Op ja oder nein ? Geistheilung ?

Fragen und Antworten rund um das Thema Skoliose
Antworten
Julia89
Newbie
Newbie
Beiträge: 12
Registriert: Di, 13.02.2018 - 15:31
Geschlecht: weiblich
Diagnose: Skoliose LWS 41 Grad ( idiopathisch ) Kyphose 40 Grad
Therapie: Pilates, Schroth
Wohnort: Nürnberg

Op ja oder nein ? Geistheilung ?

Beitrag von Julia89 »

Liebe Mitglieder,

ich habe mich nun hier angemeldet weil ich mir Rat , Tipps und die ein oder andere Erfahrung von Euch erhoffe.

Ich heisse Julia, bin 28 und habe seid dem 10 Lebensjahr ( hatte in dieser Zeit eine Wachstumsbehandlung mit Hormonen da ich sonst 1,98m geworden wäre ) Skoliose. Erst leicht ,ca 8 Grad und mittlerweile mit 28 Jahren sind es 41 Grad. Meine Familie hat es nicht bemerkt da ich mich immer ausgerichtet habe und ich selbst wollte es nicht wahr haben. In den letzten 2 Jahren hat sich meine Skoliose um 2 bis 3 Grad verschlimmert.

Ich war inzw. in der Werner Wicker Klinik, in der Schön Klinik in Neustadt Holstein und in der Schön Klinik in Vogtareuth. Die ersten beiden sagten mir bei meinem Besuch vor 5 Monaten ,dass eine Op möglich wäre, aber aktuell noch nicht zwingend da meine Wirbelsäule auch noch recht beweglich sei. In Vogtareuth sagte man mir besser sofort operieren denn es würde sich definitv verschlechtern.
Ich habe Schmerzen wenn ich länger stehen muss, wenn ich arg lang sitze oder etwas schweres tragen muss. Auch ist das Optische mittlerweile ein Problem für mich. Abgesehen davon, dass ich auf Höhe Taille sehr schief bin, was ich auch nicht mehr komplett auskorrigieren kann, verdreht sich glaube ich auch immer mehr meine Brustwirbelsäule.
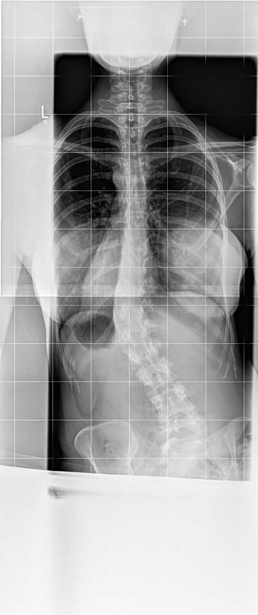
Bei mir steht der Brustknochen, bzw das Sternum total hervor ( siehe Bild , Datei ) In der Werner Wicker Klinik, sowie in Neustadt sagte man mir der vorstehende Brustknochen bzw das Sternum hätte nichts mit der Skoliose zu tun ?!? Aber die Wirbelsäule ist doch in sich verdreht, also hat es eigentlich doch etwas damit zu tun oder ? Vor 10 Jahren hatte ich diesen extremen Knochen nämlich noch nicht. Weis darüber jemand etwas ?

Auch ist der Brustkorb zw. den Brüsten arg spürbar und ich habe Brustimplantate. Das rechte verschiebt sich nun zusehens auch nach aussen, was mir ebenfalls Sorgen macht.

Ich habe eine wahnsinnige Angst vor der OP und habe bereits viel schlechtes darüber gelesen. Die Vorstellung allein ist der blanke Horror für mich. Zumal ich in Neustadt auch mit einer Dame sprach die diese OP hinter sich hat und sehr unzufrieden ist weil sie mehr Schmerzen als vorher hat und nichts mehr so wie vorher ist.
Im Moment treibe ich 2 mal die Woche Sport und mache Karfttraining. Das hilft mir auch mich wieder aufrechter zu fühlen denn manchmal fühle ich mich auch innerlich einfach total schief.

