Ich bin ratlos
- Klaus
- Moderator/in

- Beiträge: 15245
- Registriert: Mi, 23.06.2004 - 18:36
- Geschlecht: männlich
- Wohnort: Hannover
Ach ja, offensichtlich habe ich mich geirrt, als ich schrieb, dass die Abschottungs-Geschichte Vergangenheit sei.
In einem Verbund von Ärzten wird man technisch bei Röntgenaufnahmen immer die Möglichkeit haben, ohne Probleme zu arbeiten oder es gibt eben nur das reine Bild ohne Vermessungsmöglichkeit, was ja leider für die verbreitete Inkompetenz spricht.
Da es offenbar keinen Standard (Bildformate und Meßtools) bei den unterschiedlichen Anbietern gibt, ist es für die überregionale kompetente Versorgung schon schwer, damit umzugehen. Insofern ist das Wort von "Unlust der Ärzte" wirklich sehr zu differenzieren.
Und wenn entsprechende Programme nicht auf der CD sind, kann man sie vielleicht im Laufe der Zeit besorgen, um für alle Fälle gerüstet zu sein. Sind diese Programme aber abgeschottet in den einzelnen Verbünden, kann man nur dem Gesundheitssystem insgesamt einen Vorwurf machen und die Wettbewerber auffordern, einen gemeinsamen Standard zu entwickeln. Ein bischen Hoffnung habe ich ja, weil die Digitaltechnik erst jetzt so richtig in Gang kommt.
Gruss
Klaus
In einem Verbund von Ärzten wird man technisch bei Röntgenaufnahmen immer die Möglichkeit haben, ohne Probleme zu arbeiten oder es gibt eben nur das reine Bild ohne Vermessungsmöglichkeit, was ja leider für die verbreitete Inkompetenz spricht.
Da es offenbar keinen Standard (Bildformate und Meßtools) bei den unterschiedlichen Anbietern gibt, ist es für die überregionale kompetente Versorgung schon schwer, damit umzugehen. Insofern ist das Wort von "Unlust der Ärzte" wirklich sehr zu differenzieren.
Und wenn entsprechende Programme nicht auf der CD sind, kann man sie vielleicht im Laufe der Zeit besorgen, um für alle Fälle gerüstet zu sein. Sind diese Programme aber abgeschottet in den einzelnen Verbünden, kann man nur dem Gesundheitssystem insgesamt einen Vorwurf machen und die Wettbewerber auffordern, einen gemeinsamen Standard zu entwickeln. Ein bischen Hoffnung habe ich ja, weil die Digitaltechnik erst jetzt so richtig in Gang kommt.
Gruss
Klaus
Hallo ihr Lieben,
leider habe ich erst gerade entdeckt, dass auf der 2. Seite noch weitergeschrieben wurde. Entschuldigung, ich hätte schon eher geantwortet
@ Silas
Was mit Dir da geschehen ist nenne ich nicht "schlechte Serviceleistung" sondern SKANDAL!
Ich kenne Deine Erkrankungen nicht im Einzelnen, aber - je nach Zustand und Befund zu dem Zeitpunkt, als Du Dich hast auf die Warteliste setzen lassen - hätte man Dich sofort überweisen MÜSSEN! Ersatzweise hätte ich mir - falls es mir so schlecht geht - sofort eine Einweisung von einem anderen Arzt geholt und nicht erst auf die Knall gewartet. Aber rein medizinisch kannst Du ja nicht beurteilen, wie schnell Du behandelt werden solltest. Manches merkt man ja gar nicht und ruckzuck landet man auf der ITS - so wie Du.
Schön, dass Du diese Schlamperei überlebt hast und ich hoffe, dass Du das nicht nochmalig durchmachen musst!
@ Alle
Unter "Grüße und Sonstiges" ist ein Beitrag von mir zu Unikliniken. Vielleicht hat jemand Lust da mal reinzuschauen und zu reden? Würde mich jedenfalls freuen!
LG
Lenaluna
leider habe ich erst gerade entdeckt, dass auf der 2. Seite noch weitergeschrieben wurde. Entschuldigung, ich hätte schon eher geantwortet
@ Silas
Was mit Dir da geschehen ist nenne ich nicht "schlechte Serviceleistung" sondern SKANDAL!
Ich kenne Deine Erkrankungen nicht im Einzelnen, aber - je nach Zustand und Befund zu dem Zeitpunkt, als Du Dich hast auf die Warteliste setzen lassen - hätte man Dich sofort überweisen MÜSSEN! Ersatzweise hätte ich mir - falls es mir so schlecht geht - sofort eine Einweisung von einem anderen Arzt geholt und nicht erst auf die Knall gewartet. Aber rein medizinisch kannst Du ja nicht beurteilen, wie schnell Du behandelt werden solltest. Manches merkt man ja gar nicht und ruckzuck landet man auf der ITS - so wie Du.
Schön, dass Du diese Schlamperei überlebt hast und ich hoffe, dass Du das nicht nochmalig durchmachen musst!
@ Alle
Unter "Grüße und Sonstiges" ist ein Beitrag von mir zu Unikliniken. Vielleicht hat jemand Lust da mal reinzuschauen und zu reden? Würde mich jedenfalls freuen!
LG
Lenaluna
Bericht Dr. Hoffmann
Hallo ihr Lieben,
heute waren wir bei Dr. Hoffmann! Zuerst zu meiner Mutter:
Dr. Hoffmann hat sich die mitgebrachten Bilder angesehen (er kann CD`s einlesen!!) und meinte, bei ihr wäre die Skoliose nicht so wichtig. Er hat sich auf ihre LWS konzentriet, d. h. 2 kaputte Bandscheiben und Spondylarhrose (schreibt man das so?). Er hat sie zu Dr. Lilieqvist nach Münster verwiesen unter dem (sehr dringenden!) Hinweis, sie käme von ihm. Auch hat er eine Infiltrationstherapie (die meine Mutter seit Jahren erfolglos bekommt!!) vorgeschlagen. Obwohl meine Mutter das mehrmals betonte fand sie kein Gehör. Von ihr wurden auch - trotz Bitte um Abklärung (und es stand auch auf der Überweisung) keine Ganzaufnahmen gemacht. Der Arzt hat den Bericht des jetzige Orthopäden als schwammig bezeichnet, allerdings nichts aber auch gar nichts zur weiteren Abklärung unternommen - nur die Überweisung nach Münster. Und sie soll ihr "Korsett" - also den breiten Gürtel - weitertragen.
