hoffnung - man bekäme eine kompetente medizinische Betreuung und da kommt der Arzt nach so einer langen Wartezeit rein und das Ergebnis ist eine wirbelsäulennahe Spritze für 25,- Euro, die überhaupt nichts gebracht hat - ist mir dieses Jahr passiert. Da hilft die Spritze vom Hausarzt für 2,50 Euro viel mehr, das kann doch nicht wahr sein?!?
Schade, dass es in NRW keine Spezialisten gibt...ist ja doch eine Kurzreise...hm.
- Namor
- treues Mitglied

- Beiträge: 318
- Registriert: Sa, 07.03.2015 - 11:38
- Geschlecht: männlich
- Diagnose: .
• Schmerzen (Steilst. Th7-Th11, HWS unklar)
• Rundrücken
• Depression
• Tinitus u. Trigeminus Neuralgie
• Befund -Ende 04/2015:
Kyph. 48° n. Stagnara
Sko. th 7° , lu 9° n. Cobb
Muskuläre Dysbalance - Therapie: .
• Destruktiven Sport abgebrochen
• Seit 01/2015 strecken und dehnen
• Rahmouni Korsett seit Ende 08/2015,
• Reha nach Schroth sobald KK Prozedere abgeschlossen und Termin gesichert ist.
• Ambulante Schroth KG seit Mitte 10/2015 - Wohnort: Raum Hildesheim
Re: Skoliose in zwei Abschnitten (S-Form) Verlauf
Das mit dem Spritzen ist bekannt, ja..
Erst wird abgetaste und dann ganz regulär KG verschrieben.
Wenn anschliessend irgendwann der erste Bandscheibenvorfall o.Ä. auftritt, bekommt man eine Piekse in den Rücken, welche die Symptome kurz lindern soll, MRT um zu schauen welche Schäden konkret bereits vorliegen und ob operiert werden muss und Ende.
Ein sehr guter Freund von mir (56 Jahre alt), ist sogar richtig überzeugt von unserem Ortopäden hier, weil der SOO gut ist, dass er nicht einmal ein Röntgenbild braucht
Ein Blick und der Mann weiss was los ist ...
Aber wie erzählt man Jemanden, in dem Alter, das der jüngere und scheinbar ohnehin ahnungslosere Mensch neben ihn, mehr Ahnung hat als der geschätzte Herr Doktor ?!
Ist schon ein Trauerspiel, welches wir Betroffene oft verlieren.
Jeder muss sein eigener Doktor werden. Und das obwohl dies erfahrungsgemäß auch so gut funktioniert !!
Es gibt schließlich sehr gute Gründe, warum sogar Ärzte sich nicht selber behandeln sollten.
Erst wird abgetaste und dann ganz regulär KG verschrieben.
Wenn anschliessend irgendwann der erste Bandscheibenvorfall o.Ä. auftritt, bekommt man eine Piekse in den Rücken, welche die Symptome kurz lindern soll, MRT um zu schauen welche Schäden konkret bereits vorliegen und ob operiert werden muss und Ende.
Ein sehr guter Freund von mir (56 Jahre alt), ist sogar richtig überzeugt von unserem Ortopäden hier, weil der SOO gut ist, dass er nicht einmal ein Röntgenbild braucht
Aber wie erzählt man Jemanden, in dem Alter, das der jüngere und scheinbar ohnehin ahnungslosere Mensch neben ihn, mehr Ahnung hat als der geschätzte Herr Doktor ?!
Ist schon ein Trauerspiel, welches wir Betroffene oft verlieren.
Jeder muss sein eigener Doktor werden. Und das obwohl dies erfahrungsgemäß auch so gut funktioniert !!
Es gibt schließlich sehr gute Gründe, warum sogar Ärzte sich nicht selber behandeln sollten.
Niemand ist unnütz !!!
Man kann immer noch als schlechtes Beispiel dienen.
Man kann immer noch als schlechtes Beispiel dienen.
-
silverbell
- Newbie

- Beiträge: 10
- Registriert: Di, 01.09.2015 - 22:03
- Geschlecht: weiblich
- Diagnose: 2-fache Skoliose (S-Form)
Re: Skoliose in zwei Abschnitten (S-Form) Verlauf
Hallo Namor, danke für deine ausführliche Antwort zu meinem Beitrag. Gemessen hatte der erste Orthopäde vor ca. 26 Jahren anhand des Röntgenbildes und sagte mir 30 ° und 50 °. Er hat mich absolut ernst genommen (da war ich 14) und auch streng belehrt. Er sagte aber auch - und ich weiß nicht, ob das so gut war, dass ich nachher mit 30 im Rollstuhl sitzen könnte, wenn ich die Krankengymnastik nicht mache und mich an Allem halte - vielleicht hat er das ohne zu Überlegen gesagt, damit ich auch wirklich dahin gehe. Er sprach auch davon, dass es passieren könnte, dass ich ein Korsett tragen muss. Die Krankengymnastik habe ich auch durchgezogen - bis es mir wieder besser ging (Teenager haben andere Sachen im Kopf) und irgendwie hatte sich das Thema auch vorerst erledigt. Dann kam die Ausbildung und ich habe im Fitnessstudio hart trainiert und auch Aerbobic ohne Probleme machen können. Mir ging es ziemlich gut. Eigentlich war auch einige Jahre Ruhe - mit der Schwangerschaft kamen dann wieder Rückenschmerzen (klar) und auch nach der Geburt die ersten paar Jahre durch das Tragen meines Kindes etc. Auch hier frage ich mich alarmiert im nachhinein, ob meine Skoliose der Grund war, warum mein Baby absolut nicht kommen konnte, er ist quasi steckengeblieben könnte man sagen. Kurz bevor die Saugglocke zum Einsatz kam, haben wir es doch geschafft aber er atmete erst nicht, die Hebamme war bald hysterisch aber meinem Sohn geht es gut, er wird bald 16. Auch die Nachgeburt kam einfach nicht. Eine Hebamme hat sich auf mich gelegt und fest mit dem Arm auf mich gedrückt und Akkupunktur gemacht, damit ich nicht auch noch notoperiert werden muss. Dann kam es auch (war wohl eingerissen).Namor hat geschrieben:Hallo Silverbell
Ich weiss nicht, wieviel du von den ärztlichen Aussagen schon selber als Unsinn enttarnen konntest.
