43 Jahre -Skoliose: was soll ich machen? - Innsbruck
43 Jahre -Skoliose: was soll ich machen? - Innsbruck
Hallo!
Kurz zu mir: Ich bin 43 jahre alt, männlich. Ich kann mich erinnern, dass als Kind (so ca. 10-12 jahre) eine leichte Skoliose bei mir festgestellt wurde, allerdings wurde nie etwas dagegen getan. Ich habe nicht mehr daran gedacht und jetzt bin ich 43 jahre alt, habe sehr oft Rückenschmerzen und, was mich ganz wahnsinnig macht. einen asymmetrischen Brustkorb: auf der rechten Seite stehen die Rippen (auf brustwarzenhöhe) viel weiter raus als links. Ach ja, das rechte Schulterblatt steht auch weiter raus und Taillendreiecke sind auch unterschiedlich.
Ich wollte nun endlich was unternehmen und war letzte Woche im Rückenzentrum in meiner Stadt. Es wurde ein Röntgen gemacht und der Arzt mich kurz angesehen. Er meinte nur, dass ich keinen Rippenbuckel hinten habe und diagnostizierte "geringe skoliot Fehlstellung thoracolumbal" und verschrieb "Kräftigung Schulterblattstabilisatoren und Haltungsschulung" jeweils 7 Einheiten. Auf den asymmetrischen Brustkorb ist er gar nicht eingegangen. Alles in allem war ich enttäuscht und fühlte mich nicht ernst genommen.
Ich werde mir jetzt noch die Röntgenbilder hohlen und woanders hingehen, aber wohin? Ich will wirklich etwas unternehmen und hoffe, dass ich die 1. etwas gegen die Schmerzen machen kann und 2. meine Rippen wieder besser ausrichten kann.
Ich bin aus Innsbruck in Tirol und wäre sehr froh, wenn ihr mir sagen könntet, wie ich weiter vorgehen soll und ob ihr vielleicht eine Arzt-Empfehlung habt in der Nähe.
lg rudi
Kurz zu mir: Ich bin 43 jahre alt, männlich. Ich kann mich erinnern, dass als Kind (so ca. 10-12 jahre) eine leichte Skoliose bei mir festgestellt wurde, allerdings wurde nie etwas dagegen getan. Ich habe nicht mehr daran gedacht und jetzt bin ich 43 jahre alt, habe sehr oft Rückenschmerzen und, was mich ganz wahnsinnig macht. einen asymmetrischen Brustkorb: auf der rechten Seite stehen die Rippen (auf brustwarzenhöhe) viel weiter raus als links. Ach ja, das rechte Schulterblatt steht auch weiter raus und Taillendreiecke sind auch unterschiedlich.
Ich wollte nun endlich was unternehmen und war letzte Woche im Rückenzentrum in meiner Stadt. Es wurde ein Röntgen gemacht und der Arzt mich kurz angesehen. Er meinte nur, dass ich keinen Rippenbuckel hinten habe und diagnostizierte "geringe skoliot Fehlstellung thoracolumbal" und verschrieb "Kräftigung Schulterblattstabilisatoren und Haltungsschulung" jeweils 7 Einheiten. Auf den asymmetrischen Brustkorb ist er gar nicht eingegangen. Alles in allem war ich enttäuscht und fühlte mich nicht ernst genommen.
Ich werde mir jetzt noch die Röntgenbilder hohlen und woanders hingehen, aber wohin? Ich will wirklich etwas unternehmen und hoffe, dass ich die 1. etwas gegen die Schmerzen machen kann und 2. meine Rippen wieder besser ausrichten kann.
Ich bin aus Innsbruck in Tirol und wäre sehr froh, wenn ihr mir sagen könntet, wie ich weiter vorgehen soll und ob ihr vielleicht eine Arzt-Empfehlung habt in der Nähe.
lg rudi
- Klaus
- Moderator/in

- Beiträge: 15234
- Registriert: Mi, 23.06.2004 - 18:36
- Geschlecht: männlich
- Wohnort: Hannover
Re: 43 Jahre -Skoliose: was soll ich machen?
