Gradzahl nach COBB, Rotation nach Raimondi (Messmethoden)
-
johann
bzebra
das rapport von den Scoliosis Research Society .org uber die Sagittal Curven ist in English und ich denke es ist wichtig aber fur die meiste skoliose patienten schwer zu verstehen ?
Ich hoffe das du est vielleicht kan ubersetzen in Deutsche Sprache fur die leute hier in forum?
Grusse
johan
Ich hoffe das du est vielleicht kan ubersetzen in Deutsche Sprache fur die leute hier in forum?
Grusse
johan
- Schnecke007
- Moderator/in

- Beiträge: 1987
- Registriert: Mi, 21.02.2007 - 22:41
- Geschlecht: weiblich
- Diagnose: Skoliose 4-bogig rechts
- Therapie: ambulantes Schroth
- Wohnort: Landkreis KA
Die Neigung aller Wirbel in diesem Bereich ausmessen, der am schrägsten stehende ist der Neutralwirbel.Schnecke007 hat geschrieben:da meine Skoliose zum Glück nicht so ausgeprägt ist, fällt es mir sehr schwer, die Neutralwirbel (für die Winkelmessung) herauszufinden. Hat mir jemand dazu einen Tipp?
Generell:
Neutralwirbel stehen am schrägsten im Vergleich zu ihren benachbarten Wirbeln, Scheitelwirbel am horizontalsten im Vergleich zu ihren Nachbarwirbeln.
- Schnecke007
- Moderator/in

- Beiträge: 1987
- Registriert: Mi, 21.02.2007 - 22:41
- Geschlecht: weiblich
- Diagnose: Skoliose 4-bogig rechts
- Therapie: ambulantes Schroth
- Wohnort: Landkreis KA
-
Gast
Bestimmung der Wirbelkörperrotation nach Raimondi
Hallo,
Wird bei euch vom Orthopäden die Rotation ausgemessen?
Bei mir wurde immer nur der Cobb Winkel ausgemessen, nie die Rotation. Ich wusste garnicht, dass das geht. Ich habe nämlich das Gefühl, dass sich bei mir die Rotation verschlechtert hat. Der Cobb Winkel der ja gemessen wurde, hat sich wohl zum Glück nicht verschlechtert.
Und werden bei euch immer zwei Bilder aneinadergefügt um die Wirbelsäule ab dem Steißbein bis oben drauf zu haben oder auch nur ab dem Becken?
Wird bei euch vom Orthopäden die Rotation ausgemessen?
Bei mir wurde immer nur der Cobb Winkel ausgemessen, nie die Rotation. Ich wusste garnicht, dass das geht. Ich habe nämlich das Gefühl, dass sich bei mir die Rotation verschlechtert hat. Der Cobb Winkel der ja gemessen wurde, hat sich wohl zum Glück nicht verschlechtert.
Und werden bei euch immer zwei Bilder aneinadergefügt um die Wirbelsäule ab dem Steißbein bis oben drauf zu haben oder auch nur ab dem Becken?
Ehrlich gesagt, versteh ich nicht ganz, wie du das meinst. Auf unseren Röntgenbildern ist die ganze WS vom Steißbein bis zum Schädel zu sehen. Die Bilder sind nicht getrennt voneinander gemacht und dann zusammengebastelt sondern es ist immer nur EINE Röntgenaufnahme, die aus Platzgründen auf zwei aneinander gefügte Folien gedruckt wird.Und werden bei euch immer zwei Bilder aneinadergefügt um die Wirbelsäule ab dem Steißbein bis oben drauf zu haben oder auch nur ab dem Becken?
Rotation und Krümmungswinkel bedingen sich eigentlich. Wenn also das eine schlecht wird, müsste das andere ebenso schlechter werden.
Natürlich gibt es verschiedene Rotationsgrade bei gleichen Krümmungen bei unterschiedlichen Leuten. Dass aber bei einer einzigen Person nur die Rotation schlechter wird, ist zumindest mir nicht bekannt. Oder gibts hier im Forum so jemanden? Nee, gell?
~ ehemals Ulaschatz ~
- Schnecke007
- Moderator/in