Inkompetenz bei Orthopäden, in Bezug auf Wirbelsäulenverformungen, ist leider Standard
Der Übersicht halber, zerflüge ich dafür deinen Beitrag ein wenig:
Schätzen ist schonmal ganz sinnvollDiese Zahlen irritieren mich doch, da ich nun vor ein paar Monaten neue Röntgenaufnahme machen lassen habe und der Orthopäde mit bloßem Auge jeweils eine Beule nach rechts und nach links von je ca. 25 ° geschätzt hat.
Wenn du deinen Rücken therapierst, ist es schließlich völlig unwichtig Erfolg oder Misserfolg vermessen zu können...
Zum Vermessen muss auch ein gewaltiger Aufwand betrieben werden !!
Man benötigt dafür einen kleinen Winkelmesser aus Plastik und das knowhow.
... Aber immerhin ging er so weit, eine Gradzahl zu schätzen .. Die meisten (ebenfalls inkompetenten) Schätzungen/Vermessungen lauten: "So etwa im mittleren Bereich"![]()
Zwei unrichtige Aussagen in einem Satz ! Schlimm, auch wenn er Rheumatologe ist. Es geht schließlich um deinen Wissensstand.Habe ihn gefragt, ob er wüsste wieviel Grad die Verkrümmungen jeweils ausmachen würden (man kann ja mal fragen, hatte gehofft vielleicht doch eine genaue Zahl zu hören), doch er sagte mir, dass es bei meiner extremen Fehlhaltung unerheblich wäre, weil die Verbiegung nach zwei Seiten bestehen würde und eine Vermessung nur interessant wäre, wenn man nur eine Verbiegung hätte so wie die meisten Skoliosepatienten haben.
1) Unerheblich kann die Vermessung nicht sein ! Wie oben bereits erwähnt, muss die Verbesserung oder Verschlechterung gut und objektiv erkennbar bleiben, um die Therapie eventuell anzugleichen. Abgesehen davon, möchtest du deine Krümmung auch irgendwie definiert wissen und dich nicht nur auf deinen eigenen Eindruck verlassen müssen.
Aus eigener Erfahrung weiss ich, wie belastend dies für die Psyche sein kann !
2) ...Die Vermessung wäre nur interessant, wenn du nur eine Biegung hättest ?!?!
Erst einmal, haben die meisten Skoliotiker, meiner persönlichen Beobachtung nach, zwei Bögen.
Die thorakale (oben) und die lumbale (unten) ! Das macht auch, laienhaft überlegt, "Sinn", da die Natur immer einen Ausgleich in der Balance sucht.
Die definierten "Einbögigen" gibt es garantiert ebenfalls, die Mehrheit wird wohl jedoch stolzer Besitzer einer zweifachen sein. (Bitte um Aufschrei, falls ich falsch liege)
Und ausserdem macht es, in diesem Bezug, keinen Unterschied, ob eine oder zwei Biegungen.
Die Bandscheiben leiden, aufgrund der Fehlstellung und Haltung, unter der ernomen Belastung. Ob das nun in einem oder zwei Bögen geschied, ändert daran garnichts.
Wenn dein Körper dir sagt, dass es dir gut tut, wird dem vermutlich auch so sein.Ich habe nun wieder mit Kurzhanteltraining begonnen und muss ehrlich sagen, dass es mir gut tut. Empfehlen würde ich es aber nicht unbedingt weiter, weil man dabei extrem auf die Körperhaltung achten muss und die Übungen sehr sauber ausführen muss.
Trotz deiner inzwischen angeeigneten Sachkenntis und Körpergefühl, solltest du die Absprache mit kompetenten Physioterapeuten nicht versäumen.
Niemand lernt jemals aus !
Kleiner Tadel:Feststeht aber, dass ich im Gegensatz zu früher extreme Beschwerden habe und sehr unter der Fehlstellung leide. Inzwischen ist meine rechte Schulter total verschlissen (könnte aber operiert werden) und dauernd habe ich Schmerzen in der rechten Hüfte bzw. im rechten bis mittleren Gesäßabschnitt. Auch im Sitzen merke ich dauernd, wie ich durchhänge, was mich sehr belastet. Auf dem Boden sitzen geht gar nicht, absolut nicht und ich habe immer das Gefühl, ich brauche entweder ein festes Kissen im Rücken oder eine feste gerade Rückenlehne. Dauernd muss ich mich einrenken (habe inzwischen so meine Methoden und weiß wie ich es machen kann) und die Fehlhaltung und die Schmerzen bzw. Versteifungen sind meine täglichen Begleiter.
Einrenken ist "nur" notwendige Symptombekämpfung und verhindert deshalb keine weiteren Schäden/Beschwerden, aber das weisst du wahrscheinlich selber.
Da du nichts darüber schreibst aktuell irgendeine KG zu betreiben, vermute ich, dass du das (noch!?) nicht wieder aufgenommen hast ?
Ich denke allerdings auch, dass du noch wenigstens eine Diagnose von einem kompetenten und spezialisierten Facharzt benötigst, um deine "Baustelle/n" besser zu kennen.
Lady S gab dir ja bereits den Link für, auf Skoliose spezialisierte und hier im Forum bekannte, Orthopäden.