Hallo rudi,
In Österreich gibt es nach allen Erfahrungen leider keine eindeutigen Spezialisten, so wie in Deutschland, wo es aber auch nur ganz wenige gibt.
http://www.skoliose-info-forum.de/viewt ... =25&t=6472
Da bei Dir erst einmal eine kompetente Diagnose erstellt werden muss, hilft evtl. das Skoliosetherapiezentrum in Wien Speising. Oder auch die Uniklinik in Innsbruck, die allerdings zum letzten mal 2013 erwähnt wurde.
Bei Männern mit "leichter" Skoliose kommt es nicht selten vor, dass ein Rundrücken und Hohlkreuz das eigentliche Problem sein kann. Deshalb braucht man auch immer ein Röntgenbild der gesamten Wirbelsäule von vorn und eins von der Seite, wo man das erkennen kann.
Gibt es diese Aufnahmen und hast Du einen Verdacht auf Rundrücken/Hohlkreuz?
Gruß
Klaus
Zunächst mal ist es wichtig, dass Du in Österreich wohnst. Ich habe, Dein Einverständnis vorausgesetzt, den Titel Deines Threads mit "Innnsbruck" ergänzt.Ich werde mir jetzt noch die Röntgenbilder hohlen und woanders hingehen, aber wohin?
In Österreich gibt es nach allen Erfahrungen leider keine eindeutigen Spezialisten, so wie in Deutschland, wo es aber auch nur ganz wenige gibt.
http://www.skoliose-info-forum.de/viewt ... =25&t=6472
Da bei Dir erst einmal eine kompetente Diagnose erstellt werden muss, hilft evtl. das Skoliosetherapiezentrum in Wien Speising. Oder auch die Uniklinik in Innsbruck, die allerdings zum letzten mal 2013 erwähnt wurde.
Bei Männern mit "leichter" Skoliose kommt es nicht selten vor, dass ein Rundrücken und Hohlkreuz das eigentliche Problem sein kann. Deshalb braucht man auch immer ein Röntgenbild der gesamten Wirbelsäule von vorn und eins von der Seite, wo man das erkennen kann.
Gibt es diese Aufnahmen und hast Du einen Verdacht auf Rundrücken/Hohlkreuz?
Gruß
Klaus
Re: 43 Jahre -Skoliose: was soll ich machen? - Innsbruck
Hallo Klaus!
Vielen Dank für Deine Antwort.
Ich bekomme übermorgen meine Röntgenbilder und werde sie dann hier reinstellen. Soweit ich weiss, gibt es sowohl frontal als auch seitlich eine Aufnahme.
Was mich beim Röntgen machen gewundert hat. ist, dass ich mich bei der seitlichen Aufnahme ganz verdreht hinstellen musste, also nicht einfach aufrecht, sondern die Arme angewinkelt zusammen gegen die Wand und das Becken/Hintern leicht nach hinten. Ich hoffe, das stimmt so und macht eine Skoliose auf den Bildern nicht schlechter erkennbar. Ich habe ja laut Diagnose nur eine leichte Skoliose, aber so verdreht, wie bei mir alles ist, kann ich mir das kaum vorstellen.
Schlimmstenfalls muss ich nochmal neue Röntgenaufnahmen machen lassen.
Vielen Dank für Deine Antwort.
Ich bekomme übermorgen meine Röntgenbilder und werde sie dann hier reinstellen. Soweit ich weiss, gibt es sowohl frontal als auch seitlich eine Aufnahme.
