Halbwirbel bei Kind

Fragen und Antworten rund um das Thema Skoliose
Antworten
Ziko1
Newbie
Newbie
Beiträge: 4
Registriert: Fr, 19.01.2018 - 09:42
Geschlecht: männlich

Halbwirbel bei Kind

Beitrag von Ziko1 »

Hallo zusammen,

Bei meiner 4 Jährigen Tochter wurde vor einigen Tagen ein Halbwirbel im 6 BWS festgestellt.
Dadurch natürlich eine Koliose leider haben wir keine Angaben wie hoch die Gradzahl ist.
Unser Orthopäde sagte sie soll schnellstmöglich bei Dr.Hopf in Kiel operiert werden.

Ich bin da jetzt natürlich völlig durch den Wind habe hier einiges gelesen aber bei den meisten sind auch noch viele andere Faktoren dabei. Meine Tochter ist Topfit sie gibt überall Vollgas ob Tanzen, Schwimmen, Jumping usw. Sie hat keine Schmerzen.

Hat vllt jemand ein Tip wie ich weiter vorgehen soll? Wir kommen aus dem Raum Hannover.
Op was könnte dort gemacht werden? (Wirbel entfernen oder versteifen)
Oder wäre ein Korsett möglich?

Vllt hat hier auch jemand Erfahrungen aus unserer Gegend der mir da etwas die Angst nehmen kann

Vielen Herzlichen dank schonmal

Matthias
Dr. Steffan
Arzt / Ärztin
Arzt / Ärztin
Beiträge: 1464
Registriert: Fr, 24.05.2002 - 14:57
Geschlecht: männlich

Re: Halbwirbel bei Kind

Beitrag von Dr. Steffan »

Ob da eine Korsettversorgung Erfolg bringen wird, hängt ganz von der Krümmung ab. Wobei BWK 6 schon sehr hoch ist. Haben Sie Rö.-Bilder?
Dr. K. Steffan
Benutzeravatar
Klaus
Moderator/in
Moderator/in
Beiträge: 15208
Registriert: Mi, 23.06.2004 - 18:36
Geschlecht: männlich
Wohnort: Hannover

Re: Halbwirbel bei Kind

Beitrag von Klaus »

Hallo Matthias,
Hat vllt jemand ein Tip wie ich weiter vorgehen soll? Wir kommen aus dem Raum Hannover.
Ich denke, das kann nur ein Spezialist klären:
viewtopic.php?f=25&t=6472
Dr. Steffan in Bad Sobernheim ist einer davon, für Hannoveraner bietet sich wegen der Entfernung auch Dr. Wilke in Berlin an.
Bei der Terminierung immer das Alter und den konkreten Grund angeben.

Gruß
Klaus
Ziko1
Newbie
Newbie
Beiträge: 4
Registriert: Fr, 19.01.2018 - 09:42
Geschlecht: männlich

Re: Halbwirbel bei Kind

Beitrag von Ziko1 »

Hallo Klaus,

vielen Dank für die schnellen Infos.

Und vielen Dank an Dr. Steffan der mir PN sehr schnell die Angst genommen hat.

Ich möchte hier einfach mal Ereignisse weitergeben weil ich nicht wissen möchte wie viele Eltern Ihre Kinder mit der gleichen oder ähnlichen Diagnose sofort unters messer legen lassen.

Nach der Diagnose hiess es erstmal eine OP wäre wohl unausweichlich.
Hiernach habe ich mich hier Forum belesen und habe meinen Beitrag verfasst.
Worauf ich sofort Antworten bekamm (Wie gesagt VIELEN HERZLICHEN DANK).
Desweiteren schrieb mich Dr. Steffan PN an und ich übersand ihm die Rö-Bilder.
Parallel machte ich weiter schlau und rief in der nähe bei bekannten Physiotherapeuten / Orthopäden usw an und erkundigte mich.
Versendete bzw brachte Ihnen die RÖ-Bilder. Und wartete auf Antworten. (Mann will ja nix unversucht bei seinem Kind lassen)

Daraufhin bekamm ich von fast allen dieselbe Aussage(genau wie hier im Forum) OP ist das letzte mittel und bei Ihrem Kind,
ist eine OP weit bzw noch nicht von nöten.(Wieso kann ein einziger Arzt einen so verrückt machen mit einem Satz)

Dr Steffan riet uns zu einem Nachtkorsett was wir auf jedenfall auch machen.
Hier seine Antwort zu den Bildern:
Also für mich wäre das definitiv noch keine OP Indikation. Ich würde versuchen die Verschlechterung mit einem Korsett aufzuhalten. Wenn alles so bleibt werden mit hoher Wahrscheinlichkeit keine Probleme auftreten. Aufgrund der Höhe der Krümmung bei T6 geht sicher nur ein Nachtkorsett. Das sollte aber ausreichen. Sollte die Krümmung im Verlauf der Jahre doch zunehmen, kann man die Op immer noch durchführen. In der Regel kann der Verlauf jedoch gestoppt werden.