Meinfernbus ist übrigens eine sehr günstige und genauso unbequeme Art, viele Kilometer zu reisen ^_^
Und falls du mal an einer super präzisen Vermessung deiner Wirbelsäule, mit einer zusätzlichen 3D Darstellung, interessiert sein solltest und dafür auch 140 - 180 Euro zahlen würdest , ließ mal diesen Beitrag hier:
Wenn du Einlagen bekommen sollst, wäre das Röntgen und die Vermessung deines Skelletes im Stand, immerhin nicht uninteressant (event. Beckenschiefstand, verschieden lange Beinknochen ... ).
....
Ich bin kein Mediziner und habe mich diesbezüglich auch nie informiert.
Aber welchen Zusammenhang meinst du zwischen dem Karpaltunnelsyndrom und deiner Skoliose zu sehen ?
Etwa die "ungleiche Belastung" durch das Ausfallen einer Hand mit 32 Jahren ?
Falls ja, dann musst du wissen, das Skoliose im Kindes-und Jugendalter entsteht und sich im erwachsenen Alter, durch Verschleiss und muskulärer Disbalance, verschlechtern kann.
Die Verdrehung der Wirbelform ansich, findet, zusammen mit dem Ende des Wachstums, ebenfalls sein Ende.
Oder welchen Zusammenhang meinst du dort zu sehen ?
Die Frage (Für Erwachsene) wird oft gestellt, deshalb kannst du darüber hier viele Antworten finden.Wäre es möglich und überhaupt sinnvoll jetzt noch mit fast 42 Jahren ein Korsett zu tragen?
Meine Meinung:
Es hilft beim Aufdehnen
Es hilft Muskeln in der richtigen Körperhaltung aufzubauen (Nach dem Training nicht in eine Fehlhaltung zu rutschen)
Es kann eine sehr gute Alternative zu Schmerzmitteln sein (Stichwort: Nebenwirkungen)
Und es entlastet, noch vor dem Aufbau eines eigenen Muskelkorsetts, die Wirbel/Bandscheiben, wodurch (abgesehen von der Schmerzbeseitigung) Schäden vorgebeugt werden kann.
...Aufgrund der Einschränkungen und Beschwerden, durch ein Korsett, sollte man das jedoch sorgsam auswägen.
Dr. Hoffmann in Leonberg unterstützt die Korsetttherapie und weiss anscheinend auch um die richtigen Formulierungen, um eine Reha nach Schroth und/oder Korsett bei der Kasse möglichst bewilligt zu bekommen.
Bislang habe ich hier nur ein wenig Erfahrung mit ihm. Über die anderen Ärzte kann ich, aus eigener Erfahrung, noch nichts sagen.
Wenn nun der Orthopäde, wo ich zuletzt war (woher ich auch die Aufnahmen habe), nicht gemessen hat, frage ich mich, wie das Versorgungsamt das einschätzen soll. Oder weißt du vielleicht, ob der Orthopäde dann nach misst, wenn er vom VA angeschrieben wird oder ob das Versorgungsamt die Bilder auswertet, indem es selbst misst? Als er dann jeweils 25 ° geschätzt hat, habe ich dann auch gesagt, wie - nur 25 °?! Ist es dann im Laufe der Jahre besser geworden?! Er schaute mich erstaunt an und meinte er wüsste ja nicht, wie es damals aussah..... ich glaube eher, dass die Orthopäden schon messen könnten, wenn sie wollten. Ich glaube eher, dass man hier auch wieder das Kassensystem zu spüren bekommt. Wäre ich privat versichert, würde es wohl anders aussehen, schätze ich.
Wegen der KG: ich hatte vom o.g. Orthopäden ein Rezept für KG bekommen aber es hatte nur eine Gültigkeit von zwei Wochen und ich bin kurz darauf ein paar Tage weggefahren, so dass es leider ablief. Aber ich werde mir einen neuen Termin dort machen und nochmal nach einem neuen Rezept fragen. Du hast auch Recht, die eigentlichen gezielten Übungen habe ich zum größten Teil vergessen aber die Übungen mit den Hanteln sind zwar auch sehr anstrengend, weil ich auch dabei mein Becken nach vorne schieben muss, damit ich aus dem Hohlkreuz komme und dabei muss ich leicht in die Knie und auch die Übungen sauber ausführen und bin dann quasi in gespannter Haltung. Aber es tut schon gut. Habe auch keine Schmerzen danach oder so. Dieses Training habe ich früher im gemacht und man merkt, dass die Muskeln es nicht vergessen haben.
Mit dem einrenken ist es so, dass ich angeblich auch sehr lockere Bänder habe, so dass dauernd irgendwas irgendwo ausrenkt. Hört sich blöd an, zum Beispiel spüre ich ein Stich in der linken Brusthälfte, wenn ich den linken Arm dann nach hinten drehe, knackt es und der Schmerz ist verschwunden. Früher habe ich sogar gedacht, ich hätte Herzschmerzen, aber es sind keine.
Also ich wäre natürlich bereit auch für eine Vermessung zu bezahlen und werden mir das noch anschauen. Was die Schuheinlagen betrifft kam mir das auch komisch vor: der Rheumatologe gabe mir ein Rezept, damit bin ich zu diesem orthopädischen Schuhhaus gefahren. Da musste ich mich mit nackten Füßen auf einen Scanner stellen und er meinte er würde den linken Fuß mit den Einlagen leicht erhöhen, damit auf der rechten Hüfte weniger Druck entsteht. Hört sich einerseits logisch an. Die Einlagen hole ich mir bald ab und probieren werde ich es einfach mal und hoffe, dass es fachmänisch gemacht wurde, damit ich mir nicht nachher auch noch mehr Schaden wie Nutzen antue. Es stimmt auch, dass mein rechter Fuß auch nach außen geknickt ist, das sieht man auch an den Schuhen, weil rechts außen eine stärkere Abnutzung zu sehen ist.