- Beiträge: 1987
- Registriert: Mi, 21.02.2007 - 22:41
- Geschlecht: weiblich
- Diagnose: Skoliose 4-bogig rechts
- Therapie: ambulantes Schroth
- Wohnort: Landkreis KA
- Schnecke007
- Moderator/in

- Beiträge: 1987
- Registriert: Mi, 21.02.2007 - 22:41
- Geschlecht: weiblich
- Diagnose: Skoliose 4-bogig rechts
- Therapie: ambulantes Schroth
- Wohnort: Landkreis KA
-
Konrad
Re: Gradzahl nach COBB, Rotation nach Raimondi (Messmethoden
Zwar etwas spät, dennoch muss ich ein Lob los werden. Sieht echt toll aus. Klasse gemacht.
Re: Gradzahl nach COBB, Rotation nach Raimondi (Messmethoden
Hallo BZebra,
herzlichen Dank für die klasse Anleitung.
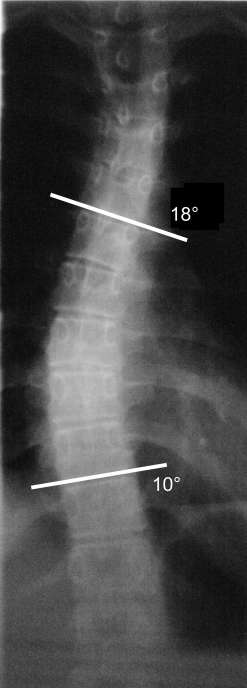
Ich habe unser Röntgen-Bild mit Tesa-Film an unseren Flachbild-Fernseher gehängt, der ein weißes Bild (jpg-Datei auf USB-Stick im USB-Anschluss des Fernsehers) angezeigt hat. Auf diese Weise ließ sich das Röntgen-Bild mit einer Digitalkamera abfotografieren.
Anschließend habe ich die beiden Winkel oben und unten mit GIMP ausgemessen, das geht wirklich sehr schnell und einfach (Ergebnis siehe Anlage). Der COBB-Winkel von 28° ergibt sich als Summe der beiden Einzelwinkel. Diese Info (COBB-Winkel) hat der Orthopäde, der das Bild aufgenommen hat, uns nicht gegeben.
Viele Grüße
Papa14
herzlichen Dank für die klasse Anleitung.
Ich habe unser Röntgen-Bild mit Tesa-Film an unseren Flachbild-Fernseher gehängt, der ein weißes Bild (jpg-Datei auf USB-Stick im USB-Anschluss des Fernsehers) angezeigt hat. Auf diese Weise ließ sich das Röntgen-Bild mit einer Digitalkamera abfotografieren.
Anschließend habe ich die beiden Winkel oben und unten mit GIMP ausgemessen, das geht wirklich sehr schnell und einfach (Ergebnis siehe Anlage). Der COBB-Winkel von 28° ergibt sich als Summe der beiden Einzelwinkel. Diese Info (COBB-Winkel) hat der Orthopäde, der das Bild aufgenommen hat, uns nicht gegeben.
Viele Grüße
Papa14
- Dateianhänge
-
- Röntgenbild mit eingezeichneten Winkeln
- 1d.jpg (11.82 KiB) 46335 mal betrachtet
- Klaus
- Moderator/in

- Beiträge: 15239
- Registriert: Mi, 23.06.2004 - 18:36
- Geschlecht: männlich
- Wohnort: Hannover
Re: Gradzahl nach COBB, Rotation nach Raimondi (Messmethoden
Das ist ja eine interessante Variante.Papa14 hat geschrieben:Ich habe unser Röntgen-Bild mit Tesa-Film an unseren Flachbild-Fernseher gehängt, der ein weißes Bild (jpg-Datei auf USB-Stick im USB-Anschluss des Fernsehers) angezeigt hat.
Noch ein kleiner Hinweis:
Der Beitrag von BZebra stammt aus 2007.
Gruss
Klaus
-
Angelichen
- Newbie

