Hallo zusammen!
Ich darf mich zunächst vorstellen: Ich bin Mario, 29 Jahre, Student per 2tem Bildungsweg. Anfang Jänner/Februar bekam ich immer mal wieder Rückenschmerzen innerhalb der Brustwirbelsäule. Ein besonderes Ereignis, welches Diese ausgelöst hätte, wäre mir nicht bekannt. Am Anfang vergingen und kamen die Rückenschmerzen immer mal wieder, aber insbesondere in letzter Zeit werden Diese eigentlich immer mehr und sind permanent auf einem signifikantem Level vorhanden.
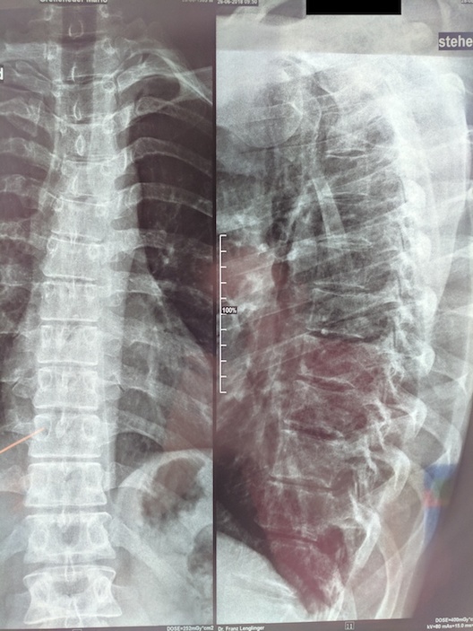
Nachdem ich seit mehreren Wochen bzw. Monaten keine Besserung feststellen konnte, hat mir mein Hausarzt endlich eine Überweisung zu einem Orthopäden (leider kein Skoliose-Spezialist) ausgestellt, außerdem hat er initial ein Röntgen veranlasst, dessen Bilder ich angehängt habe.
Lt. dem radiologischem Bericht handelt es sich hier nur um eine "leichte" linkskonvexe Skoliose, wobei hier auch nur die Brustwirbelsäule abgebildet ist.
Für mich wäre jetzt in erster Instanz interessant, ob hier anhand der Bilder überhaupt Handlungsbedarf in Richtung Skoliose (Schroth etc.) besteht. Ich habe leider kein Ganzkörper-Röntgen, aber vielleicht kann man anhand dem BWS-Röntgen ja die Grad abschätzen? Ich habe mich zwar schon ein wenig in das Thema eingelesen, aber ich fühle mich diesbezgl. noch ein wenig uninformiert - mein Hausarzt ist leider auch keine große Hilfe und er meint, ich solle abwarten und mir keine Sorgen machen. Leider sieht man am Röntgen ja keine Weichteile, aber theoretisch könnte hinter meinen Beschwerden ja auch ein Bandscheibenvorfall o.Ä. liegen, allerdings habe ich keine Ausstrahlungen bzw. neurologische Symptomatik.
Davon abgesehen sorge ich eigentlich dafür, dass ich mich ausreichend bewege, außerdem gehe ich 2-3mal pro Woche ins Fitnessstudio (Kieser Training) und trainiere dort auch an entsprechenden Rückenmaschinen.
Es sind hier viele Leute unterwegs, die sich gut auszukennen scheinen, über gutgemeinte Tipps bzw. Ratschläge würde ich mich sehr freuen - vielen Dank!
Leichte linkskonvexe Skoliose obere BWS - Handlungsbedarf?
-
Mario777
- Newbie

- Beiträge: 1
- Registriert: Do, 28.06.2018 - 09:53
- Geschlecht: männlich
- Wohnort: Wels, Oberösterreich
Leichte linkskonvexe Skoliose obere BWS - Handlungsbedarf?
- Dateianhänge
-
- IMG_20180627_185026.jpg (139.75 KiB) 10154 mal betrachtet
-
- IMG_20180627_185119.jpg (135.12 KiB) 10154 mal betrachtet
-
- IMG_20180628_133216.jpg
- (137.18 KiB) Noch nie heruntergeladen