Meine Mum ist ziemlich enttäuscht: Dr. Hoffmann sollte lediglich die Skoliose vermessen; so stand es auf der Überweisung und so hat sie es ihm auch gesagt. Stattdessen hat er ihren Orthopäden mehr oder weniger als unfähig hingestellt. Er hat sich allerdings nicht als Mitbehandler (Spezialist) gesehen sondern sich als den Hauptbehandler dargestellt, der meine Mutter auf biegen und brechen heilen kann. Obwohl eine umfangreiche Diagnostik und damit auch Diagnosen stattgefunden hat, soll sie jetzt eine Stufendiagnostik erhalten.
Zu mir:
Nachdem ich ihm erklärt habe, dass durch meinen Sturz permanent Schmerzen bestehen, ist bei ihm offensichtlich eine Klappe runtergegangen. Die Bilder auf den CD`s seien nicht gut für eine Diagnostik und so wurde ich komplett geröntgt, da ich eine leichte Rotation im Rücken habe. Was dann kam war der Hammer: meine LWS ist ja leicht nach rechts, dann gerade, die BWS leicht nach rechts und die HWS macht einen Knick nach links. Er meint, die WS sei zwar schief, aber nicht behandlungsbedürftig und außerdem wäre ich gesund. Gemessen wurde nicht. Meine Hüften waren für ihn sehr interessant: Die Schmerzen kämen von verkürzten Hüftbeugern (durch Hüftschiefstand, der wahrscheinlich ab Geburt ist). Auf die Frage, warum der Sturz Schmerzen ausgelöst hat, sagte er (O-Ton): Die Meisten sind enttäuscht, dass sie bei der Diagnose kein Schmerzensgeld vom Gegner bekommen! Ich betonte nochmalig, dass ich gestürzt bin und keinen Unfallgegner habe. Antwort: Trotzdem bekommen Sie von Ihrem Unfallgegner kein Geld dafür!
Nun habe ich ein Rezept für andere KG (kein Schroth) und andere Schmerzmittel, die nicht so schädlich sein aber helfen sollen.
Lange Zeit bin ich nicht mehr so gedemütigt worden! Es ist gut, dass er eine Diagnose hat und diese auch zu dem Symptomen passt (was die anderen Ärzte ja nicht hatten). Dafür bin ich ihm dankbar. ABER: Auch wenn meine Hüften seit Geburt anders sind (ich hab die Begriffe nicht mehr auf der Platte, da ich recht perplex war) ist das noch kein Grund mir indirekt Betrug vorzuwerfen. Der Unfallhergang und alles drumherum hat ihn gar nicht interessiert; er war - als ich den Sturz erwähnte - sofort abweisend zu mir. Die Überweisung war von meiner Hausärztin (also nicht BG-Abrng. sondern Krankenkasse und dazu natürlich 65,00 € für Erstberatung). Ich bin sehr gekränkt nach alledem!
Außer der moralischen Seite habe ich noch ein Problem: meine Orhtopädin diagnostizierte einen ausgeprägten Hohl-Rundrücken, der dringend Muskelaufbau braucht; Dr. C. aus Bochum diagnostizierte einen ausgeprägten Flachrücken, den ich bei novotergum behandeln lassen soll; Dr. H. aus Leonberg hat mir einen völlig gesunden Rücken diagnostiziert und ich soll auf keinen Fall Muskelaufbau machen. Was denn nun???
Ich glaube so langsam, dass ich mich auf dem Boden kriechend bei den Halbgöttern in Weiß entschuldigen muss, dass ich gestürzt bin und eine eidesstattliche Versicherung dazulege, dass ich auf keinen Fall Geld haben möchte. Vielleicht werde ich dann nicht mehr so mies behandelt...
Fazit:
Wir freuen uns, dass er anscheinend vielen Menschen helfen kann. ABER: Uns beide wird er nicht wiedersehen...
LG
Lenaluna
heute waren wir bei Dr. Hoffmann! Zuerst zu meiner Mutter:
Dr. Hoffmann hat sich die mitgebrachten Bilder angesehen (er kann CD`s einlesen!!) und meinte, bei ihr wäre die Skoliose nicht so wichtig. Er hat sich auf ihre LWS konzentriet, d. h. 2 kaputte Bandscheiben und Spondylarhrose (schreibt man das so?). Er hat sie zu Dr. Lilieqvist nach Münster verwiesen unter dem (sehr dringenden!) Hinweis, sie käme von ihm. Auch hat er eine Infiltrationstherapie (die meine Mutter seit Jahren erfolglos bekommt!!) vorgeschlagen. Obwohl meine Mutter das mehrmals betonte fand sie kein Gehör. Von ihr wurden auch - trotz Bitte um Abklärung (und es stand auch auf der Überweisung) keine Ganzaufnahmen gemacht. Der Arzt hat den Bericht des jetzige Orthopäden als schwammig bezeichnet, allerdings nichts aber auch gar nichts zur weiteren Abklärung unternommen - nur die Überweisung nach Münster. Und sie soll ihr "Korsett" - also den breiten Gürtel - weitertragen.
Meine Mum ist ziemlich enttäuscht: Dr. Hoffmann sollte lediglich die Skoliose vermessen; so stand es auf der Überweisung und so hat sie es ihm auch gesagt. Stattdessen hat er ihren Orthopäden mehr oder weniger als unfähig hingestellt. Er hat sich allerdings nicht als Mitbehandler (Spezialist) gesehen sondern sich als den Hauptbehandler dargestellt, der meine Mutter auf biegen und brechen heilen kann. Obwohl eine umfangreiche Diagnostik und damit auch Diagnosen stattgefunden hat, soll sie jetzt eine Stufendiagnostik erhalten.