Wegen dem Karpaltunnelsyndrom: es betrifft ja einen Nerv, der von der Hand bis in die Schulter führt oder umgekehrt. Dieser Nerv ist für die Bewegung vom Daumen, Zeigfinger, Mittelfinger und den halben Ringfinger zuständig. Beim KTS entsteht ja eine Quetschung bzw. Engpass des Nervs. Ich dachte vielleicht hat es was mit der Skoliose zu tun, weil ja die Wirbelsäule schon nicht richtig sitzt und dadurch vielleicht irgendwo im Nervensystem Blockaden herrschen.
Ich habe so vieles nicht gewusst, auch nichts von einer Reha nach Schroth, bin doch sehr froh, dieses Forum gefunden zu haben
-
silverbell
- Newbie

- Beiträge: 10
- Registriert: Di, 01.09.2015 - 22:03
- Geschlecht: weiblich
- Diagnose: 2-fache Skoliose (S-Form)
Re: Skoliose in zwei Abschnitten (S-Form) Verlauf
Wie der Orthopäde schon reinkam: quasi zwischen Tür und Angel sollte ich ihm sagen, was das Problem ist. Seine Haltung zeigte deutlich, dass er keine Zeit hat. Als ich dann begann mehrere Sachen aufzuführen, sagte er mir, also das alles kann ich nicht auf einmal behandeln und wollte gar nicht zu Ende hören! Ich sollte dann sagen, wo genau die Schmerzen am Schlimmsten wären. Und ich müsste mir mehrere Termine machen. Aber es hängt doch alles zusammen, daran sieht man doch, dass die nicht großartig was machen wollen.Namor hat geschrieben:Das mit dem Spritzen ist bekannt, ja..
Erst wird abgetaste und dann ganz regulär KG verschrieben.
Wenn anschliessend irgendwann der erste Bandscheibenvorfall o.Ä. auftritt, bekommt man eine Piekse in den Rücken, welche die Symptome kurz lindern soll, MRT um zu schauen welche Schäden konkret bereits vorliegen und ob operiert werden muss und Ende.
Ein sehr guter Freund von mir (56 Jahre alt), ist sogar richtig überzeugt von unserem Ortopäden hier, weil der SOO gut ist, dass er nicht einmal ein Röntgenbild brauchtEin Blick und der Mann weiss was los ist ...
Aber wie erzählt man Jemanden, in dem Alter, das der jüngere und scheinbar ohnehin ahnungslosere Mensch neben ihn, mehr Ahnung hat als der geschätzte Herr Doktor ?!
Ist schon ein Trauerspiel, welches wir Betroffene oft verlieren.
Jeder muss sein eigener Doktor werden. Und das obwohl dies erfahrungsgemäß auch so gut funktioniert !!
Es gibt schließlich sehr gute Gründe, warum sogar Ärzte sich nicht selber behandeln sollten.
- sloopy
- Seiten-Eigentümerin

- Beiträge: 6123
- Registriert: Do, 01.11.2001 - 10:17
- Geschlecht: weiblich
- Diagnose: idiopathische thorakolumbal Skoliose
01/2010 thorakal 48°
09/2010 im Korsett 21°
08/2011 72h ohne Korsett ~37° - Therapie: Schroth-KG, 7 Rehas in Bad Sobernheim (91,92,93,95,97,'03,'10)
Rahmouni-Korsett 2002-2004
CCtec-Korsett 2010-2013 - Wohnort: Eifel
- Kontaktdaten:
Re: Skoliose in zwei Abschnitten (S-Form) Verlauf
Hallo silverbell,
deine Bilder lassen vermuten, dass vielleicht gar nicht die Skoliose dein Problem ist, sondern dein sagittales Profil. (Steht dein Kopf ziemlich nach vorne, wenn du dich vin der Seite betrachtest?) solltest auf jeden Fall einmal zum Spezialisten, im deine Situation kompetent abklären zu lassen. Aus NRW ist wahrscheinlich Dr. Verres in Bingen am nächsten.
Im Bochum gibt es Dr. Colemont, zu dem es hier aber sehr unterschiedliche Erfahrungen gibt. Da wäre Dr. Verres vermutlich die "sicherere" Option.
Viele Grüße
sloopy
deine Bilder lassen vermuten, dass vielleicht gar nicht die Skoliose dein Problem ist, sondern dein sagittales Profil. (Steht dein Kopf ziemlich nach vorne, wenn du dich vin der Seite betrachtest?) solltest auf jeden Fall einmal zum Spezialisten, im deine Situation kompetent abklären zu lassen. Aus NRW ist wahrscheinlich Dr. Verres in Bingen am nächsten.
Im Bochum gibt es Dr. Colemont, zu dem es hier aber sehr unterschiedliche Erfahrungen gibt. Da wäre Dr. Verres vermutlich die "sicherere" Option.
Viele Grüße
sloopy
Mein Thread: Mein CCtec (Erwachsenen)korsett und ich
"Bewahre mich vor dem naiven Glauben,es müsse im Leben alles glatt gehen. Schenke mir die nüchterne Erkenntnis, dass Schwierigkeiten, Niederlagen, Misserfolge, Rückschläge eine selbstverständliche Zugabe zum Leben sind, durch die wir wachsen und reifen." (Antoine de Saint-Exupéry)
"Bewahre mich vor dem naiven Glauben,es müsse im Leben alles glatt gehen. Schenke mir die nüchterne Erkenntnis, dass Schwierigkeiten, Niederlagen, Misserfolge, Rückschläge eine selbstverständliche Zugabe zum Leben sind, durch die wir wachsen und reifen." (Antoine de Saint-Exupéry)
- Namor
- treues Mitglied

- Beiträge: 318
- Registriert: Sa, 07.03.2015 - 11:38
- Geschlecht: männlich
- Diagnose: .
• Schmerzen (Steilst. Th7-Th11, HWS unklar)
• Rundrücken
• Depression
• Tinitus u. Trigeminus Neuralgie
• Befund -Ende 04/2015:
Kyph. 48° n. Stagnara
Sko. th 7° , lu 9° n. Cobb
Muskuläre Dysbalance - Therapie: .