Meine Mum machte eine Heilerin ausfindig ( über Ecole san Esprit ). Bei dieser war ich bereits 5 mal. Während den jeweils 1 std. Behandlungen spürte ich ein kribbeln, ein strecken , hatte das Gefühl ich liege trotz Hohlkreuz gut auf der Liege auf. bei einer Behandlung machte sie auch den Atlas. Jetzt, nach 5 Behandlungen hat sich aber nichts positives getan. Im Gegenteil, ich habe das Gefühl es wird schlechter, verdreht sich auch mehr. Hat jemand schon mit Heilern Erfahrung gemacht ?

Und womit könnte ich das ganze noch unterstützen oder aufhalten ? Yoga ? Osteopathie ?
Im Internet sind Berichte zu finden ,dass Frauen mit 50 Grad Skoliose allein durch viel Sport wieder fast gerade wurden. Hat damit jemand Erfahrung ?
Schroth bringt mir um ehrlich zu sein nicht viel, dann eher Karftsport.


ich freue mich sehr über Antworten und den ein oder anderen netten Kontakt und Erfahrungsaustausch.

Viele Grüße aus Nürnberg, :halloatall:

Julia
Dateianhänge
7.jpg
Aufnahme Herbst 2017
(93.62 KiB) Noch nie heruntergeladen
6.jpg
Aufnahme Herbst 2017
(96.75 KiB) Noch nie heruntergeladen
Sternum das immer weiter raus ragt
Sternum das immer weiter raus ragt
dT1hSFIwY0Rvdkx6TmpMV3hwZG1VdVpHeGhiaTVqYVc1bGRHbGpMbVJsTDIxaGFXd3ZZMnhwWlc1MEwybHVkR1Z5Ym1Gc0wyRjBkR0ZqYUcxbGJuUXZaRzkzYm14dllXUXZkR0YwZERCZk1TMHRMWFJ0WVdreE5URXlaakZrTWpVNE9URmhNV1kyTzJwelpYTnphVzl1YVdROVJVTXpNelJFUWtFeU.jpg (30.17 KiB) 8119 mal betrachtet
Tigerlady
Newbie
Newbie
Beiträge: 28
Registriert: Do, 17.11.2016 - 15:37
Geschlecht: weiblich

Re: Op ja oder nein ? Geistheilung ?

Beitrag von Tigerlady »

Liebe Julia,
bei Geistheilern ist generell Vorsicht geboten, aber auch mit einfach nur viel Sport, wirst du deine 40 Grad nicht mehr gerade bekommen.
Sport hilft natürlich, die Muskulatur zu erhalten, aber zu viel Kraftsport und falsche Bewegungen können sich negativ auf deine Skoliose auswirken.
Wenn es rein optische Gründe sind, die dich zur OP bewegen, würde ich mich erst einmal gegen eine OP entscheiden und stattdessen eine skoliosespezifische Reha in Angriff nehmen. Von deinem Bericht her gehe ich davon aus, dass du dich nur in OP-Kliniken vorgestellt hast und noch keine konventionelle Behandlung mit KG hattest.
Darf ich fragen, welche Erfahrungen du mit KG nach Schroth hast? Warum denkst du, dass sie dir nichts bringt?

Gruß

Tigerlady
Julia89
Newbie
Newbie
Beiträge: 12
Registriert: Di, 13.02.2018 - 15:31
Geschlecht: weiblich
Diagnose: Skoliose LWS 41 Grad ( idiopathisch ) Kyphose 40 Grad
Therapie: Pilates, Schroth
Wohnort: Nürnberg

Re: Op ja oder nein ? Geistheilung ?