Was mich beim Röntgen machen gewundert hat. ist, dass ich mich bei der seitlichen Aufnahme ganz verdreht hinstellen musste, also nicht einfach aufrecht, sondern die Arme angewinkelt zusammen gegen die Wand und das Becken/Hintern leicht nach hinten. Ich hoffe, das stimmt so und macht eine Skoliose auf den Bildern nicht schlechter erkennbar. Ich habe ja laut Diagnose nur eine leichte Skoliose, aber so verdreht, wie bei mir alles ist, kann ich mir das kaum vorstellen.
Schlimmstenfalls muss ich nochmal neue Röntgenaufnahmen machen lassen.
Re: 43 Jahre -Skoliose: was soll ich machen? - Innsbruck
Hallo!
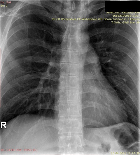
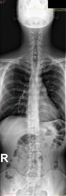
Habe die Bilder. Für mich als Laie sieht es nicht so schlimm aus auf den Röntgenaufnahmen, aber ich bin in der Realität total asymmetrisch und schief, und am extremsten ist, dass die Rippen/Brustkorb auf der rechten Seite viel mehr rausstehen und das optisch sehr auffällt.
Ist es möglich, dass (wie im vorherigen post geschrieben) durch die komische Haltung, die ich für die seitliche Aufnahme einnehmen musste, die Wirbelsäule besser aussieht als sie ist? Andererseits werden die in der Radiologie wohl wissen, wie man sich hinstellen muss.
Im Anhang die Bilder.
lg rudi
Habe die Bilder. Für mich als Laie sieht es nicht so schlimm aus auf den Röntgenaufnahmen, aber ich bin in der Realität total asymmetrisch und schief, und am extremsten ist, dass die Rippen/Brustkorb auf der rechten Seite viel mehr rausstehen und das optisch sehr auffällt.
Ist es möglich, dass (wie im vorherigen post geschrieben) durch die komische Haltung, die ich für die seitliche Aufnahme einnehmen musste, die Wirbelsäule besser aussieht als sie ist? Andererseits werden die in der Radiologie wohl wissen, wie man sich hinstellen muss.
Im Anhang die Bilder.
lg rudi
- Dateianhänge
-
- IMG-0001-00001.jpg (56.07 KiB) 11887 mal betrachtet
-
- IMG-0001-00002.jpg (47.16 KiB) 11887 mal betrachtet
-
- IMG-0001-00003.jpg (79.84 KiB) 11887 mal betrachtet
-
- IMG-0001-00004.jpg (68.72 KiB) 11887 mal betrachtet
-
- IMG-0002-00001.jpg (63.97 KiB) 11887 mal betrachtet
-
- IMG-0002-00002.jpg (45.36 KiB) 11887 mal betrachtet
-
- IMG-0002-00003.jpg (67.79 KiB) 11887 mal betrachtet
-
- IMG-0002-00004.jpg (55.1 KiB) 11887 mal betrachtet
- Klaus
- Moderator/in

- Beiträge: 15234
- Registriert: Mi, 23.06.2004 - 18:36
- Geschlecht: männlich
- Wohnort: Hannover
Re: 43 Jahre -Skoliose: was soll ich machen? - Innsbruck
Hallo rudi,
Da bleibt Dir nur, eine 2. ärztliche Meinung einzuholen. Sonst bleibt es nur Spekulation, die Dich nicht weiter bringt.
Dazu hatte ich Dir bereits den Tipp mit Innsbruck und Wien gegeben. Bitte auch die Suchfunktion des Forums mit diesen Stichworten nutzen.
Eine aktuelle hier eingestellte Erfahrung damit gibt es leider nicht.
Guck mal bitte in diesen Thread von Martina aus Österreich:
http://www.skoliose-info-forum.de/viewt ... =7&t=32954
Dort hat sie u.a. geschrieben:
Gruß
Klaus
Für mich auch nicht.Für mich als Laie sieht es nicht so schlimm aus auf den Röntgenaufnahmen, ...
...aber ich bin in der Realität total asymmetrisch und schief, und am extremsten ist, dass die Rippen/Brustkorb auf der rechten Seite viel mehr rausstehen und das optisch sehr auffällt.