Zu mir:
Nachdem ich ihm erklärt habe, dass durch meinen Sturz permanent Schmerzen bestehen, ist bei ihm offensichtlich eine Klappe runtergegangen. Die Bilder auf den CD`s seien nicht gut für eine Diagnostik und so wurde ich komplett geröntgt, da ich eine leichte Rotation im Rücken habe. Was dann kam war der Hammer: meine LWS ist ja leicht nach rechts, dann gerade, die BWS leicht nach rechts und die HWS macht einen Knick nach links. Er meint, die WS sei zwar schief, aber nicht behandlungsbedürftig und außerdem wäre ich gesund. Gemessen wurde nicht. Meine Hüften waren für ihn sehr interessant: Die Schmerzen kämen von verkürzten Hüftbeugern (durch Hüftschiefstand, der wahrscheinlich ab Geburt ist). Auf die Frage, warum der Sturz Schmerzen ausgelöst hat, sagte er (O-Ton): Die Meisten sind enttäuscht, dass sie bei der Diagnose kein Schmerzensgeld vom Gegner bekommen! Ich betonte nochmalig, dass ich gestürzt bin und keinen Unfallgegner habe. Antwort: Trotzdem bekommen Sie von Ihrem Unfallgegner kein Geld dafür!
Nun habe ich ein Rezept für andere KG (kein Schroth) und andere Schmerzmittel, die nicht so schädlich sein aber helfen sollen.
Lange Zeit bin ich nicht mehr so gedemütigt worden! Es ist gut, dass er eine Diagnose hat und diese auch zu dem Symptomen passt (was die anderen Ärzte ja nicht hatten). Dafür bin ich ihm dankbar. ABER: Auch wenn meine Hüften seit Geburt anders sind (ich hab die Begriffe nicht mehr auf der Platte, da ich recht perplex war) ist das noch kein Grund mir indirekt Betrug vorzuwerfen. Der Unfallhergang und alles drumherum hat ihn gar nicht interessiert; er war - als ich den Sturz erwähnte - sofort abweisend zu mir. Die Überweisung war von meiner Hausärztin (also nicht BG-Abrng. sondern Krankenkasse und dazu natürlich 65,00 € für Erstberatung). Ich bin sehr gekränkt nach alledem!
Außer der moralischen Seite habe ich noch ein Problem: meine Orhtopädin diagnostizierte einen ausgeprägten Hohl-Rundrücken, der dringend Muskelaufbau braucht; Dr. C. aus Bochum diagnostizierte einen ausgeprägten Flachrücken, den ich bei novotergum behandeln lassen soll; Dr. H. aus Leonberg hat mir einen völlig gesunden Rücken diagnostiziert und ich soll auf keinen Fall Muskelaufbau machen. Was denn nun???
Ich glaube so langsam, dass ich mich auf dem Boden kriechend bei den Halbgöttern in Weiß entschuldigen muss, dass ich gestürzt bin und eine eidesstattliche Versicherung dazulege, dass ich auf keinen Fall Geld haben möchte. Vielleicht werde ich dann nicht mehr so mies behandelt...
Fazit:
Wir freuen uns, dass er anscheinend vielen Menschen helfen kann. ABER: Uns beide wird er nicht wiedersehen...
LG
Lenaluna
- Klaus
- Moderator/in

- Beiträge: 15245
- Registriert: Mi, 23.06.2004 - 18:36
- Geschlecht: männlich
- Wohnort: Hannover
Hallo Lenaluna,
das scheint ja wirklich schlecht gelaufen zu sein.
Trotzdem folgende Fragen:
Gruss
Klaus
das scheint ja wirklich schlecht gelaufen zu sein.
Trotzdem folgende Fragen:
So eine Diagnostik ist nur mit Röntgenaufnahmen möglich, kann es sein, dass die auf der CD vorhandenen Aufnahmen dafür ausreichend waren?Obwohl eine umfangreiche Diagnostik und damit auch Diagnosen stattgefunden hat, soll sie jetzt eine Stufendiagnostik erhalten.
Na, das mit dem Schmerzensgeld muss doch zumindest indirekt Thema gewesen sein, so ganz verstehe ich das nicht.Die Meisten sind enttäuscht, dass sie bei der Diagnose kein Schmerzensgeld vom Gegner bekommen! ....ist das noch kein Grund mir indirekt Betrug vorzuwerfen
Du hast diesbezüglich bislang nur von Deiner Skoliose gesprochen, die offensichtlich bei Dr. Hoffmann mit einer frontalen Ganz-Aufnahme abgeklärt wurde. Hat es keine seitliche Ganz-Aufnahme gegeben?Außer der moralischen Seite habe ich noch ein Problem: meine Orhtopädin diagnostizierte einen ausgeprägten Hohl-Rundrücken, der dringend Muskelaufbau braucht; Dr. C. aus Bochum diagnostizierte einen ausgeprägten Flachrücken, den ich bei novotergum behandeln lassen soll; Dr. H. aus Leonberg hat mir einen völlig gesunden Rücken diagnostiziert und ich soll auf keinen Fall Muskelaufbau machen. Was denn nun???
Gruss
Klaus
-
minimine
- Co-Admin

- Beiträge: 6145
- Registriert: So, 17.02.2008 - 13:21
- Geschlecht: weiblich
- Diagnose: Skoliose
- Therapie: 3x Reha (2005, 2007, 2009),
Cheneau-Korsett 12/2006-01/2008,
Rahmouni-Korsett 02/2008-10/2015 - Kontaktdaten:
Hallo Lenaluna,
es tut mir Leid, dass deine Erwartungshaltung nicht erfüllt wurde.
Erstmal zu deiner Mutter: Ich denke, eine Stufendiagnostik ist schon nochmal was anderes, als die herkömmliche Diagnostik. Sie wird ja, soweit ich weiß, auch stationär durchgeführt. Wird denn deine Mutter diesen Termin in Münster wahrnehmen?
