Wie schlimm ist es? Aktuelle WS-Ganzaufnahme
-
Kugelmaus
- Newbie

- Beiträge: 4
- Registriert: Sa, 26.06.2010 - 22:08
- Geschlecht: männlich
- Therapie: /
- Kontaktdaten:
Wie schlimm ist es? Aktuelle WS-Ganzaufnahme
Moin,
ich war vor zwei Wochen das erste mal seit Jahren bei einem Orthopäden zwecks meiner ca. 1999? diagnostizierten Skoliose. Leider habe ich die Aufnahmen von 2006 nicht (damals war ich 19), sondern nur den Befund meines damaligen Arztes...
In dem Befund von 2006 heißt es unter anderem:
Beckenschiefstand des rechten Femur um 17mm
Streckhaltung HWS mit diskreter Spondylose
Mäßige rechtskonvexe Skoliose der BWS und des thoracolumbalen Übergangs
relativ ausgeprägte linkskonvexe Torsionskoliose der LWS
Bogenschlusstörung SWK 1 als Nebenbefund
Lange Rede, kurzer Sinn: heute bin ich dann zum Röntgen gegangen (mein Orthopäde hatte eine Thoracolumbalskoliose diagnostiziert und mich zum Röntgen überwiesen) und habe das Bild auf CD mitbekommen. Es wird noch etwas dauern bis ich einen neuen Termin bekomme und einen Befund zu dem aktuellen Bild bekomme - ich habe also noch nicht Rückspräche bezüglich der Aufnahmen mit meinem behandelten Arzt nehmen können. Natürlich bin ich dennoch neugierig.
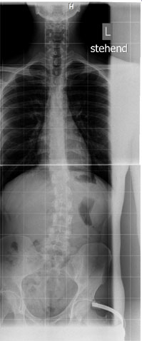
Ich muss sagen, wenn ich das aktuelle Bild mit denen von 2006 vergleiche (hier kann ich nur "Rückgriff" auf meine Erinnerungen bzgl. der Aufnahmen nemen, aber habe ja den Befund von damals vorliegen s.o.), so ist es subjektiv sogar BESSER! geworden. Ich kann auf den Röntgenaufnahmen in der oberen Hälfte meiner Wirbelsäule keine deutliche Verkrümmung erkennen. In der unteren Hälfte vermag ich in jedem Falle eine recht deutliche Skoliose und einen Beckenschiefstand zu erkennen.
Ich muss dazu sagen, dass ich bis anfang 2009 (da war ich 22) praktisch überhaupt keinen Sport gemacht habe - seitdem meinen Lebensstil aber sehr umgekrempelt habe und inzwischen recht fit/drahtig bin. Vorallem habe ich gezielt meine oberen Rückenmuskulatur gekräftigt (nur Eigengewicht-Übungen weil ich kein Risiko eingehen wollte). Kann dies damit etwas zu tun haben?
Anbei das Röntgenbild vorhin. Was meint ihr? Ist es im Vergleich zu meinem damaligen Befund besser/schlechter/unverändert geblieben? Wie hoch meint ihr ist der Cobb-Winkel?
LG
Kugel
ich war vor zwei Wochen das erste mal seit Jahren bei einem Orthopäden zwecks meiner ca. 1999? diagnostizierten Skoliose. Leider habe ich die Aufnahmen von 2006 nicht (damals war ich 19), sondern nur den Befund meines damaligen Arztes...
In dem Befund von 2006 heißt es unter anderem:
Beckenschiefstand des rechten Femur um 17mm
Streckhaltung HWS mit diskreter Spondylose
Mäßige rechtskonvexe Skoliose der BWS und des thoracolumbalen Übergangs
relativ ausgeprägte linkskonvexe Torsionskoliose der LWS
Bogenschlusstörung SWK 1 als Nebenbefund
Lange Rede, kurzer Sinn: heute bin ich dann zum Röntgen gegangen (mein Orthopäde hatte eine Thoracolumbalskoliose diagnostiziert und mich zum Röntgen überwiesen) und habe das Bild auf CD mitbekommen. Es wird noch etwas dauern bis ich einen neuen Termin bekomme und einen Befund zu dem aktuellen Bild bekomme - ich habe also noch nicht Rückspräche bezüglich der Aufnahmen mit meinem behandelten Arzt nehmen können. Natürlich bin ich dennoch neugierig.
Ich muss sagen, wenn ich das aktuelle Bild mit denen von 2006 vergleiche (hier kann ich nur "Rückgriff" auf meine Erinnerungen bzgl. der Aufnahmen nemen, aber habe ja den Befund von damals vorliegen s.o.), so ist es subjektiv sogar BESSER! geworden. Ich kann auf den Röntgenaufnahmen in der oberen Hälfte meiner Wirbelsäule keine deutliche Verkrümmung erkennen. In der unteren Hälfte vermag ich in jedem Falle eine recht deutliche Skoliose und einen Beckenschiefstand zu erkennen.
Ich muss dazu sagen, dass ich bis anfang 2009 (da war ich 22) praktisch überhaupt keinen Sport gemacht habe - seitdem meinen Lebensstil aber sehr umgekrempelt habe und inzwischen recht fit/drahtig bin. Vorallem habe ich gezielt meine oberen Rückenmuskulatur gekräftigt (nur Eigengewicht-Übungen weil ich kein Risiko eingehen wollte). Kann dies damit etwas zu tun haben?
Anbei das Röntgenbild vorhin. Was meint ihr? Ist es im Vergleich zu meinem damaligen Befund besser/schlechter/unverändert geblieben? Wie hoch meint ihr ist der Cobb-Winkel?
LG
Kugel
- Dateianhänge
-
- webmedium.jpg (16.15 KiB) 4734 mal betrachtet
- Klaus
- Moderator/in