Da bleibt Dir nur, eine 2. ärztliche Meinung einzuholen. Sonst bleibt es nur Spekulation, die Dich nicht weiter bringt.
Dazu hatte ich Dir bereits den Tipp mit Innsbruck und Wien gegeben. Bitte auch die Suchfunktion des Forums mit diesen Stichworten nutzen.
Eine aktuelle hier eingestellte Erfahrung damit gibt es leider nicht.
Guck mal bitte in diesen Thread von Martina aus Österreich:
http://www.skoliose-info-forum.de/viewt ... =7&t=32954
Dort hat sie u.a. geschrieben:
Sie kann Dir vielleicht weiterhelfen. Es gibt zwar Unterschiede in der Behandlung von Kindern, (Jugendlichen) und Erwachsenen, aber bezüglich Diagnostik sollte das zunächst mal keine Rolle spielen.In den letzten Jahren hat sich auch in Österreich einiges getan. Es gibt neue und auch sehr engagierte ÄrztInnen und TherapeutInnen und .....
Gruß
Klaus
-
Lady S
- Profi

- Beiträge: 1589
- Registriert: Mo, 10.06.2002 - 00:00
- Geschlecht: weiblich
- Diagnose: idiopathische Adoleszenzskoliose
2013: lumbal 64°, thorakal 56°, inzwischen vermutlich deutlich mehr. - Therapie: Seit 2003 Schroth-KG, 3 Rehas in Bad Salzungen.
- Wohnort: Nähe Stuttgart
Re: 43 Jahre -Skoliose: was soll ich machen? - Innsbruck
Ich (auch Laie) sehe nur eine geringe Seitabweichung der Wirbelsäule, aber eine deutliche Rotation, erkennbar an den "Kringeln" der Dornfortsätze und Querfortsätze. Ich denke auch, dass da ein Spezialist gefragt ist.rudi777 hat geschrieben: ↑Do, 22.04.2021 - 16:20 Für mich als Laie sieht es nicht so schlimm aus auf den Röntgenaufnahmen, aber ich bin in der Realität total asymmetrisch und schief, und am extremsten ist, dass die Rippen/Brustkorb auf der rechten Seite viel mehr rausstehen und das optisch sehr auffällt.
Grüsse, Lady S
Re: 43 Jahre -Skoliose: was soll ich machen? - Innsbruck
Hallo,
ich werde mir auf jeden Fall eine 2. Meinung einhohlen. Frage gerade rum nach einem guten Orthopäden.
Kannst du oder jemand anders hier bitte was dazu sagen, ob man durch falsche Haltung beim Röntgen das Ergebnis verfälschen kann? Kann man im Röntgen auch eine Verdrehung sehen? Könnte meine Asymmetrie hauptsächlich ein Haltungsproblem sein? Könnten die rausstehenden Rippen noch eine andere Ursache haben?
Lg
ich werde mir auf jeden Fall eine 2. Meinung einhohlen. Frage gerade rum nach einem guten Orthopäden.
Kannst du oder jemand anders hier bitte was dazu sagen, ob man durch falsche Haltung beim Röntgen das Ergebnis verfälschen kann? Kann man im Röntgen auch eine Verdrehung sehen? Könnte meine Asymmetrie hauptsächlich ein Haltungsproblem sein? Könnten die rausstehenden Rippen noch eine andere Ursache haben?