Vielleicht ist die Skoliose ja tatsächlich nur "Nebenkriegsschauplatz", weil sie evtl. nur durch Schmerzen entstanden ist oder degenerativ, also auch mit den Bandscheibenschäden zusammenhängt o.ä.?!?
Nun zu dir: Ich gehe jetzt mal davon aus, dass eine Skoliose ausgeschlossen wurde?! Kommt denn diese Schiefheit dann von diesem Hüftproblem? Silas hat oben ja auch schon geschrieben, dass es nicht nach einer Skoliose aussieht, denn deine Wirbelsäule an sich ist ja gerade.
Das mit dem Unfall und dem Schadensersatz etc. verstehe ich auch nicht so ganz... Bist du bei einem Unfall der über BG läuft nicht auch gebunden, was die ärztliche Behandlung anbelangt? Ich hatte vor zwei Jahren mal einen Unfall und im KH sagte man mir, wenn ich weitere Probleme hätte, dürfte ich nur zu ihnen kommen, weil sie die Erstbehandler wären. Ich hab dennoch mehrere Ärzte, und ich glaube auch Dr. Hoffmann, danach gefragt, ob der Unfall Auswirkungen auf die Skoliose hätte. Es wurde mir auch zufriedenstellend von allen Seiten verneint.
LG
Minimine
es tut mir Leid, dass deine Erwartungshaltung nicht erfüllt wurde.
Erstmal zu deiner Mutter: Ich denke, eine Stufendiagnostik ist schon nochmal was anderes, als die herkömmliche Diagnostik. Sie wird ja, soweit ich weiß, auch stationär durchgeführt. Wird denn deine Mutter diesen Termin in Münster wahrnehmen?
Vielleicht ist die Skoliose ja tatsächlich nur "Nebenkriegsschauplatz", weil sie evtl. nur durch Schmerzen entstanden ist oder degenerativ, also auch mit den Bandscheibenschäden zusammenhängt o.ä.?!?
Nun zu dir: Ich gehe jetzt mal davon aus, dass eine Skoliose ausgeschlossen wurde?! Kommt denn diese Schiefheit dann von diesem Hüftproblem? Silas hat oben ja auch schon geschrieben, dass es nicht nach einer Skoliose aussieht, denn deine Wirbelsäule an sich ist ja gerade.
Das mit dem Unfall und dem Schadensersatz etc. verstehe ich auch nicht so ganz... Bist du bei einem Unfall der über BG läuft nicht auch gebunden, was die ärztliche Behandlung anbelangt? Ich hatte vor zwei Jahren mal einen Unfall und im KH sagte man mir, wenn ich weitere Probleme hätte, dürfte ich nur zu ihnen kommen, weil sie die Erstbehandler wären. Ich hab dennoch mehrere Ärzte, und ich glaube auch Dr. Hoffmann, danach gefragt, ob der Unfall Auswirkungen auf die Skoliose hätte. Es wurde mir auch zufriedenstellend von allen Seiten verneint.
Also ich an deiner Stelle würde jetzt erstmal die KG machen, die dir verordnet wurde, danach kannst du ja weitersehen. Ärztliche Empfehlungen sind im Prinzip immer widersprüchlich, kenne das auch zu genüge. Leider ist dein Fall hier ja schon sehr speziall, so dass da wenig Erfahrungswerte vorliegen.meine Orhtopädin diagnostizierte einen ausgeprägten Hohl-Rundrücken, der dringend Muskelaufbau braucht; Dr. C. aus Bochum diagnostizierte einen ausgeprägten Flachrücken, den ich bei novotergum behandeln lassen soll; Dr. H. aus Leonberg hat mir einen völlig gesunden Rücken diagnostiziert und ich soll auf keinen Fall Muskelaufbau machen. Was denn nun???
LG
Minimine
LG
Minimine
Lerne von gestern, lebe und wirke im heute und hoffe für die Zukunft.
Albert Einstein
Minimine
Lerne von gestern, lebe und wirke im heute und hoffe für die Zukunft.
Albert Einstein
-
Sabona
- treues Mitglied

- Beiträge: 363
- Registriert: Mo, 23.05.2005 - 20:38
- Geschlecht: weiblich
- Diagnose: Skoliose, 89 und 87 Grad
- Therapie: Schroth
- Wohnort: OÖ.
Hallo Lenaluna,
es tut mir leid, dass bei deinem Arztbesuch so ziemlich alles daneben ging.
Auch ein Dr. Hoffmann ist nicht "Allwissend". Und anscheinend hat er auch seine "Tage". Pech nur, wenn man genau so einen erwischt.
Auch ich war seinerzeit nicht mit ihm zufrieden. Ohne mich genau zu untersuchen gab es sofort die OP-Indikation. Nur das mitgebrachte Röntgenbild war für ihn interessant. (Vom zuständigen WS-Chirurgen wurde die OP aber abgelehnt.)
Vielleicht solltest du wegen deinen Schmerzen mal einen Osteopathen aufsuchen. Mir wurde das z. B. in Bad Salzungen von der Stationsärztin empfohlen, nachdem ich meine Nackenschmerzen nicht in den Griff bekam.
(Bis ich einen fand, gingen meine Schmerzen von alleine weg).
Wünsche dir alles Gute
es tut mir leid, dass bei deinem Arztbesuch so ziemlich alles daneben ging.
Auch ein Dr. Hoffmann ist nicht "Allwissend". Und anscheinend hat er auch seine "Tage". Pech nur, wenn man genau so einen erwischt.
Auch ich war seinerzeit nicht mit ihm zufrieden. Ohne mich genau zu untersuchen gab es sofort die OP-Indikation. Nur das mitgebrachte Röntgenbild war für ihn interessant. (Vom zuständigen WS-Chirurgen wurde die OP aber abgelehnt.)
Vielleicht solltest du wegen deinen Schmerzen mal einen Osteopathen aufsuchen. Mir wurde das z. B. in Bad Salzungen von der Stationsärztin empfohlen, nachdem ich meine Nackenschmerzen nicht in den Griff bekam.