• Destruktiven Sport abgebrochen
• Seit 01/2015 strecken und dehnen
• Rahmouni Korsett seit Ende 08/2015,
• Reha nach Schroth sobald KK Prozedere abgeschlossen und Termin gesichert ist.
• Ambulante Schroth KG seit Mitte 10/2015 - Wohnort: Raum Hildesheim
Re: Skoliose in zwei Abschnitten (S-Form) Verlauf
Das alles im Körper zusammenhängt ist ja soooo wahr.. Hatte ich früher, in diesem Ausmaß, auch nicht wirklich vermutet.
Jetzt verstehe ich, wie deine Überlegung bei dem Medianus Nerv ausschaut (Wurde vor ca. einem Jahr wegen aufgeschnittenen Beugesehnen operiert, daher kenne ich ihn ).
Ist auch für mich nicht völlig unvorstellbar, wobei ich darüber natürlich viel zu wenig weiss... Ich dachte erst, du vermutetest das KTS als eine Ursache für die Skoliose
Deshalb war ich etwas verwirrt.
Wichtiger als die Gradzahlen, sind ohnehin die Schäden (auch drohende) und Beschwerden.
Im Forum wurde auch oft deutlich, das die exakten Formulierungen, vom behandelnden Arzt, einen großen Einfluss auf die Bewilligung/Ablehnung haben.
Dann kommt es auch immer noch darauf an, welche Sorte Mensch den Antrag auf den Tisch gelegt bekommt.
Nachtrag:
Aber ich persönlich wählte Dr. Hoffmann nicht nur weil er hier oft gelobt wurde und spezialisiert ist, vorallem wegen der verlängerten Sprechstunde (Für einmalige 65 Euro). Ich nahm sie zwar nicht groß in Anspruch, seine innere Ruhe und mir zur verfügung stehende Zeit mit ihm, empfand ich als sehr zweckgebunden und angenehm.
..Es empfiehlt sich übrigens, unabhängig von deiner Wahl, dir alle Fragen aufzuschreiben. Sonst vergisst du noch die Hälfte auf der langen Reise und im müden Zustand
Jetzt verstehe ich, wie deine Überlegung bei dem Medianus Nerv ausschaut (Wurde vor ca. einem Jahr wegen aufgeschnittenen Beugesehnen operiert, daher kenne ich ihn ).
Ist auch für mich nicht völlig unvorstellbar, wobei ich darüber natürlich viel zu wenig weiss... Ich dachte erst, du vermutetest das KTS als eine Ursache für die Skoliose
Ich habe leider keine Ahnung, wie sich die Bürokratie dabei genau verhällt.Wenn nun der Orthopäde, wo ich zuletzt war (woher ich auch die Aufnahmen habe), nicht gemessen hat, frage ich mich, wie das Versorgungsamt das einschätzen soll. Oder weißt du vielleicht, ob der Orthopäde dann nach misst, wenn er vom VA angeschrieben wird oder ob das Versorgungsamt die Bilder auswertet, indem es selbst misst?
Wichtiger als die Gradzahlen, sind ohnehin die Schäden (auch drohende) und Beschwerden.
Im Forum wurde auch oft deutlich, das die exakten Formulierungen, vom behandelnden Arzt, einen großen Einfluss auf die Bewilligung/Ablehnung haben.
Dann kommt es auch immer noch darauf an, welche Sorte Mensch den Antrag auf den Tisch gelegt bekommt.
Nachtrag:
Wie ich bereits sagte, kann ich nicht aus der Erfahrung mit den anderen Ärzten hier sprechen.Wie der Orthopäde schon reinkam: quasi zwischen Tür und Angel sollte ich ihm sagen, was das Problem ist.
Aber ich persönlich wählte Dr. Hoffmann nicht nur weil er hier oft gelobt wurde und spezialisiert ist, vorallem wegen der verlängerten Sprechstunde (Für einmalige 65 Euro). Ich nahm sie zwar nicht groß in Anspruch, seine innere Ruhe und mir zur verfügung stehende Zeit mit ihm, empfand ich als sehr zweckgebunden und angenehm.
..Es empfiehlt sich übrigens, unabhängig von deiner Wahl, dir alle Fragen aufzuschreiben. Sonst vergisst du noch die Hälfte auf der langen Reise und im müden Zustand
Niemand ist unnütz !!!
Man kann immer noch als schlechtes Beispiel dienen.
Man kann immer noch als schlechtes Beispiel dienen.
-
silverbell
- Newbie

- Beiträge: 10
- Registriert: Di, 01.09.2015 - 22:03
- Geschlecht: weiblich
- Diagnose: 2-fache Skoliose (S-Form)
Re: Skoliose in zwei Abschnitten (S-Form) Verlauf
Hallo Sloopy, mir ist bisher nie aufgefallen, dass mein Kopf ziemlich nach vorne steht, denke eher nicht. Nur kann ich nicht auf einem gewöhnlichen 80 x 80 cm Kopfkissen schlafen und benutze ein eigenes, was ich selbst so voll gestopft habe, dass ich ein sehr festes Kissen benutze, 80 x 40 glaub ich. Ich habe auch eher nicht so häufig Kopfschmerzen oder Nackenschmerzen. Nur nach der Regelblutung neige ich dazu unter Kopfschmerzen zu leiden. Meine Beschwerden hängen wirklich mit der Wirbelsäule an sich zusammen.sloopy hat geschrieben:Hallo silverbell,
deine Bilder lassen vermuten, dass vielleicht gar nicht die Skoliose dein Problem ist, sondern dein sagittales Profil. (Steht dein Kopf ziemlich nach vorne, wenn du dich vin der Seite betrachtest?) solltest auf jeden Fall einmal zum Spezialisten, im deine Situation kompetent abklären zu lassen. Aus NRW ist wahrscheinlich Dr. Verres in Bingen am nächsten.