Lg
Re: 43 Jahre -Skoliose: was soll ich machen? - Innsbruck
Die Rotation ist das Problem, denke ich auch. Kann man da was machen? Ist das eine Sache für einen Orthopäden oder was meinst du mit Spezialist? Danke.Lady S hat geschrieben: ↑Do, 22.04.2021 - 19:45Ich (auch Laie) sehe nur eine geringe Seitabweichung der Wirbelsäule, aber eine deutliche Rotation, erkennbar an den "Kringeln" der Dornfortsätze und Querfortsätze. Ich denke auch, dass da ein Spezialist gefragt ist.rudi777 hat geschrieben: ↑Do, 22.04.2021 - 16:20 Für mich als Laie sieht es nicht so schlimm aus auf den Röntgenaufnahmen, aber ich bin in der Realität total asymmetrisch und schief, und am extremsten ist, dass die Rippen/Brustkorb auf der rechten Seite viel mehr rausstehen und das optisch sehr auffällt.
Grüsse, Lady S
-
Lady S
- Profi

- Beiträge: 1589
- Registriert: Mo, 10.06.2002 - 00:00
- Geschlecht: weiblich
- Diagnose: idiopathische Adoleszenzskoliose
2013: lumbal 64°, thorakal 56°, inzwischen vermutlich deutlich mehr. - Therapie: Seit 2003 Schroth-KG, 3 Rehas in Bad Salzungen.
- Wohnort: Nähe Stuttgart
Re: 43 Jahre -Skoliose: was soll ich machen? - Innsbruck
Wie ich gerade geschrieben habe, finde ich, dass man die Rotation sieht - kannst Du das nachvollziehen?
Ich habe leider keine Ahnung, wo in Österreich Du da jemanden finden könntest.
Grüsse, Lady S
Ich meine damit einen auf Wirbelsäulenverkrümmungen spezialisierten Orthopäden - um so etwas beurteilen und ggf. eine Therapie vorschlagen zu können, braucht man Erfahrung und die bekommt man nur, wenn man schon viele Patienten mit solchen Sachen gesehen hat.
Ich habe leider keine Ahnung, wo in Österreich Du da jemanden finden könntest.
Grüsse, Lady S
Re: 43 Jahre -Skoliose: was soll ich machen? - Innsbruck
Danke Lady S, ich Frage wie gesagt gerade rum, welcher Orthopäde gut ist. Ich hoffe, dass ich diese Rotation ein Stück weit verbessern kann. Ich versuche bereits selbst, mich möglichst gerade zu halten, aber es ist sehr ungewohnt und anstrengend.
- Awa
- Newbie

- Beiträge: 27
- Registriert: Do, 05.07.2018 - 18:23
- Geschlecht: weiblich
- Diagnose: kongenitale Skoliose Kreuzbein LWS 42° linkskonvex
Facettengelenkarthrosen - Therapie: Gegen Schmerzen: Engpassdehnungen nach Liebscher und Bracht und Rumpforthese nach Bedarf
Gegen Beschwerden im Bauchraum: Osteopathie
Zur Verhinderung/Verzögerung des Fortschreitens der Skoliose: Schroth erlernt in Reha 2021
Re: 43 Jahre -Skoliose: was soll ich machen? - Innsbruck
Ich bin zwar ebenfalls medizinischer Laie, aber ein deformierter Brustkorb muss nichts mit der Wirbelsäule zu tun haben. Vielleicht ist es eine Trichterbrust, eine Kielbrust oder du hattest als Kind eine leichte Rachitis (welche die meisten Ärzte heutzutage gar nicht mehr erkennen, weil in der medizinischen Fachliteratur Fotos von der extrem ausgeprägten Erkrankung zu sehen sind).
- Klaus
- Moderator/in

- Beiträge: 15234
- Registriert: Mi, 23.06.2004 - 18:36
- Geschlecht: männlich
- Wohnort: Hannover
Re: 43 Jahre -Skoliose: was soll ich machen? - Innsbruck
Hallo rudi,
Google doch mal nach "Innsbruck Skoliose". Da findest Du einen Schroth Therapeuten (Therapie nach Katharina Schroth), den Du nach einem passenden konservativ arbeitenden Arzt fragen könntest. Ansonsten findest Du da auch alte Beiträge unseres Forums zur Uniklinik in Innsbruck.
Du kannst auch Martina per PN anschreiben.