(Bis ich einen fand, gingen meine Schmerzen von alleine weg).
Wünsche dir alles Gute
Hallo ihr Lieben,
vielen Dank für eure Antworten. Ich versuche jetzt der Reihe nach zu antworten:
@robinho
Entschuldige bitte, wenn ich Dich verunsichert habe! Es lag nicht in meiner Absicht! Mach Dir bitte keine Gedanken!! Hier gibt es nur positive Berichte zu Dr. Hoffmann!
@ Klaus
Dr. Hoffmann sagte, die Bilder meiner Mutter wären gut und ausreichend. Die Stufendiagnostik sollte abklären, wo genau der Schmerz herkommt (Spondylarthrosen oder Bandscheiben). Es steht aber bereits fest, dass die Schmerzen durch die Bandscheiben und die Spinalkanalverengung kommen. Wozu also die Stufendiagnostik?
Ich habe ihm gesagt:
Im Januar hatte ich einen Sturz und seitdem Schmerzen von denen niemand genau weiß, woher sie kommen. Seit Januar bekomme ich die und die Schmerzmedikamente und ich habe durch die Hitze auf ein Medikament allergisch reagiert (meine Unterarme und Schienbeine sind voller Pusteln, die teilweise auch aufplatzen - das kann man nur im Internet nicht sehen, deshalb erwähne ich es jetzt). "Arme und Beine zeig vor dabei". Meine Physiotherapeuten und meine Hausärzten meinen, ich würde immer krummer werden. Ich kann mich nicht, wie in der KG gelernt in einer schmerzfreien Haltung halten sondern kippe immer wieder zurück. Außerdem bekommt mir die KG nicht (anschließend Schilderung der Symptome nach KG). 3 Sachen möchte ich heute abklären:
1. posttraumatische Skoliose (stand auf der Überweisung)?
2. Wie lange muss ich noch Schmerzmedikamente nehmen? Ich bin erst
33!
3. Woher kommen die Schmerzen und warum habe ich vor dem Sturz
nichts gemerkt und seitdem jeden Tage Schmerzen, so dass ich mich
teilweise kaum noch bewegen kann?
Ich weiß das deshalb noch so genau, weil es auf meinem Spickzettel stand. Bitte sag mir, wo genau ich auf Schmerzensgeld - wenn auch nur entfernt - anspiele? Ich habe keinen Unfallgegner, da ich ausgerutscht bin. Könnte mir ja selbst was zahlen
Ja eine seitliche Ganzaufnahme wurde auch gemacht, eine frontale Ganzaufnahme außerdem und mein Becken im Liegen.
@ Minimine
Die Skoliose sollte bei ihr abgeklärt werden, da sie im Rentenverfahren und im GdB-Antrag steht (hab ich gestern vergessen zu schreiben, hat sie ihm aber gesagt). Du hast Recht, sie soll stationär aufgenommen werden. So wie sie sagt, wird sie das aber nicht machen. Dr. Hoffmann sagte ihr auch selbst, dass Skoliose für ihr Vorhaben förderlich sei. Nur untersucht und die Grade hat er nicht untersucht, das ist eigenartig.
Stimmt, die Skoliose wurde bei mir ausgeschlossen. Ich war so erfreut darüber und sagte auch: Gott sei Dank, Herr Doktor!!! Woher die Schiefheit kommt - gerade auch an der HWS - hat er mir nicht gesagt.
An Ärzte gebunden bin ich insofern, dass ich Überweisungen durch das KH haben muss. Allerdings bin ich davon ausgegangen, dass lediglich die Schmerzen von dem Sturz kommen, deshalb habe ich auch eine Überweisung von meiner Hausärztin mitgenommen. Schließlich will ich keinen Aufstand machen sondern die Schmerzen wieder loswerden und den Zustand vor Sturz wiederhaben!
Die neue KG und die Medis werde ich auf jeden Fall ausprobieren! Wenn es hilft, dann umso besser!! Trotzdem bin ich der Meinung, muss ich mich nicht so anfahren lassen von einem Doc ...
LG
Lenaluna
vielen Dank für eure Antworten. Ich versuche jetzt der Reihe nach zu antworten:
@robinho
Entschuldige bitte, wenn ich Dich verunsichert habe! Es lag nicht in meiner Absicht! Mach Dir bitte keine Gedanken!! Hier gibt es nur positive Berichte zu Dr. Hoffmann!
@ Klaus
Dr. Hoffmann sagte, die Bilder meiner Mutter wären gut und ausreichend. Die Stufendiagnostik sollte abklären, wo genau der Schmerz herkommt (Spondylarthrosen oder Bandscheiben). Es steht aber bereits fest, dass die Schmerzen durch die Bandscheiben und die Spinalkanalverengung kommen. Wozu also die Stufendiagnostik?
Ich habe ihm gesagt:
Im Januar hatte ich einen Sturz und seitdem Schmerzen von denen niemand genau weiß, woher sie kommen. Seit Januar bekomme ich die und die Schmerzmedikamente und ich habe durch die Hitze auf ein Medikament allergisch reagiert (meine Unterarme und Schienbeine sind voller Pusteln, die teilweise auch aufplatzen - das kann man nur im Internet nicht sehen, deshalb erwähne ich es jetzt). "Arme und Beine zeig vor dabei". Meine Physiotherapeuten und meine Hausärzten meinen, ich würde immer krummer werden. Ich kann mich nicht, wie in der KG gelernt in einer schmerzfreien Haltung halten sondern kippe immer wieder zurück. Außerdem bekommt mir die KG nicht (anschließend Schilderung der Symptome nach KG). 3 Sachen möchte ich heute abklären:
1. posttraumatische Skoliose (stand auf der Überweisung)?
2. Wie lange muss ich noch Schmerzmedikamente nehmen? Ich bin erst
33!
3. Woher kommen die Schmerzen und warum habe ich vor dem Sturz
nichts gemerkt und seitdem jeden Tage Schmerzen, so dass ich mich
teilweise kaum noch bewegen kann?