- Beiträge: 49
- Registriert: Di, 07.12.2010 - 17:28
- Geschlecht: weiblich
- Diagnose: Thorkalumbale Skoliose 45°
Lordoskoliose 20° - Therapie: Seit 2008 Herbst -> KG bei Skoliosezentrum Köln
Seit 2009 Sommer -> KG und Massa. Schwerpunkt Wirbelsäule Therapie
Seit 2010 Herbs -> KG Werner Wicker Klinik Bad Wildungen
Seit 2011 Feb -> KG nach Schroth / Chenau Korsett
Re: Gradzahl nach COBB, Rotation nach Raimondi (Messmethoden
moin,
haben Adobe Photoshop cs5 wie geht das so was rechne bei diese programm.
auf blat kann ich rechne aber pc wie geht das
haben Adobe Photoshop cs5 wie geht das so was rechne bei diese programm.
auf blat kann ich rechne aber pc wie geht das
Bald Kur in Schön Klinik Neustadt / Korsett Tragen
--------------
Sry mein Rechtschreibungfehler, ist leider durch Gehörlos und Krankheit gekommen =(
--------------
Sry mein Rechtschreibungfehler, ist leider durch Gehörlos und Krankheit gekommen =(
Re: Gradzahl nach COBB, Rotation nach Raimondi (Messmethoden
Hallo Angelichen,Angelichen hat geschrieben:moin,
haben Adobe Photoshop cs5 wie geht das so was rechne bei diese programm.
auf blat kann ich rechne aber pc wie geht das
die Winkel kann man mit GIMP messen, wie von BZebra im ersten Beitrag auf Seite beschrieben. Wenn man das digitale Bild in GIMP geöffnet hat, wählt man die Funktion "Abstände und Winkel messen". Dann zeichnet man mit der Maus (linke Maustaste gedrückt halten) eine gerade Linie in das Bild, wie z. B. die beiden weißen Linien in unserem Röntgenbild. Im GIMP-Fenster unten wird dann von der Software der Winkel angezeigt zwischen der Linie und der Waagerechten.
Viele Grüße
Papa14
-
Angelichen
- Newbie

- Beiträge: 49
- Registriert: Di, 07.12.2010 - 17:28
- Geschlecht: weiblich
- Diagnose: Thorkalumbale Skoliose 45°
Lordoskoliose 20° - Therapie: Seit 2008 Herbst -> KG bei Skoliosezentrum Köln
Seit 2009 Sommer -> KG und Massa. Schwerpunkt Wirbelsäule Therapie
Seit 2010 Herbs -> KG Werner Wicker Klinik Bad Wildungen
Seit 2011 Feb -> KG nach Schroth / Chenau Korsett
Re: Gradzahl nach COBB, Rotation nach Raimondi (Messmethoden
alles klar danke für infoPapa14 hat geschrieben:Hallo Angelichen,Angelichen hat geschrieben:moin,
haben Adobe Photoshop cs5 wie geht das so was rechne bei diese programm.
auf blat kann ich rechne aber pc wie geht das
die Winkel kann man mit GIMP messen, wie von BZebra im ersten Beitrag auf Seite beschrieben. Wenn man das digitale Bild in GIMP geöffnet hat, wählt man die Funktion "Abstände und Winkel messen". Dann zeichnet man mit der Maus (linke Maustaste gedrückt halten) eine gerade Linie in das Bild, wie z. B. die beiden weißen Linien in unserem Röntgenbild. Im GIMP-Fenster unten wird dann von der Software der Winkel angezeigt zwischen der Linie und der Waagerechten.
Viele Grüße
Papa14
Bald Kur in Schön Klinik Neustadt / Korsett Tragen
--------------
Sry mein Rechtschreibungfehler, ist leider durch Gehörlos und Krankheit gekommen =(
--------------
Sry mein Rechtschreibungfehler, ist leider durch Gehörlos und Krankheit gekommen =(
-
richeraseer