Gruß
Klaus
Wie auch Lady S geschrieben hat, geht es um einen Orthopäden, der sich mit Fehlstellungen der Wirbelsäule tatsächlich gut auskennt. Das Fachgebiet eines Orthopäden umfasst viele Themen, deswegen muss man schon gezielt nach einem möglichst konservativ arbeitenden Spezialisten für dieses Fachgebiet suchen.ich Frage wie gesagt gerade rum, welcher Orthopäde gut ist.
Google doch mal nach "Innsbruck Skoliose". Da findest Du einen Schroth Therapeuten (Therapie nach Katharina Schroth), den Du nach einem passenden konservativ arbeitenden Arzt fragen könntest. Ansonsten findest Du da auch alte Beiträge unseres Forums zur Uniklinik in Innsbruck.
Du kannst auch Martina per PN anschreiben.
Gruß
Klaus
Re: 43 Jahre -Skoliose: was soll ich machen? - Innsbruck
Hallo!
Eine Frage noch:
Was mir bei mir unklar ist. Ich habe ja nur eine leichte Skoliose, aber offenbar eine starke Rotation. Kann das zu einer Trichterbust einseitig führen? Eine Brustseite ist stärker ausgeprägt. Und ist die flache Brustseite die "normale" oder die stärker ausgeprägte? Oder sind beide falsch und das Mittel aus beiden Seiten wäre normal? Und kann das durch Übungen korrigiert werden? Oder eine OP? Im Liegen sieht es übrigens viel gleichmäßiger aus.
Und wenn ich nur eine leichte Skoliose habe, warum sind meine Tailendreiecke so unterschiedlich?
Mir ist jetzt auch aufgefallen, dass der Rückenschmerzen, abgesehen vom Lendenbereich, hauptsächlich entlang des hervorstehenden Schulterblatts manifestiert, also im oberen Bereich tut gar nicht so sehr die Wirbelsäule selbst weh, sondern das Schulterblatt bzw. der Bereich drunter entlang der unteren Kante des Blattes.
Eine Frage noch:
Was mir bei mir unklar ist. Ich habe ja nur eine leichte Skoliose, aber offenbar eine starke Rotation. Kann das zu einer Trichterbust einseitig führen? Eine Brustseite ist stärker ausgeprägt. Und ist die flache Brustseite die "normale" oder die stärker ausgeprägte? Oder sind beide falsch und das Mittel aus beiden Seiten wäre normal? Und kann das durch Übungen korrigiert werden? Oder eine OP? Im Liegen sieht es übrigens viel gleichmäßiger aus.
Und wenn ich nur eine leichte Skoliose habe, warum sind meine Tailendreiecke so unterschiedlich?
Mir ist jetzt auch aufgefallen, dass der Rückenschmerzen, abgesehen vom Lendenbereich, hauptsächlich entlang des hervorstehenden Schulterblatts manifestiert, also im oberen Bereich tut gar nicht so sehr die Wirbelsäule selbst weh, sondern das Schulterblatt bzw. der Bereich drunter entlang der unteren Kante des Blattes.
-
Lady S
- Profi

- Beiträge: 1589
- Registriert: Mo, 10.06.2002 - 00:00
- Geschlecht: weiblich
- Diagnose: idiopathische Adoleszenzskoliose
2013: lumbal 64°, thorakal 56°, inzwischen vermutlich deutlich mehr. - Therapie: Seit 2003 Schroth-KG, 3 Rehas in Bad Salzungen.
- Wohnort: Nähe Stuttgart
Re: 43 Jahre -Skoliose: was soll ich machen? - Innsbruck
Eine Trichterbrust ist etwas ganz anderes.
Du musst Dir vorstellen, dass die Rippen normalerweise quer zur Wirbelsäule weggehen. Wenn der Wirbel verdreht ist, geht die eine Rippe etwas weiter nach vorne weg und die andere etwas weiter nach hinten.