Ich weiß das deshalb noch so genau, weil es auf meinem Spickzettel stand. Bitte sag mir, wo genau ich auf Schmerzensgeld - wenn auch nur entfernt - anspiele? Ich habe keinen Unfallgegner, da ich ausgerutscht bin. Könnte mir ja selbst was zahlen
Ja eine seitliche Ganzaufnahme wurde auch gemacht, eine frontale Ganzaufnahme außerdem und mein Becken im Liegen.
@ Minimine
Die Skoliose sollte bei ihr abgeklärt werden, da sie im Rentenverfahren und im GdB-Antrag steht (hab ich gestern vergessen zu schreiben, hat sie ihm aber gesagt). Du hast Recht, sie soll stationär aufgenommen werden. So wie sie sagt, wird sie das aber nicht machen. Dr. Hoffmann sagte ihr auch selbst, dass Skoliose für ihr Vorhaben förderlich sei. Nur untersucht und die Grade hat er nicht untersucht, das ist eigenartig.
Stimmt, die Skoliose wurde bei mir ausgeschlossen. Ich war so erfreut darüber und sagte auch: Gott sei Dank, Herr Doktor!!! Woher die Schiefheit kommt - gerade auch an der HWS - hat er mir nicht gesagt.
An Ärzte gebunden bin ich insofern, dass ich Überweisungen durch das KH haben muss. Allerdings bin ich davon ausgegangen, dass lediglich die Schmerzen von dem Sturz kommen, deshalb habe ich auch eine Überweisung von meiner Hausärztin mitgenommen. Schließlich will ich keinen Aufstand machen sondern die Schmerzen wieder loswerden und den Zustand vor Sturz wiederhaben!
Die neue KG und die Medis werde ich auf jeden Fall ausprobieren! Wenn es hilft, dann umso besser!! Trotzdem bin ich der Meinung, muss ich mich nicht so anfahren lassen von einem Doc ...
LG
Lenaluna
- Dateianhänge
-
- seitlich.jpg (11.34 KiB) 8606 mal betrachtet
-
- frontal.jpg (11.12 KiB) 8606 mal betrachtet
-
Saphira
- Profi

- Beiträge: 1511
- Registriert: Mo, 07.06.2010 - 13:49
- Geschlecht: weiblich
- Diagnose: Skoliose: hochthorakal 15°, thorakolumbal 19°;
Hüftdysplasie bds. - Therapie: "normale" KG; Schroth-Reha in Sobi 04.2011 und 12.2013; seit 11.2013 Korsett von CCtec -> Mitte 2014 wg. Hüft- und Knieproblemen samt OPs abgebrochen
Hallo Lenaluna,
es tut mir leid, dass dein Besuch bei Dr. Hoffmann für dich nicht so gut lief. Aber wenigstens konnte eine Skoliose ausgeschlossen werden (und ich konnte auf deinem eingestellten Röbi auch keine erkennen), das ist doch schonmal gut.
Wegen dem Spruch mit dem "Unfallgegener" könnte ich es mir nur so erklären, dass es eventuell eine ironische Bemerkung seinerseits war. Denn wenn du ohne Fremdeinwirkung gestürzt bist, dann ist dein "Unfallgegener" ja der Boden oder die Treppe (je nachdem, worauf du gefallen bist) und von dem kannst du ja kein Schmerzensgeld verlangen
. Also ich könnte mir vorstellen, dass er es ironisch gemeint hat und du dies vielleicht nicht so ernst nehmen darfst.
Schade für dich finde ich allerdings, dass er nicht näher darauf eingeganen ist, abzuklären, ob die Schmerzen von dem Sturz stammen können oder nicht
. Denn dies scheint ja eines deiner Hauptanliegen gewesen zu sein. Da hatte er wohl doch einen schlechten Tag. Ich hoffe nur, dass er am Donnerstag, wenn ich wieder hin muss, einen besseren Tag hat.
Ich wünsche dir trotzdem weiterhin alles Gute.
Grüßle,
Saphira
es tut mir leid, dass dein Besuch bei Dr. Hoffmann für dich nicht so gut lief. Aber wenigstens konnte eine Skoliose ausgeschlossen werden (und ich konnte auf deinem eingestellten Röbi auch keine erkennen), das ist doch schonmal gut.
Wegen dem Spruch mit dem "Unfallgegener" könnte ich es mir nur so erklären, dass es eventuell eine ironische Bemerkung seinerseits war. Denn wenn du ohne Fremdeinwirkung gestürzt bist, dann ist dein "Unfallgegener" ja der Boden oder die Treppe (je nachdem, worauf du gefallen bist) und von dem kannst du ja kein Schmerzensgeld verlangen
Schade für dich finde ich allerdings, dass er nicht näher darauf eingeganen ist, abzuklären, ob die Schmerzen von dem Sturz stammen können oder nicht
Ich wünsche dir trotzdem weiterhin alles Gute.
Grüßle,
Saphira
Hallo Saphira,
danke für Deine aufmunternden Worte! Du hast auch Recht: ich möchte wissen, ob die Schmerzen von dem Unfall kommen, da ich vorher nichts hatte (auch ausweislich meiner Sozialdaten).
Für meine Mutter tut mir das noch mehr leid: die 10 Stunden Autofahrt waren reine Quälerei für sie...
Mach Dir bitte keine negativen Gedanken zu Deinem Termin!
LG
Lenaluna
danke für Deine aufmunternden Worte! Du hast auch Recht: ich möchte wissen, ob die Schmerzen von dem Unfall kommen, da ich vorher nichts hatte (auch ausweislich meiner Sozialdaten).
Für meine Mutter tut mir das noch mehr leid: die 10 Stunden Autofahrt waren reine Quälerei für sie...
Mach Dir bitte keine negativen Gedanken zu Deinem Termin!
LG
Lenaluna
- Silas
- Profi

- Beiträge: 3067
- Registriert: Sa, 06.11.2004 - 23:34
- Geschlecht: weiblich
- Therapie: Rahmouni Korsett
Schroth KG
Eine Szintigraphie kann durchaus Hinweise auf Schmerzquellen geben.