Im Bochum gibt es Dr. Colemont, zu dem es hier aber sehr unterschiedliche Erfahrungen gibt. Da wäre Dr. Verres vermutlich die "sicherere" Option.
Viele Grüße
sloopy
Wie meinst du das denn genau mit dem sagittalen Profil?
-
Agrimon
- Vielschreiber

- Beiträge: 939
- Registriert: Sa, 09.07.2005 - 19:18
- Geschlecht: weiblich
- Diagnose: hochthorakale Kyphoskoliose bws 24 Grad, lws 29 Grad, 4bre mit Hyperlordose
- Therapie: Korsett von Rahmouni, laufen mit MBT Schuhen, Reha 30.10. bis 26.11.2013 Bad Salzungen, wegen Peritonitis Op 2017 Korsett abgesetzt, jetzt Lumbo Train Bandage, nächste Reha 2019 geplant
- Wohnort: Pfreimd
Re: Skoliose in zwei Abschnitten (S-Form) Verlauf
Hallo Silverbell,
mit dem sagittalen Profil meint man das Profil von der Seite gesehen. Laut deinen Aufnahmen hast du eher eine geringe Skoliose, aber einen ziemlichen Rundrücken und Hohlkreuz was auch Beschwerden machen kann und das die Ärzte auch gerne übersehen oder nicht sehen wollen. Deshalb ist es auch wichtig, einen Spezialisten aufzusuchen, der dies auch mit behandeln kann. Leider ist dies keine Ganzaufnahme, dann würde man das eher sehen. Es gibt hier schon genug Berichte, die das mit Hyperkyphose und -lordose gut beschreiben. Also lesen bildet...
Gruß Agrimon
mit dem sagittalen Profil meint man das Profil von der Seite gesehen. Laut deinen Aufnahmen hast du eher eine geringe Skoliose, aber einen ziemlichen Rundrücken und Hohlkreuz was auch Beschwerden machen kann und das die Ärzte auch gerne übersehen oder nicht sehen wollen. Deshalb ist es auch wichtig, einen Spezialisten aufzusuchen, der dies auch mit behandeln kann. Leider ist dies keine Ganzaufnahme, dann würde man das eher sehen. Es gibt hier schon genug Berichte, die das mit Hyperkyphose und -lordose gut beschreiben. Also lesen bildet...
Gruß Agrimon
bin eine Frau, die mit beiden Beinen im Leben steht und noch Interesse für andere Dinge hat
Meine Skoliose-Geschichte: Meine Skoliose
Meine Skoliose-Geschichte: Meine Skoliose
- Klaus
- Moderator/in

- Beiträge: 15237
- Registriert: Mi, 23.06.2004 - 18:36
- Geschlecht: männlich
- Wohnort: Hannover
Re: Skoliose in zwei Abschnitten (S-Form) Verlauf
Hallo silverbell,
Da würde ich auch eher Dr. Verres in Bingen empfehlen s.a. hier:
viewtopic.php?f=25&t=6472
Gruß
Klaus
Dem kann ich mich nur anschliessen, es sieht sehr nach Rundrücken (Bild 2-Hyperkyphose) und Hohlkreuz (Bild 1-Hyperlordose) aus.sloopy hat geschrieben:deine Bilder lassen vermuten, dass vielleicht gar nicht die Skoliose dein Problem ist, sondern dein sagittales Profil.
Da würde ich auch eher Dr. Verres in Bingen empfehlen s.a. hier:
viewtopic.php?f=25&t=6472
Gruß
Klaus
-
silverbell
- Newbie

- Beiträge: 10
- Registriert: Di, 01.09.2015 - 22:03
- Geschlecht: weiblich
- Diagnose: 2-fache Skoliose (S-Form)
Re: Skoliose in zwei Abschnitten (S-Form) Verlauf
Hallo Klaus, hallo Agrimon, danke für den Hinweis....das versteht man also unter Hyperkyphose und Hyperlordose?
Wo ist der Unterschied zwischen Hyperkyphose und Skoliose bzw. Hyperlordose und Skoliose? Ist es so, dass die Wirbelsäule sich bei Skoliose eher seitlich verbeugt und bei der HK ud HL eher nach vorne und nach hinten verbeugt?
Die HL bereitet mir arge Probleme. Heute morgen bin ich mal wieder mit Schmerzen aufgewacht. Im Moment ist meine rechte Hüfte bzw. mein rechtes Gesäßteil ganz steif und schmerzt (Wetterumschwung?)
Zu einer Ganzaufnahme..also beim Orthopäden sah ich eine Ganzaufnahme und sah eine S auf dem Bildschirm. Auf der CD, die ich für den Rheumatologen bekam, ist diese Aufnahme allerdings nicht zu sehen, oder ich verfüge nicht über die notwendigen Programme, um alles zu sehen. Es gab noch drei weitere Bilder, die ich sehen kann und zwar das Becken an sich, was unauffällig ist sowie die rechte Schulter, wo man den Verschleiß deutlich sehen kann.
Einen schönen Samstag wünsche ich euch!
P.S. Die Strecke Dr. Verres wäre machbar, es wären für mich rund 200 Km auf der A61, also relativ stressfrei und ich müsste halt ca. 2 - 2 1/2 Stunden in Kauf nehmen.
Habe eben im Internet Stützgürtel für Rücken und Bauch entdeckt. Gibt es Erfahrungswerte bzw. sind die - unabhängig vom Grad der Fehlstellung - überhaupt was?
Wo ist der Unterschied zwischen Hyperkyphose und Skoliose bzw. Hyperlordose und Skoliose? Ist es so, dass die Wirbelsäule sich bei Skoliose eher seitlich verbeugt und bei der HK ud HL eher nach vorne und nach hinten verbeugt?
Die HL bereitet mir arge Probleme. Heute morgen bin ich mal wieder mit Schmerzen aufgewacht. Im Moment ist meine rechte Hüfte bzw. mein rechtes Gesäßteil ganz steif und schmerzt (Wetterumschwung?)