Beitrag von Julia89 »

Liebe tigerlady,

Lieben Dank für deine Antwort. Ich war im März 2016 in Bad Salzungen in der Klinik für 3 Wochen. Mir hat schroth zwar gut getan, aber es ist so, dass ich immer jemanden benötige der drauf schaut und mich korrigiert und ich hatte einfach auch das gefühl, dass kraftsport mehr bringt. Meinst du denn, dass schroth kg noch etwas an der skoliose ändert? LG julia
kuddelmuddel123
aktives Mitglied
aktives Mitglied
Beiträge: 182
Registriert: Do, 19.11.2015 - 14:27
Geschlecht: weiblich

Re: Op ja oder nein ? Geistheilung ?

Beitrag von kuddelmuddel123 »

Hallo Julia,

ich habe im Januar 2016 Schroth in meiner 4-wöchigen Reha in Bad Sobernheim gelernt. Die vierte Woche wurde auch deswegen genehmigt, weil ich die 6 Monate davor ambulant falsch nach Schroth therapiert wurde und auch noch umlernen musste.
Nach der Reha war ich doch noch unsicher in den Übungen und daher sehr froh, dass ich vom Orthopäden Rezepte für KG bekommen habe und so einmal pro Woche unter Anleitung üben konnte - parallel zum täglichen Üben (5x pro Woche) zu Hause.

Inzwischen habe ich schon ein wenig länger das Gefühl, dass ich seltener KG brauche. Die Übungen laufen recht gut und die Therapeutin muss wenig korrigieren.
2 Jahre nach der Reha habe ich eine Selbstzahler-Wiederholungswoche in Bad Salzungen gemacht. Das war wichtiger als ich vorher gedacht hatte - manches hatte sich geändert, manches sollte ich genauer machen, ...

Bei der Frage nach dem Erfolg durch Schroth muss man erstmal definieren, was ist für Dich Erfolg?
An mir selbst kann ich beobachten, dass die Muskulatur auf der T-Seite kräftiger geworden ist. Das hat aber gedauert. Es hat sich in den 2 Jahren nichts verschlechtert - im Vergleich zu den Jahren vorher, als sich die Rotation von nicht sichtbar auf 20Grad verschlechtert hatte.
Schmerzen hatte ich vorher auch keine, daher konnte sich hier nichts ändern. Insgesamt sehe ich das für mich als Erfolg und hilft mir, mich zu motivieren, weiter zu machen.

Parallel dazu mache ich - auch schon Jahre vor der Diagnose vor 2,5 Jahren - Pilates, um die Bauchmuskulatur zu stärken. Das wurde in Bad Sobernheim auch für gut befunden. Der restliche Sport dient bei mir dem Spaß und dem Herz-Kreislauf-Training.

Im Herbst 2017 habe ich ergänzend mit Spiraldynamik angefangen. Hier ist für mich das Ziel, Alltagsbewegungen wie Laufen und Treppensteigen so zu modifizieren, dass ich meine Skoliose nicht mit jedem Schritt belaste (also in die Krümmung rein falle).
Im ersten Schritt muss dazu meine Wirbelsäule erst noch beweglicher werden. Hier übe ich dran.
Als kleinen Erfolg kann ich verbuchen, dass ein Taubheitsgefühl im Zeh auf der L-Seite deutlich zurück gegangen ist. Da hat sich mit Schroth nichts dran geändert gehabt.

Hattest Du nach Deiner Reha gleich zu Hause weitergemacht mit Schroth? Oder hast Du danach eher bald aufgehört?
Warst Du mal bei einem Arzt, der sich der konservativen Behandlung verschrieben hat?

In welcher Gegend wohnst Du?
Ich weiß von Ulm, dass es dort eine Selbsthilfegruppe gibt, die 1x pro Monat ein Schroth-Training unter Anleitung organisiert.
In München gibt es eine Physiotherapiepraxis, die 1x pro Monat eine Gruppenstunde unter Anleitung organisiert.
Vermutlich gibt es das auch noch wo anderes.

Mit Geistheilern oder ähnlichem kann ich für mich nix anfangen. Ich kann mir auch nicht vorstellen, wie das auf die Wirbelsäule wirken kann.