Es werden Bereiche erhöhter Stoffwechselaktivität sichtbar.
Das können verschiedene Dinge sein, z.B. entzündliche Prozesse, Reparaturvorgänge (auch kleinere Verletzungen am nicht gebrochenen Knochen), Tumore.
Schmerzen können natürlich ganz unterschiedliche Ursachen haben, die Szinti kann hier Aufschluss / Ausschluss geben.
Vielleicht wäre manuelle Therapie auch einen Versuch wert, mir hat das bei Schmerzen schon oft Erleichterung gebracht.
Off-Topic: Mit einem "normalen" KG-Rezept kannst Du übrigens auch zum Schroth-Therapeuten gehen
Es werden Bereiche erhöhter Stoffwechselaktivität sichtbar.
Das können verschiedene Dinge sein, z.B. entzündliche Prozesse, Reparaturvorgänge (auch kleinere Verletzungen am nicht gebrochenen Knochen), Tumore.
Schmerzen können natürlich ganz unterschiedliche Ursachen haben, die Szinti kann hier Aufschluss / Ausschluss geben.
Vielleicht wäre manuelle Therapie auch einen Versuch wert, mir hat das bei Schmerzen schon oft Erleichterung gebracht.
Off-Topic: Mit einem "normalen" KG-Rezept kannst Du übrigens auch zum Schroth-Therapeuten gehen
"Man kann nicht beweisen, dass Gott nicht existiert. Aber die Wissenschaft macht Gott überflüssig."
(Stephen Hawking)
(Stephen Hawking)
@ Silas
Vielen Dank für Deine Antwort, die mir wirklich sehr weiterhilft! Dann werde ich die Szinti machen!
Dass ein normales Rezept auch für Schroth geht wusste ich nicht. Habe mir die Nr. der Hotline aus Bad Sobernheim rausgesucht und werde mir eine KG-Praxis in meiner Nähe suchen! Super, dann habe ich das, was mir auch von Dr. Herchet empfohlen wurde: alle Muskeln aufbauen, dehnen und nicht nur - wie bisher - einzelne Muskelgruppen trainieren!
Vielen, vielen Dank nochmal für den Hinweis!
Ich habe mit Püttmann in Essen telefoniert und er hat mir einen Orthopäden hier bei mir in der Nähe empfohlen der auf "kleine Fälle wie mich" auch reagiert und diese nicht als dumm abstempelt. Festhalten: es ist der Ortho meiner Mutter, der sie zur Skolioseabklärung zu Dr. Hoffmann geschickt hat...
@Alle
ICH MÖCHTE MICH BEI DEM GANZEN FORUM FÜR DIE LIEBEN UND WIRKLICH BRAUCHBAREN TIPS BEDANKEN! TROTZ DASS ICH KEINE SKOLIOSE HABE BIN ICH SEHR LIEB AUFGENOMMEN UND BERATEN WORDEN! ICH WERDE WEITER MITLESEN!
Natürlich werde ich auch berichten wie es weitergeht!
LG
Lenaluna
Vielen Dank für Deine Antwort, die mir wirklich sehr weiterhilft! Dann werde ich die Szinti machen!
Dass ein normales Rezept auch für Schroth geht wusste ich nicht. Habe mir die Nr. der Hotline aus Bad Sobernheim rausgesucht und werde mir eine KG-Praxis in meiner Nähe suchen! Super, dann habe ich das, was mir auch von Dr. Herchet empfohlen wurde: alle Muskeln aufbauen, dehnen und nicht nur - wie bisher - einzelne Muskelgruppen trainieren!
Vielen, vielen Dank nochmal für den Hinweis!
Ich habe mit Püttmann in Essen telefoniert und er hat mir einen Orthopäden hier bei mir in der Nähe empfohlen der auf "kleine Fälle wie mich" auch reagiert und diese nicht als dumm abstempelt. Festhalten: es ist der Ortho meiner Mutter, der sie zur Skolioseabklärung zu Dr. Hoffmann geschickt hat...
@Alle
ICH MÖCHTE MICH BEI DEM GANZEN FORUM FÜR DIE LIEBEN UND WIRKLICH BRAUCHBAREN TIPS BEDANKEN! TROTZ DASS ICH KEINE SKOLIOSE HABE BIN ICH SEHR LIEB AUFGENOMMEN UND BERATEN WORDEN! ICH WERDE WEITER MITLESEN!
Natürlich werde ich auch berichten wie es weitergeht!
LG
Lenaluna
-
Sommer
Hallo,
ich kann deinen Frust über diesen Orthopädentermin sehr gut nachvollziehen.
Montags scheint ein schlechter Tag für einen Termin zu sein - ging mir jedenfalls mal ebenso. Wenn dir nicht mehr einfällt, was er genau gesagt hat, lass dir da du mit Überweisung dort warst, einen Arztbrief für Hausärztin zuschicken. (Dann weisst du wohl zumindest was er zu deinen Hüften meinte und wie ernst du genommen wurdest zwecks Rückenbeschwerden). Mail schreiben oder anrufen dort nochmal.
Bist du bei deinem Sturz direkt auf den Rücken gefallen?
Gruß
Sommer
ich kann deinen Frust über diesen Orthopädentermin sehr gut nachvollziehen.
Montags scheint ein schlechter Tag für einen Termin zu sein - ging mir jedenfalls mal ebenso. Wenn dir nicht mehr einfällt, was er genau gesagt hat, lass dir da du mit Überweisung dort warst, einen Arztbrief für Hausärztin zuschicken. (Dann weisst du wohl zumindest was er zu deinen Hüften meinte und wie ernst du genommen wurdest zwecks Rückenbeschwerden). Mail schreiben oder anrufen dort nochmal.
Bist du bei deinem Sturz direkt auf den Rücken gefallen?
Gruß
Sommer
Hallo Sommer,
danke für den Tip - da bin ich nicht drauf gekommen! Ich habe bei Dr. Hoffmann angerufen und eine Kopie der Befunde (Mutter & ich) wird morgen an uns rausgesandt. Wenn er da ist werde ich berichten!