Zusätzlich werden wir Ihre Rückenmuskulatur mit KG (Privat zahlend) und weiterhin viel Schwimmen (Ihrer Lieblingsportart) stark halten damit die Krümmung
nicht fortschreiten kann. Wir können zwar nicht sagen was in ein paar Jahren ist aber dann können wir uns immeroch mit einer OP auseinander setzen.

Ich möchte mit meiner Erfahrung die ich in den letzten Tagen gemacht habe einfach anderen helfen nicht voreilig zu handeln, gerade wenn euer Kind so Topfit unter Munter ist bzw auch keine Beschwerde sowie Einschränkungen hat.Habe hier natürlich auch vieles gelesen was mir Angst gemacht hat, aber jeder Fall ist anders.

Holt euch überall Meinungen ein, fragt den Ärzten Löcher in den Bauch.

Ich hoffe Ich kann mit dieser Antwort dem einen oder anderen Mut machen und auch etwas die Angst nehmen.

Vielen Herzlichen Dank an Klaus, Dr Steffan und natürlich alle Mitglieder dieses Forums.
Den Ohne diese Menschen würde dieses Forum nicht leben und zum zweiten hätte ich wahrscheinlich einen sehr großen Fehler begangen der mich den rest meines Lebens zweifeln lassen hätte.

LG Matthias

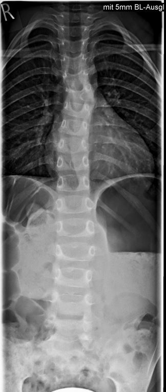
PS. Hier mal die RÖ-Bilder
RB.JPG
RB.JPG (41.84 KiB) 7695 mal betrachtet
RBS.JPG
(47.29 KiB) Noch nie heruntergeladen
Benutzeravatar
Radiator
aktives Mitglied
aktives Mitglied
Beiträge: 166
Registriert: Mo, 21.02.2011 - 15:34
Geschlecht: männlich
Diagnose: Motorradunfall, Scheuermann, Kyphose
Therapie: Rahmouni mit HT ab 3/2011

Re: Halbwirbel bei Kind

Beitrag von Radiator »

Hey, IMHO genau die richtige Entscheidung.
Ordentlich (den richtigen) Sport zur Kräftigung plus nur Nachtkorsett.
Ich spekuliere mal, damit ist das Problem dann echt "gegessen"
Sumimasen
aktives Mitglied
aktives Mitglied
Beiträge: 133
Registriert: Di, 07.11.2017 - 11:05
Geschlecht: weiblich
Diagnose: Tochter geb. 08/2010
Skoliose thorakal
09/2016 19°
01/2018 28°
C-Bogen
Röntgen im Korsett 08/2018 14°
02/2019 22° nach 48h ohne Korsett
aktuell Korsett Nr. 7 von Sanomed + Schroth
Therapie: Tocher geb. 12/2014
Skoliose thorakal
12/2019 21°
aktuell Korsett Nr. 3 von Sanomed + Schroth
Wohnort: NRW

Re: Halbwirbel bei Kind

Beitrag von Sumimasen »

Hallo ziko1!
Wie kam es denn, dass Ihr zum Arzt gegangen seid? Habt Ihr die Skoliose selber gesehen, oder war das der Kinderarzt im Rahmen der U Vorsorge, oder wie passierte das?
Würde mich über eine Antort freuen, liebe Grüße
Ziko1
Newbie
Newbie
Beiträge: 4
Registriert: Fr, 19.01.2018 - 09:42
Geschlecht: männlich

Re: Halbwirbel bei Kind

Beitrag von Ziko1 »

Hallo ja das würde vor einem halben Jahr bei einer u Untersuchung festgestellt aber nicht weiter besprochen. Jetzt bei der letzten u würden wir zum Orthopäden überwiesen.

Wobei das Thema immer noch nicht durch ist wie gedacht. Uns wurde jetzt nahe gelegt ein mrt zu machen um zu sehen ob der Halbwirbel Wachstums fügen oder Ringe oder so hat und weiter wachsen wird oder nicht.

Sollte er nicht weiter wachsen wird es keine OP geben sollte er wachsen würde uns zu einer op geraten.

Dann werden bei der op der Halbwirbel entfernt also ausgefräst und der 5 mit dem 6 Bw verschraubt die dann mit dem Wachstum zusammen wachsen sollen so das ein Wirbel aus den beiden wird.

MRT haben wir bereits gemacht hat die kleine Maus problemlos über sich ergehen lassen kann die Bult in Hannover echt empfehlen wenn man bei Kindern ein MRT machen lassen muss kümmern sich super um die kleinen.

Jetzt haben wir die CD einmal zu Dr Hopf nach Kiel geschickt der übrigens auch super nett ist und uns alles bis ins kleinste Detail erklärt hat. Und zum zweiten einen Termin im Anastift die auch eine super liebe und sehr auf Kinder angestimmte Ärztin haben.

Ich werde weiter berichten
Antworten