Das zu beurteilen ist Aufgabe eines Spezialisten (= Orthopäden, der sich mit Fehlstellungen der Wirbelsäule tatsächlich gut auskennt).
-
Claudielle
- Newbie

- Beiträge: 43
- Registriert: Do, 20.10.2005 - 14:47
- Wohnort: Berlin
Re: 43 Jahre -Skoliose: was soll ich machen? - Innsbruck
Hallo Rudi,
bei einer Trichterbrust ist das Brustbein (in der Mitte der vorderen Rippen ) nach innen eingezogen, bei einer Kielbrust steht es nach vorne raus. Bei einer zusätzlichen Skoliose ist dies asymmetrisch, auf der einen Seite mehr, auf der anderen weniger und auch in den seitlichen Rippen kommst Du durch Skoliose auf der einen Seite weiter nach vorne in der Rippe auf der anderen weiter nach hinten. Leider betrachten viele Orthopäden das nur als "Schönheitsmakel". Gerade aber durch die zusätzliche Asymmetrie durch Skoliose spielt es in meinen Augen eine große Rolle für die Gesamtstatik. Habe selbste ein Kielbrust und denke, das eine hat Einfluss auf das andere. Mir wurde z. B. berichtet, dass ich als Baby wegen der Kielbrust viel auf dem Bauch liegen sollte, könnte mir vorstellen, dass dadurch die Wirbelsäule in die Breite gegangen ist. Auch zieht sie nach hinten weg, wodurch ich ganz stark ins Hohlkreuz komme, wenn ich nicht breit kann. Ich muss entweder vorne ins Volumen oder hinten im oberen Rücken.
Zu der Aussage des Arztes, Du hättest keinen Rippenbuckel hinten. Du hast aber ein Schulterblatt, das nach hinten absteht, wie Du schreibst, da müsste nach meinem Verständnis der Rippenbuckel hinten sein. Also die Rippenausbuchtungen sind immer versetzt, wo auf der einen Seite hinten, auf der anderen Seite nach vorne und umgekehrt. Mit Steilstellungen kann es sein, dass die Ausbuchtungen nicht so auffallen, so war es bei mir auch.
bei einer Trichterbrust ist das Brustbein (in der Mitte der vorderen Rippen ) nach innen eingezogen, bei einer Kielbrust steht es nach vorne raus. Bei einer zusätzlichen Skoliose ist dies asymmetrisch, auf der einen Seite mehr, auf der anderen weniger und auch in den seitlichen Rippen kommst Du durch Skoliose auf der einen Seite weiter nach vorne in der Rippe auf der anderen weiter nach hinten. Leider betrachten viele Orthopäden das nur als "Schönheitsmakel". Gerade aber durch die zusätzliche Asymmetrie durch Skoliose spielt es in meinen Augen eine große Rolle für die Gesamtstatik. Habe selbste ein Kielbrust und denke, das eine hat Einfluss auf das andere. Mir wurde z. B. berichtet, dass ich als Baby wegen der Kielbrust viel auf dem Bauch liegen sollte, könnte mir vorstellen, dass dadurch die Wirbelsäule in die Breite gegangen ist. Auch zieht sie nach hinten weg, wodurch ich ganz stark ins Hohlkreuz komme, wenn ich nicht breit kann. Ich muss entweder vorne ins Volumen oder hinten im oberen Rücken.
Zu der Aussage des Arztes, Du hättest keinen Rippenbuckel hinten. Du hast aber ein Schulterblatt, das nach hinten absteht, wie Du schreibst, da müsste nach meinem Verständnis der Rippenbuckel hinten sein. Also die Rippenausbuchtungen sind immer versetzt, wo auf der einen Seite hinten, auf der anderen Seite nach vorne und umgekehrt. Mit Steilstellungen kann es sein, dass die Ausbuchtungen nicht so auffallen, so war es bei mir auch.
Claudielle