Ich bin auf die linke Körperseite gefallen; habe reflexmässig versucht mich mit der linken Hand abzustützen. Leider hat die Hand mein Gewicht nicht gehalten und ich bin auf die linke Körperseite gefallen (Schultern,Beine, Po, Rücken). Mit welchem Teil nach der Hand ich zuerst aufgeschlagen bin kann ich leider nicht sagen. Sicher ist jedoch, dass ich nicht mit dem Kopf aufgeschlagen bin.
Warum fragst Du?
LG
Lenaluna
danke für den Tip - da bin ich nicht drauf gekommen! Ich habe bei Dr. Hoffmann angerufen und eine Kopie der Befunde (Mutter & ich) wird morgen an uns rausgesandt. Wenn er da ist werde ich berichten!
Ich bin auf die linke Körperseite gefallen; habe reflexmässig versucht mich mit der linken Hand abzustützen. Leider hat die Hand mein Gewicht nicht gehalten und ich bin auf die linke Körperseite gefallen (Schultern,Beine, Po, Rücken). Mit welchem Teil nach der Hand ich zuerst aufgeschlagen bin kann ich leider nicht sagen. Sicher ist jedoch, dass ich nicht mit dem Kopf aufgeschlagen bin.
Warum fragst Du?
LG
Lenaluna
-
Sommer
- Klaus
- Moderator/in

- Beiträge: 15245
- Registriert: Mi, 23.06.2004 - 18:36
- Geschlecht: männlich
- Wohnort: Hannover
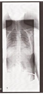
Und was hat er denn nun zu dieser Aufnahme gesagt ?lenaluna hat geschrieben:Ja eine seitliche Ganzaufnahme wurde auch gemacht, ....
Also einen Flachrücken sehe ich da nun wirklich nicht, eher einen ganz leichten Rundrücken und vor allen dingen das deutliche Hohlkreuz, was optisch wohl nicht so in den Vordergrund triit, im Gegensatz zu den Wirbelkörpern. Die HWS sieht man leider nicht, da könnte evtl. auch ein Anteil des Ausgleichs des Hohlkreuzes liegenlenaluna hat geschrieben:meine Orhtopädin diagnostizierte einen ausgeprägten Hohl-Rundrücken, der dringend Muskelaufbau braucht; Dr. C. aus Bochum diagnostizierte einen ausgeprägten Flachrücken, den ich bei novotergum behandeln lassen soll; Dr. H. aus Leonberg hat mir einen völlig gesunden Rücken diagnostiziert
Und die Aussage von Dr. Hoffmann über "völlig gesund" ist bezüglich der frontalen Aufnahme gemeint oder ?
Gruss
Klaus
Hallo ihr Lieben,
der Befund ist da (die sind vielleicht schnell - wow, großes Lob!)!
Diagnosen:
- leichter Schulterhochstand links
- Beckentiefstand zugunsten linke Seite
- Bewegungseinschränkung der gesamten WS (schmerzhaft)
- Seitendifferenzierte Rotationsfähigkeit Hüfte, IRO/ARO re. 45-0-20,
li. 20-0-40
- Massiv verkürzte Rückemuskulatur mit Lendenstrecksteife (dank KG)
- Coxa valga bds. (also ist der Schenkelhalswirbel zu steil bzw. zu groß)
- Keine Hyoerkyphose oder -Lordose
@ Sommer
Jetzt weiß ich, was mit dem Becken ist.
@ Klaus
Von ausgeprägtem Hohlkreuz steht in den Befund nichts - siehe oben. Kann das wie ein Hohlkreuz aussehen und ist jedoch Coxa valga? Aber meine Figur ist eher Hohlkreuz: Po sticht nach hinten raus und der Bauch nach vorne.
Was meinst Du?
LG
Lenaluna
der Befund ist da (die sind vielleicht schnell - wow, großes Lob!)!
Diagnosen:
- leichter Schulterhochstand links
- Beckentiefstand zugunsten linke Seite
- Bewegungseinschränkung der gesamten WS (schmerzhaft)
- Seitendifferenzierte Rotationsfähigkeit Hüfte, IRO/ARO re. 45-0-20,
li. 20-0-40
- Massiv verkürzte Rückemuskulatur mit Lendenstrecksteife (dank KG)
- Coxa valga bds. (also ist der Schenkelhalswirbel zu steil bzw. zu groß)
- Keine Hyoerkyphose oder -Lordose
@ Sommer
Jetzt weiß ich, was mit dem Becken ist.
@ Klaus
Von ausgeprägtem Hohlkreuz steht in den Befund nichts - siehe oben. Kann das wie ein Hohlkreuz aussehen und ist jedoch Coxa valga? Aber meine Figur ist eher Hohlkreuz: Po sticht nach hinten raus und der Bauch nach vorne.
Was meinst Du?
LG
Lenaluna
- Klaus
- Moderator/in

- Beiträge: 15245
- Registriert: Mi, 23.06.2004 - 18:36
- Geschlecht: männlich
- Wohnort: Hannover
Also da muss ich passen, ich sehe eine Hyperlordose (Hohlkreuz).Keine Hyoerkyphose oder -Lordose
Soll der Zusatz eine bissige Bemerkung sein ?- Massiv verkürzte Rückemuskulatur mit Lendenstrecksteife (dank KG)
Ist ja durchaus möglich und wenn man durch intensive Dehnung die "Hohlkreuz" Situation verbessern kann, ist das möglicherweise kein Hohlkreuz per Definition.
Hat Dr. Hoffmann versucht, durch entsprechenden Druck Dich in diesem Bereich aufzurichten?
Anhand des Röntgenbildes hätte ich eher gedacht, dass Deine optische Figur weniger ein "Hohlkreuz" aufweist, als die tatsächliche Stellung der Wirbelkörper.Aber meine Figur ist eher Hohlkreuz: Po sticht nach hinten raus und der Bauch nach vorne.
Aber bitte, das ist alles meine persönliche Spekulation.
Gruss
Klaus