Zu einer Ganzaufnahme..also beim Orthopäden sah ich eine Ganzaufnahme und sah eine S auf dem Bildschirm. Auf der CD, die ich für den Rheumatologen bekam, ist diese Aufnahme allerdings nicht zu sehen, oder ich verfüge nicht über die notwendigen Programme, um alles zu sehen. Es gab noch drei weitere Bilder, die ich sehen kann und zwar das Becken an sich, was unauffällig ist sowie die rechte Schulter, wo man den Verschleiß deutlich sehen kann.
Einen schönen Samstag wünsche ich euch!
P.S. Die Strecke Dr. Verres wäre machbar, es wären für mich rund 200 Km auf der A61, also relativ stressfrei und ich müsste halt ca. 2 - 2 1/2 Stunden in Kauf nehmen.
Habe eben im Internet Stützgürtel für Rücken und Bauch entdeckt. Gibt es Erfahrungswerte bzw. sind die - unabhängig vom Grad der Fehlstellung - überhaupt was?
- Namor
- treues Mitglied

- Beiträge: 318
- Registriert: Sa, 07.03.2015 - 11:38
- Geschlecht: männlich
- Diagnose: .
• Schmerzen (Steilst. Th7-Th11, HWS unklar)
• Rundrücken
• Depression
• Tinitus u. Trigeminus Neuralgie
• Befund -Ende 04/2015:
Kyph. 48° n. Stagnara
Sko. th 7° , lu 9° n. Cobb
Muskuläre Dysbalance - Therapie: .
• Destruktiven Sport abgebrochen
• Seit 01/2015 strecken und dehnen
• Rahmouni Korsett seit Ende 08/2015,
• Reha nach Schroth sobald KK Prozedere abgeschlossen und Termin gesichert ist.
• Ambulante Schroth KG seit Mitte 10/2015 - Wohnort: Raum Hildesheim
Re: Skoliose in zwei Abschnitten (S-Form) Verlauf
Man kann ruhig keine Ahnung haben, wenn man weiss wo man suchen muss ^_^
Skoliose, Kyphose, Lordose (Hyper bedeutet über, darüber (hinaus)): http://www.loc-ams.ch/rtb/images/skoliose.jpg
Bildliche Erklärung zu sagittal: https://de.wikipedia.org/wiki/Sagittalebene
... Entschuldigung, Agrimon)
schon sagte, ist es auf den WS Bild, ohne Aufnahme des Kopfes und vorallem Halswirbelsäule, schwer bis unmöglich eine Aussage darüber zu treffen.
Deine Brustwirbelsäule macht aber, jetzt nachdem ich nochmal hingeschaut habe, tatsächlich den Eindruck, als würdest du eine Hyperkyphose haben und dein Kopf sich nach vorne legt, zumindest wenn ich deine Halswirbelsäule, auf dem Bild und in meiner Phantasie, weiter zeichne.
Zu einer Hyperkyphose gehört auch meistens eine begleitende Skoliose unter 10°. Fällt diese über 10° aus (Die med. Definition einer Skoliose erfordert minds. 10°), spricht man von einer Khyposkoliose.
Ob dem so ist, werden du und ein spezialisierter Facharzt besser aufklären können.
Ich könnte mir allerdings gut vorstellen, dass dir, aufgrund deines Übergewichts und der Tatsache, dass du dich jeden Tag selber siehst, deine eventuelle Hyperkyphose nicht auffällt.
Ich sehe viele übergewichtige Menschen mit einer hochsitzenden oder normalen Hyperkyphose, denen es garnicht aufzufallen scheint, weil die gesammten Körperkonturen und Proportionen so liegen, dass es halt kaum auffällt.
Erst wenn man sich die Wirbelsäule darunter vorstellt, oder die Person rapide Abnehmen würde, kann man es von Aussen "sehen".
Mein Kopf muss etwas höher liegen, damit ich es bequem habe. Wenn ich flach liege, verspüre ich ein abgeschnürtes Gefühl am Hals.
Kopfschmerzen habe ich auch selten. Nackenschmerzen eigentlich fast nie.... könnte mich jetzt nicht erinnern, wann das letzte Mal.
Skoliose, Kyphose, Lordose (Hyper bedeutet über, darüber (hinaus)): http://www.loc-ams.ch/rtb/images/skoliose.jpg
Bildliche Erklärung zu sagittal: https://de.wikipedia.org/wiki/Sagittalebene
Wie Arigmo (Nachtrag: ArigmoHallo Sloopy, mir ist bisher nie aufgefallen, dass mein Kopf ziemlich nach vorne steht, denke eher nicht.
schon sagte, ist es auf den WS Bild, ohne Aufnahme des Kopfes und vorallem Halswirbelsäule, schwer bis unmöglich eine Aussage darüber zu treffen.
Deine Brustwirbelsäule macht aber, jetzt nachdem ich nochmal hingeschaut habe, tatsächlich den Eindruck, als würdest du eine Hyperkyphose haben und dein Kopf sich nach vorne legt, zumindest wenn ich deine Halswirbelsäule, auf dem Bild und in meiner Phantasie, weiter zeichne.
Zu einer Hyperkyphose gehört auch meistens eine begleitende Skoliose unter 10°. Fällt diese über 10° aus (Die med. Definition einer Skoliose erfordert minds. 10°), spricht man von einer Khyposkoliose.
Ob dem so ist, werden du und ein spezialisierter Facharzt besser aufklären können.
Ich könnte mir allerdings gut vorstellen, dass dir, aufgrund deines Übergewichts und der Tatsache, dass du dich jeden Tag selber siehst, deine eventuelle Hyperkyphose nicht auffällt.
Ich sehe viele übergewichtige Menschen mit einer hochsitzenden oder normalen Hyperkyphose, denen es garnicht aufzufallen scheint, weil die gesammten Körperkonturen und Proportionen so liegen, dass es halt kaum auffällt.