- Beiträge: 15235
- Registriert: Mi, 23.06.2004 - 18:36
- Geschlecht: männlich
- Wohnort: Hannover
Re: Wie schlimm ist es? Aktuelle WS-Ganzaufnahme
Hallo Kugel,
ist denn auch eine seitliche Röntgenaufnahme gemacht worden?
Gruß
Klaus
ist denn auch eine seitliche Röntgenaufnahme gemacht worden?
So eine Diagnose kann man eigentlich nur aus so einer Aufnahme machen und das könnte generell auf seitliche Fehlstellungen wie Rundrücken oder Hohlkreuz hinweisen. ??Streckhaltung HWS
Gruß
Klaus
-
Kugelmaus
- Newbie

- Beiträge: 4
- Registriert: Sa, 26.06.2010 - 22:08
- Geschlecht: männlich
- Therapie: /
- Kontaktdaten:
Re: Wie schlimm ist es? Aktuelle WS-Ganzaufnahme
Es ist keine seitliche Aufnahme gemacht worden.
Ein Hohlkreuz habe ich definitiv (hat mir der aktuelle Orthopäde gesagt und es steht auch auf dem Befund von 2006: "Hyperlordose ohne Gefügestörung").
Das ist, seitdem ich mit gezielten Dehn- und Kraftübungen dagegensteuere, aber schon sichtbar besser geworden.
Ich danke dir für deine Rückmeldung, Klaus
Ein Hohlkreuz habe ich definitiv (hat mir der aktuelle Orthopäde gesagt und es steht auch auf dem Befund von 2006: "Hyperlordose ohne Gefügestörung").
Das ist, seitdem ich mit gezielten Dehn- und Kraftübungen dagegensteuere, aber schon sichtbar besser geworden.
Ich danke dir für deine Rückmeldung, Klaus
- Klaus
- Moderator/in

- Beiträge: 15235
- Registriert: Mi, 23.06.2004 - 18:36
- Geschlecht: männlich
- Wohnort: Hannover
Re: Wie schlimm ist es? Aktuelle WS-Ganzaufnahme
Hallo Kugelmaus,
Und kein Rundrücken (Hyperkyphose)?
Ich will damit sagen, dass solche seitlichen Fehlstellungen genauso ernst genommen werden müssen, wie eine Skoliose !
Grundsätzlich sind die Begriffe "ausgeprägt" oder "mäßig" nicht aussagekräftig. Es gehört die konkrete Ausmessung der Winkel zu einer kompetenten Diagnose. Ich bin skeptisch, was der Orthopäde daraus macht und insbesondere, was er an Behandlung empfiehlt. Die meisten Erfahrungsberichte sagen immer wieder neu, dass die Versorgung bei Fehlstellung in der Region schlecht ist. Deshalb empfehle ich Dir eher einen Spezialisten, um weiteren Frust zu ersparen.
viewtopic.php?f=25&t=6472
Gruß
Klaus
Das hat er zusammen mit der "Streckhaltung HWS" offensichtlich nur rein optisch gesehen ?Ein Hohlkreuz habe ich definitiv (hat mir der aktuelle Orthopäde gesagt und es steht auch auf dem Befund von 2006: "Hyperlordose ohne Gefügestörung").
Und kein Rundrücken (Hyperkyphose)?
Ich will damit sagen, dass solche seitlichen Fehlstellungen genauso ernst genommen werden müssen, wie eine Skoliose !
Grundsätzlich sind die Begriffe "ausgeprägt" oder "mäßig" nicht aussagekräftig. Es gehört die konkrete Ausmessung der Winkel zu einer kompetenten Diagnose. Ich bin skeptisch, was der Orthopäde daraus macht und insbesondere, was er an Behandlung empfiehlt. Die meisten Erfahrungsberichte sagen immer wieder neu, dass die Versorgung bei Fehlstellung in der Region schlecht ist. Deshalb empfehle ich Dir eher einen Spezialisten, um weiteren Frust zu ersparen.
viewtopic.php?f=25&t=6472
Man kann unmöglich einen Befund ohne Winkelangaben mit diesem Röntgenbild vergleichen. Bei Winkel-Abschätzungen halte ich mich generell zurück. Aber besonders "schlimm" finde ich es nicht.Anbei das Röntgenbild vorhin. Was meint ihr? Ist es im Vergleich zu meinem damaligen Befund besser/schlechter/unverändert geblieben? Wie hoch meint ihr ist der Cobb-Winkel?
Gruß
Klaus
-
Kugelmaus
- Newbie

