Meine Vorstellung und das Problem meiner Tochter
Meine Vorstellung und das Problem meiner Tochter
Hallo zusammen,
ich möchte mich als neues Mitglied vorstellen. Ich bin 45 Jahre alt und habe selbst keine Skoliose, aber immer wieder mal Probleme mit verschobenen Wirbeln und/oder einer Blockade des Iliosakralgelenks. Ein Heilpraktiker in Sendenhorst (Norbert Lutter) hat mir in der Vergangenheit super mit der Methode nach Dorn geholfen.
Seit einiger Zeit klagt meine 14-jährige Tochter über Rückenschmerzen, deshalb waren wir mit ihr bei unserem Hausarzt. Der hat eine Verschiebung der Wirbelsäule festgestellt und uns zum Orthopäden überwiesen. In der Annahme, es könnten möglicherweise (wie bei mir) einige verschobene Wirbel sein, haben wir außerdem meinen Heilpraktiker aufgesucht. Der hat quasi die Hände über dem Kopf zusammengeschlagen und uns dringend eine orthopädische Untersuchung und die Behandlung nach Schroth empfohlen. Einen Tag später fand der bereits vorher vereinbarte Termin beim Orthopäden statt. Dort wurden zunächst zwei Röntgenbilder der Wirbelsäule angefertigt. Im anschließenden Gespräch hat er meiner Tochter und meiner Frau mitgeteilt, dass unsere Tochter eine Skoliose habe, dass man da aber nichts mehr machen könne und dass sie "keine Rückenpatientin" sei, weil die ganze Sache doch nicht so gravierend sei. Trotzdem hat er sechs Behandlungen bei einem (irgendeinem) Krankengymnasten verschrieben. Als ich abends nach Hause kam und die Röntgenbilder sah, war ich ziemlich geschockt. Ich habe intensiv im Internet recherchiert und bin auf dieses Forum gestoßen, das wirklich viele wertvollen Informationen gibt.
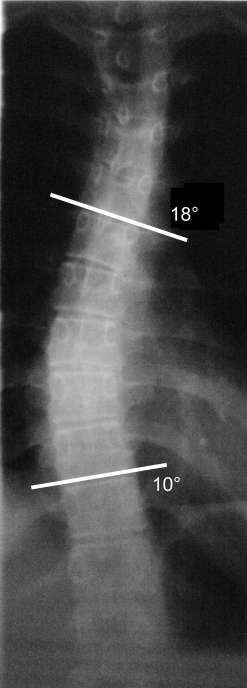
Wenn ich das Röntgenbild richtig vermessen habe (siehe Anlage), sind die Winkel thorakal 18° und lumbal 10°. Ich denke, dass man damit durchaus Rückenpatientin ist. Wir haben deshalb einen neuen Termin beim Orthopäden Dr. Balik in Hamm vereinbart, um dessen Meinung zu hören.
Herzliche Grüße
Papa14
ich möchte mich als neues Mitglied vorstellen. Ich bin 45 Jahre alt und habe selbst keine Skoliose, aber immer wieder mal Probleme mit verschobenen Wirbeln und/oder einer Blockade des Iliosakralgelenks. Ein Heilpraktiker in Sendenhorst (Norbert Lutter) hat mir in der Vergangenheit super mit der Methode nach Dorn geholfen.
Seit einiger Zeit klagt meine 14-jährige Tochter über Rückenschmerzen, deshalb waren wir mit ihr bei unserem Hausarzt. Der hat eine Verschiebung der Wirbelsäule festgestellt und uns zum Orthopäden überwiesen. In der Annahme, es könnten möglicherweise (wie bei mir) einige verschobene Wirbel sein, haben wir außerdem meinen Heilpraktiker aufgesucht. Der hat quasi die Hände über dem Kopf zusammengeschlagen und uns dringend eine orthopädische Untersuchung und die Behandlung nach Schroth empfohlen. Einen Tag später fand der bereits vorher vereinbarte Termin beim Orthopäden statt. Dort wurden zunächst zwei Röntgenbilder der Wirbelsäule angefertigt. Im anschließenden Gespräch hat er meiner Tochter und meiner Frau mitgeteilt, dass unsere Tochter eine Skoliose habe, dass man da aber nichts mehr machen könne und dass sie "keine Rückenpatientin" sei, weil die ganze Sache doch nicht so gravierend sei. Trotzdem hat er sechs Behandlungen bei einem (irgendeinem) Krankengymnasten verschrieben. Als ich abends nach Hause kam und die Röntgenbilder sah, war ich ziemlich geschockt. Ich habe intensiv im Internet recherchiert und bin auf dieses Forum gestoßen, das wirklich viele wertvollen Informationen gibt.
Wenn ich das Röntgenbild richtig vermessen habe (siehe Anlage), sind die Winkel thorakal 18° und lumbal 10°. Ich denke, dass man damit durchaus Rückenpatientin ist. Wir haben deshalb einen neuen Termin beim Orthopäden Dr. Balik in Hamm vereinbart, um dessen Meinung zu hören.
Herzliche Grüße
Papa14
- Dateianhänge
-
- Röntgenbild mit Winkelmessung
- 1d.jpg (11.82 KiB) 3506 mal betrachtet
Re: Meine Vorstellung und das Problem meiner Tochter
Hallo, das sind mehr Grade, als die, die du ausgerechnet hast. Ich würde sagen oben und unten jeweils ca. 25°. Aber zu eurem Glück hat deine Tochter noch sehr wenig Rotation, die Betonung liegt aber auf noch! Deine Tochter hat unbehandelt durchaus Potential auf >40° abzurutschen, also MACH etwas.
-
Dr. Steffan
- Arzt / Ärztin

