ichhabe ein paar Fragen und hoffe, Ihr könnt mir vielleicht helfen?
Ich bin männlich, 31 Jahre
Vor 6 Jahren war ich wegen Rückenproblemen beim LWS-CT. Hier wurde eine leichte linkskonvexe Skoliose 7 Grad diagnostiziert. Ansonsten war alles paletti... Ich bekam KG, welche ich ein paar Jahre machte.
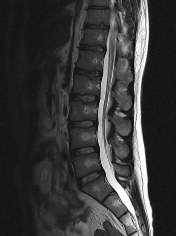
Mittlerweile hatte ich mit einigen teils schwerwiegenden Erkrankungen zu kämpfen, zu denen sich seit kurzem verschiedene neurologische Symptome, Rückenschmerzen, Mißempfindungen etc. dazugesellten. Ich wurde zum Rücken-MRT (vom Neurologen) geschickt wegen Verdacht auf eine entzündliche Erkrankung des ZNS. Leider wurde aus Abrechnungsgründen statt der gesamten WS nur die LWS gemacht. Hier kam heraus, dass sich die Skoliose auf 16 Grad mehr als verdoppelt hat. Außerdem kam wohl eine Hyperlordose 15 Grad?? dazu. Die Aufnahme von vorn sieht jedenfalls ziemlich krumm aus. Wie der Rest meiner WS aussieht weiß ich leider nicht
Zusätzlich multiple Schmorlsche Wirbelknoten, welche es vor 6 Jahren noch nicht gab... leider kann ich nur ein Bild anhängen, die anderen bekomme ich iwie nicht als jpg. gespeichert...
Der Radiologe sagt alles normal, sei ein alter Scheuermann... aber den hätte man doch sicher vor 6 Jahren schon erkannt, auf den alten Bildern sieht alles schön sauber aus, auf den neuen naja ich weiß nicht... irgendwie schon anders oder was meint ihr...? Kann man auf dem Bild etwas sehen ob wirklich alles ok ist? Und wenn nicht, was kann ich dagegen tun? KG alleine scheint nicht sehr effektiv zu sein?
Danke euch!!!
Gruß
General
Könnt ihr mir sagen, was es damit auf sich haben könnte