Erst wenn man sich die Wirbelsäule darunter vorstellt, oder die Person rapide Abnehmen würde, kann man es von Aussen "sehen".
Geht mir ähnlich ! Und ich verfüge über eine hochsitzende Kyphose und dadurch auch über das (ich bleibe mal bei dem Wort) sagittale Profil.Nur kann ich nicht auf einem gewöhnlichen 80 x 80 cm Kopfkissen schlafen und benutze ein eigenes, was ich selbst so voll gestopft habe, dass ich ein sehr festes Kissen benutze, 80 x 40 glaub ich. Ich habe auch eher nicht so häufig Kopfschmerzen oder Nackenschmerzen.
Mein Kopf muss etwas höher liegen, damit ich es bequem habe. Wenn ich flach liege, verspüre ich ein abgeschnürtes Gefühl am Hals.
Kopfschmerzen habe ich auch selten. Nackenschmerzen eigentlich fast nie.... könnte mich jetzt nicht erinnern, wann das letzte Mal.
Niemand ist unnütz !!!
Man kann immer noch als schlechtes Beispiel dienen.
Man kann immer noch als schlechtes Beispiel dienen.
-
silverbell
- Newbie

- Beiträge: 10
- Registriert: Di, 01.09.2015 - 22:03
- Geschlecht: weiblich
- Diagnose: 2-fache Skoliose (S-Form)
Re: Skoliose in zwei Abschnitten (S-Form) Verlauf
Also um es mal in Zahlen zu nennen, wiege ich schwankend um die 105 Kilo bei 163 cm. Ja, ich verstehe schon was du meinst. Wenn man mich erstmal sieht wird man nicht unbedingt von einer Deformation ausgehen. Es ist aber beispielsweise deutlich, dass die rechte Schulter "hängt" während die linke Schulter gerade aussieht. Ich kann auch keine Handtasche auf dem rechten Arm tragen, weil sie sofort runterrutscht. Für mich geht also nur "Handtasche". Dann ist die Hyperlordose sehr auffällig, trotz des Gewichtes. Was die wahrscheinliche Hyperkyphose angeht ist es so, dass es nicht direkt auffällt, ich aber zum Beispiel beim Trizepstraining beim seitlichen Betrachten der rechten Körperseite im Spiegel eine deutlich Fehlstellung sehe, während ich es nicht sehe, wenn ich mich bei diesem Training von der linken Seite betrachte, dann sieht alles im Ausfallschritt ziemlich gerade aus.Ob dem so ist, werden du und ein spezialisierter Facharzt besser aufklären können.
Ich könnte mir allerdings gut vorstellen, dass dir, aufgrund deines Übergewichts und der Tatsache, dass du dich jeden Tag selber siehst, deine eventuelle Hyperkyphose nicht auffällt.
Ich sehe viele übergewichtige Menschen mit einer hochsitzenden oder normalen Hyperkyphose, denen es garnicht aufzufallen scheint, weil die gesammten Körperkonturen und Proportionen so liegen, dass es halt kaum auffällt.
Erst wenn man sich die Wirbelsäule darunter vorstellt, oder die Person rapide Abnehmen würde, kann man es von Aussen "sehen".
So könnte ich das zwar nicht beschreiben, aber mein Kopf fühlt sich schon fehlgestellt an, wenn ich keine feste Kissenunterlage habe. Ich nehme es sogar auf Reisen mit, wenn es möglich ist! Die Vorstellung, ich müsste mit einem anderen Kopfkissen aushalten, unerträglich!Wenn ich flach liege, verspüre ich ein abgeschnürtes Gefühl am Hals.Kopfschmerzen habe ich auch selten. Nackenschmerzen eigentlich fast nie.... könnte mich jetzt nicht erinnern, wann das letzte Mal.
- Klaus
- Moderator/in

- Beiträge: 15237
- Registriert: Mi, 23.06.2004 - 18:36
- Geschlecht: männlich
- Wohnort: Hannover
Re: Skoliose in zwei Abschnitten (S-Form) Verlauf
Hallo silverbell,
Gerade beim freien Training wird es schwer fallen, aufgrund von verkürzten Strukturen gezielt Rundrücken und Hohlkreuz gleichzeitig zu korrigieren. Stichwort: Schroth-korrigierte Haltung.
Gruß
Klaus
Bei der Frage und dieser anfänglichen Aussage:Wo ist der Unterschied zwischen Hyperkyphose und Skoliose bzw. Hyperlordose und Skoliose?
frage ich mich natürlich, ob Du die richtige Körperhaltung einnimmst?Ich habe nun wieder mit Kurzhanteltraining begonnen und muss ehrlich sagen, dass es mir gut tut. Empfehlen würde ich es aber nicht unbedingt weiter, weil man dabei extrem auf die Körperhaltung achten muss und die Übungen sehr sauber ausführen muss.
Gerade beim freien Training wird es schwer fallen, aufgrund von verkürzten Strukturen gezielt Rundrücken und Hohlkreuz gleichzeitig zu korrigieren. Stichwort: Schroth-korrigierte Haltung.
Gruß
Klaus
- Klaus
- Moderator/in

- Beiträge: 15237
- Registriert: Mi, 23.06.2004 - 18:36
- Geschlecht: männlich
- Wohnort: Hannover
Re: Skoliose in zwei Abschnitten (S-Form) Verlauf
Das stimmt nicht!Namor hat geschrieben:Zu einer Hyperkyphose gehört auch meistens eine begleitende Skoliose unter 10°. Fällt diese über 10° aus (Die med. Definition einer Skoliose erfordert minds. 10°), spricht man von einer Kyphoskoliose.
1. zu einer Hyperkyphose kommt häufig eine begleitende Skoliose über 10 Grad dazu, weil es unter 10 Grad keine ist und deshalb auch nicht relevant.
2. wenn die Skoliose über 20 Grad beträgt, spricht man von einer Kyphoskoliose
Gruß
Klaus