- Beiträge: 1464
- Registriert: Fr, 24.05.2002 - 14:57
- Geschlecht: männlich
Re: Meine Vorstellung und das Problem meiner Tochter
Es handelt sich hierbei nicht um 2 Winkel, man muß zur Bestimmung des Winkels beide (oben und unten) addieren. Ich habe es mal grob am Bildschirm nachgemessen. Ihre Messung stimmt, es wären demnach nach Cobb 28°. Bei einer 14 jährigen besteht da unbedingt Handlungsbedarf, bestehend aus ambulanter Schroththerapie, Reha und Korsett.
Dr. K. Steffan
-
minimine
- Co-Admin

- Beiträge: 6145
- Registriert: So, 17.02.2008 - 13:21
- Geschlecht: weiblich
- Diagnose: Skoliose
- Therapie: 3x Reha (2005, 2007, 2009),
Cheneau-Korsett 12/2006-01/2008,
Rahmouni-Korsett 02/2008-10/2015 - Kontaktdaten:
Re: Meine Vorstellung und das Problem meiner Tochter
Hallo Papa14,
erstmal herzlich willkommen hier im
Für mich sieht das Röbi auch nach mehr Grade aus und da es nur eine Teilaufnahme ist, gehe ich nicht davon aus, dass der Orthopäde auf Skoliose spezialisiert war (bei diesen Aussagen auch wohl kaum).
Ich empfehle euch auf jeden Fall gleich zu einem Skoliose-Spezialisten zu fahren, auch wenn es nicht sehr viele davon gibt und man u.U. auch weitere Wege in Kauf nehmen muss.
Folgende Behandlungsteams wären empfehlenswert:
Prof. Niemeyer, Hamburg in Zusammenarbeit mit Orthopädietechnik CCTec
Dr. Wilke, Berlin in Zusammenarbeit mit OT Nahr
Dr. Hoffmann, Stuttgart in Zusammenarbeit mit OT Rahmouni
Dr. Steffan oder Dr. Verres, Bad Sobernheim in Zusammenarbeit mit CCTec
Ganz neu gibt es auch einige positive Berichte über die Uni-Klinik Frankfurt (Dr. Geiger) und OT Weitner.
Für euch am Nähsten wäre vielleicht die Uni-Klinik Essen mit OT Püttmann. Hier gab es in der Vergangenheit einige positive Berichte, leider aber nichts Aktuelles.
LG
Minimine
erstmal herzlich willkommen hier im

Für mich sieht das Röbi auch nach mehr Grade aus und da es nur eine Teilaufnahme ist, gehe ich nicht davon aus, dass der Orthopäde auf Skoliose spezialisiert war (bei diesen Aussagen auch wohl kaum).
Ich empfehle euch auf jeden Fall gleich zu einem Skoliose-Spezialisten zu fahren, auch wenn es nicht sehr viele davon gibt und man u.U. auch weitere Wege in Kauf nehmen muss.
Folgende Behandlungsteams wären empfehlenswert:
Ganz neu gibt es auch einige positive Berichte über die Uni-Klinik Frankfurt (Dr. Geiger) und OT Weitner.
Für euch am Nähsten wäre vielleicht die Uni-Klinik Essen mit OT Püttmann. Hier gab es in der Vergangenheit einige positive Berichte, leider aber nichts Aktuelles.
LG
Minimine
LG
Minimine
Lerne von gestern, lebe und wirke im heute und hoffe für die Zukunft.
Albert Einstein
Minimine
Lerne von gestern, lebe und wirke im heute und hoffe für die Zukunft.
Albert Einstein
Re: Meine Vorstellung und das Problem meiner Tochter
Hallo Dr. Steffan, aber eigentlich müsste doch noch oben eine weitere Gerade eingezeichnet werden, denn die oberen Brustwirbel sieht auch verkrümmt.
-
Dr. Steffan
- Arzt / Ärztin

- Beiträge: 1464
- Registriert: Fr, 24.05.2002 - 14:57
- Geschlecht: männlich
Re: Meine Vorstellung und das Problem meiner Tochter
Läßt sich, wie die lumbale Krümmung, nicht exakt messen, da die Krümmung nicht komplett abgebildet ist.robinho hat geschrieben:Hallo Dr. Steffan, aber eigentlich müsste doch noch oben eine weitere Gerade eingezeichnet werden, denn die oberen Brustwirbel sieht auch verkrümmt.
Dr. K. Steffan