VG, Kuddelmuddel
Benutzeravatar
Klaus
Moderator/in
Moderator/in
Beiträge: 15254
Registriert: Mi, 23.06.2004 - 18:36
Geschlecht: männlich
Wohnort: Hannover

Re: Op ja oder nein ? Geistheilung ?

Beitrag von Klaus »

Hallo Julia,
Mir hat schroth zwar gut getan, aber es ist so, dass ich immer jemanden benötige der drauf schaut und mich korrigiert und ich hatte einfach auch das gefühl, dass kraftsport mehr bringt.
Also man sollte sich nicht darauf verlassen, dass beim Kraftsport jemand kompetent drauf schaut. Es ist auch gar nicht möglich, tatsächlich die richtige korrigierte Haltung in Bekleidung zu sehen. Wenn Du in Bad Salzungen warst, gab es ja das zusätzliche Gerätetraining (ohne individuelle Kontrolle), aber unter der Vorraussetzung, dass gleichzeitig intensiv Schroth gemacht wurde.
Sinnvoller Kraftsport ist immer grundsätzlich davon abhängig, ob man mit wirklich verinnerlichten Schroth Kenntnissen ohne Hilfe trainieren kann. Abgesehen davon, halte ich Kraftsport bei Skoliose aufgrund des symmetrischen Trainings als ein nicht unbedingt zielorientiertes Training. Also kein Ersatz für Schroth bzw. aktiver gezielter Muskelpflege, wie z.Bsp. auch Spiraldynamik.

Gruß
Klaus
Tigerlady
Newbie
Newbie
Beiträge: 28
Registriert: Do, 17.11.2016 - 15:37
Geschlecht: weiblich

Re: Op ja oder nein ? Geistheilung ?

Beitrag von Tigerlady »

Hallo Julia,
ich bin der gleichen Meinung wie Klaus. Nur mit intensiver Schroth KG kannst du eine Aufrichtung und Entdrehung erreichen, bzw. einer Verschlechterung entgegenwirken. Es wäre sicher zu schnell, wenn du dich jetzt schon für eine OP entscheidest. Es gibt viele Patienten, die trotz OP immer noch Beschwerden haben. Mit falsch ausgeführten Kraftübungen könntest du deine Skoliose evtl verschlimmern.
Ich würde an deiner Stelle in der Klinik in Bad Sobernheim anrufen und mir dort die Liste von Schroth-Therapeuten in deiner Nähe geben lassen. Weiterhin würde ich einen Termin bei einem Orthopäden machen, der Skoliosespezialist ist. Empfehlungen findest du auch hier im Forum. Der kann evtl entscheiden, ob du zusätzlich zur KG ein Korsett tragen solltest, z.B. zur Unterstützung der Korrektur oder Schmerzreduktion. Dann würde ich versuchen, eine zweite Reha zu beantragen, damit du wieder die Möglichkeit hast, dir die Übungen wieder einzuprägen. Alternativ zu Bad Salzungen würde ich es dann mal mit der Klinik in Bad Sobernheim versuchen, da dir Salzungen offenbar nicht so viel gebracht hat.

LG
Tigerlady
Benutzeravatar
Radiator
aktives Mitglied
aktives Mitglied
Beiträge: 166
Registriert: Mo, 21.02.2011 - 15:34
Geschlecht: männlich
Diagnose: Motorradunfall, Scheuermann, Kyphose
Therapie: Rahmouni mit HT ab 3/2011

Re: Op ja oder nein ? Geistheilung ?

Beitrag von Radiator »

Oh, 41 Grad plus X, aber gut bewegliche WS, könnte man theoretisch neben Sport und Schroth auch durchaus noch mal mit
Erwachsenen Korsett probieren. Eienen Versuch wäre es vor einer OP ggf. auf jeden Fall wert.
Könnte nur schwierig werden, räumlich einen passenden Doc zu finden der da mit zieht.
Antworten