- Beiträge: 4
- Registriert: Sa, 26.06.2010 - 22:08
- Geschlecht: männlich
- Therapie: /
- Kontaktdaten:
Re: Wie schlimm ist es? Aktuelle WS-Ganzaufnahme
Hallo Klaus,
ich danke dir für dein ausführliche Antwort
Ich habe in zwei Wochen einen Termin bei meinem Orthopäden und werde dann hoffentlich den Cobb-Winkel erfahren.
Momentan hoffe ich noch, dort eine vernünftige Behandlung und kompetente Beratung zu bekommen - zumindest hinsichtlich meines ausgeprägten Beckenschiefstandes: funktional oder anatomisch, Einlagen/Schuherhöhung ja/nein und wenn ja wie hoch? etc...
Die von euch immer wieder aufgezählten Spezialisten sind leider alle ziemlich weit weg von mir, so dass ich damit noch ein wenig hardere und in jedem Fall erstmal abwarte was mein Orthopäde hier sagt.
Mag sich noch jemand zu meinem Röntgenbild äußern? Wäre top
Lieben Gruß
Kugel
ich danke dir für dein ausführliche Antwort
Momentan hoffe ich noch, dort eine vernünftige Behandlung und kompetente Beratung zu bekommen - zumindest hinsichtlich meines ausgeprägten Beckenschiefstandes: funktional oder anatomisch, Einlagen/Schuherhöhung ja/nein und wenn ja wie hoch? etc...
Die von euch immer wieder aufgezählten Spezialisten sind leider alle ziemlich weit weg von mir, so dass ich damit noch ein wenig hardere und in jedem Fall erstmal abwarte was mein Orthopäde hier sagt.
Mag sich noch jemand zu meinem Röntgenbild äußern? Wäre top
Lieben Gruß
Kugel
- Christina89
- Newbie

- Beiträge: 3
- Registriert: Do, 29.05.2014 - 12:28
- Geschlecht: weiblich
- Diagnose: Skoliose BWS 53°, LWS 38°
- Therapie: seit 2000 KG, bis 2006 Korsett, 2004+2005 Bad Sobernheim,
evtl 2014 OP - Wohnort: Troisdorf
Re: Wie schlimm ist es? Aktuelle WS-Ganzaufnahme
Hallo Kugelmaus,
wie Klaus schon sagte, kann der "Laie" ohne Gradzahlangaben etc nicht wirklich viel zu "schlimm oder nicht schlimm" sagen.
Jedoch scheint mir auf dem Röntgenbild die BWS recht grade zu sein und der Bogen in der LWS ist ja auch nicht sonderlich stark.
Wahrscheinlich sind es bei dir eher die Beckenschiefstellung und die Spondylose die Probleme bereiten?!
Wünsche dir für deinen Termin beim Orthopäden alles Gute und stell so viele Fragen wie du kannst - die Ärzte lassen sich gerne alles aus der Nase ziehen.
Liebe Grüße
Christina
wie Klaus schon sagte, kann der "Laie" ohne Gradzahlangaben etc nicht wirklich viel zu "schlimm oder nicht schlimm" sagen.
Jedoch scheint mir auf dem Röntgenbild die BWS recht grade zu sein und der Bogen in der LWS ist ja auch nicht sonderlich stark.
Wahrscheinlich sind es bei dir eher die Beckenschiefstellung und die Spondylose die Probleme bereiten?!
Wünsche dir für deinen Termin beim Orthopäden alles Gute und stell so viele Fragen wie du kannst - die Ärzte lassen sich gerne alles aus der Nase ziehen.
Liebe Grüße
Christina
Ich weiss nicht, ob es besser wird, wenn es anders wird.
Aber, es muss anders werden, wenn es besser werden soll!
Nichts ist so schlimm wie die Angst davor...
Aber, es muss anders werden, wenn es besser werden soll!
Nichts ist so schlimm wie die Angst davor...